AOTRAUMA.ORG Центр Илизарова  

Ортопедия и травматология Общие вопросы/General questions Help Информационные технологии в медицине
 вверх
 отправить
 поиск
 админ
 главная


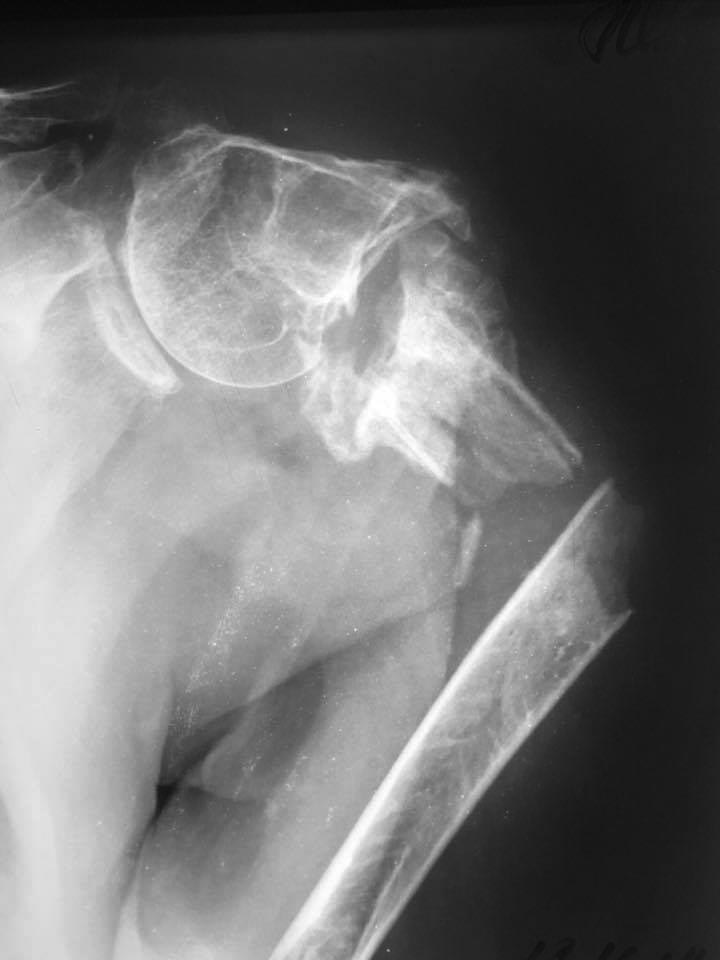
Новый перелом на фоне несращения плеча
Ортопедия и травматология Отправлено Сергей Анисимов 12 Декабрь 2017, 00:06
Уважаемые коллеги, подскажите ...... в принятии решения? Первая травма 2 года назад. Вторая 2 недели.


<  |  >

 

  • Сообщения о Ортопедия и травматология
  • Также Сергей Анисимов
  • Связаться с автором
  • Ответить

    Re: Новый перелом на фоне несращения плеча
    Бережной Сергей 12 Декабрь 2017, 01:05
    Гвоздь
    [ Ответить ]

    Re: Новый перелом на фоне несращения плеча
    Александр А. 14 Декабрь 2017, 11:53
    Растянуть в дистракторе, вывести из головку варуса, лучше даже в вальгус, а потом гвоздь. Мультилок было бы идеально, другими гвоздями вряд ли будет стабильно
    [ Ответить ]

    Re: Новый перелом на фоне несращения плеча
    Дмитрий Катрица 21 Декабрь 2017, 20:22
    Уверен, что качество собственной жизни, этого пациента не особо волнует. Задача - не дать дистальному отломку перфорировать кожу. Все зависит от того, какие фиксаторы в вашем распоряжении имеются.... все? тогда любой наименее инвазивный
    [ Ответить ]


    ( Ответить )

    Powered by Zope  Squishdot Powered MedLink
    Посетитель: 0390166
      "По форме правильно, а по существу - издевательство" В.И.Ленин
    ©2001-2019Orthoforum Coordinator.
    [ Главная | Отправить сообщение | Поиск | Админ ]