Ответить
|
Re: Остеомиелит надколенника
Sereda Andrey 31 Декабрь 2017, 02:15
|
Вот бы фото абсцесса посмотреть. В смысле голени.
Но в целом, если получили 15 мл гноя, то можно было бы сразу и разрез сделать, чтоб дренировалось.
|
[
Ответить ]
|
Re: Остеомиелит надколенника
ИСТ 31 Декабрь 2017, 02:19
|
Хочется фистулу увидеть.
Выполнялась ли пункция коленного сустава?
|
[
Ответить ]
|
Re: Остеомиелит надколенника
Paul 31 Декабрь 2017, 12:20
|
Верно, первым этапом необходимо исключить туберкулёз - серологическое тестирование.
Вторым этапом планировать некроэктомию: сам надколенник очень устойчив к инфекции, поэтому причина - ухудшение кровоснабжения тканей. Оперативное лечение планировать с замещение дефекта хорошо кровоснабжаемым лоскутом, иначе заживления не будет (кожно-мышечная пластика или Филатовский стебель).
|
[
Ответить ]
|
Re: Остеомиелит надколенника
Андрей 31 Декабрь 2017, 12:25
|
Добрый день, пункция сустава не выполнялась, надколенник не балотируется--сделаем, пропунктируем с диагностической целью. Абсцесс пунктированный, не раскрывался, чтобы в последующем сделать фистулографию, либо окраску бриллиантовым зеленым. Клиники абсцесса нет, температура в норме, интоксикации нет, незначительный боль в проекции п/о рубца бугристости большеберцовой кости, поэтому не раскрывали.
Фистулография планируется на 2.01.18, и фото ноги добавлю.
Спасибо.
|
[
Ответить ]
|
Re: Остеомиелит надколенника
Алексей Сизиков 31 Декабрь 2017, 23:00
|
А что с посевом отделяемого на микрофлору и чувствительность ее к антибиотикам? Между введением кортикоидов и развитием абсцесс сколько прошло времени?
|
[
Ответить ]
|
Re: Остеомиелит надколенника
Андрей 01 Январь 2018, 22:57
|
Добрый день, со слов больного флора не сеялась. Между введением глюкокортикоидом и развитием абсцесса прошло 2- 3 недели
|
[
Ответить ]
|
Re: Остеомиелит надколенника
Михаил Екимов 02 Январь 2018, 09:37
|
Добрый день! Всех с Новым Годом!
Хочется отметить следующие моменты:
1. По одному заключению мрт нельзя диагностировать остеомиелит надколенника.
2. Беря во внимание клинику - отёк и гиперемия в области бугристости большеберцовый кости, при пункции получен гной, а так же механизм травмы (работа на коленях), можно думать о хроническом гнойном бурсите области бугристости большеберцовой кости с вовлечением в гнойный процесс собственной связки надколенника.
2.Если нет свища, о какой фистулогафии может идти речь? Если вводить контраст в полость абсцесса, можно усугубить гнойный процесс, путём прорыва его в окружающие ткани, и, не дай бог, в полость коленного сустава. Если нет клиники синовиита коленного сустава, то и здесь пункция его не уместна.
3. Объём операции: Вскрытие и санация. Особое внимание уделить собственной связке надколенника. Если необходимо: экономная некрэктомия. Естественно, дренирование (пассивное или активное) и гипсовая иммобилизация. После операции введение в послеоперационную полость протеолитических ферментов (это опять связано с поражением собственной связки надколенника).
В практике такое встречалось. Остеомиелит надколенника весьма редок. В основном после остеосинтез или открытых переломов.
Да, обязательна гистология и посев.
Всего доброго.
Михаил Екимов
|
[
Ответить ]
|
Re: Остеомиелит надколенника
Отправитель: Андрей 02 Январь 2018, 22:46
|
Спасибо!
|
[
Ответить ]
|
|
Re: Остеомиелит надколенника
Андрей 03 Январь 2018, 18:36
|
Добрый день. Вот фотографии коленного сустава. На догоспитальном этапе абсцесс самораскрылся через область п/о рубца, сделана через этот дефект мягких тканей фистулография.
|
[
Ответить ]
|
Re: Остеомиелит надколенника
Андрей 03 Январь 2018, 18:36
|
Вот фотографии коленного сустава.
|
[
Ответить ]
|
Re: Остеомиелит надколенника
Андрей 03 Январь 2018, 18:38
|
Выражена гипотрофия четырехглавой мышцы
|
[
Ответить ]
|
Re: Остеомиелит надколенника
Андрей 03 Январь 2018, 18:39
|

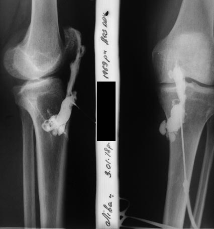
фистулография
|
[
Ответить ]
|
Re: Остеомиелит надколенника
Андрей 03 Январь 2018, 18:40
|
На 4.01. запланирована операция: раскрытие полости абсцесса, некрэктомия
|
[
Ответить ]
|
Re: Остеомиелит надколенника
Дедок Михаил 04 Январь 2018, 00:47
|
Андрей, добрый вечер.
То, что вводились кортикостероиды плохо. Течение инфекции приобретает вялый и затяжной характер. Кроме того, затёк идёт вдоль связки надколенника. Не факт, что нет некроза связки. Я бы во время операции ввёл в свищевой ход зеленку с перекисью. Это прокрасит все. Затем радикально все убрать. Если будет сомнения в возможности сразу закрыть и ушить то vac—дренирование дней на 6 и ушить. И ГИПС обязательно на 3 недели минимум. Там полость будет и при движениях будет рецидив. + холод местно+ индометацин.
Удачи!
|
[
Ответить ]
|
Re: Остеомиелит надколенника
Отправитель: Бережной Сергей 04 Январь 2018, 02:24
|
Есть масса устоявшихся заблуждений, которым мы слепо верим. Типа "раз нет грыжи, то и болеть в пояснице нечему". Или наоборот: "боль в пятке - обязательно из-за шпоры". Это самые простые. Есть гораздо менее известные. Мне кажется, что "Течение инфекции при введении кортикостероидов приобретает вялый и затяжной характер" - одно из таких признаваемых большинством заблуждений. Заранее не готов вступать в спор на уровне обмена ссылками на источники литературы. Но за свою очень практическую жизнь не только травматолога-ортопеда, но и общего хирурга купировал введениями кортикостероидов (конечно, не кеналога или дипроспана) на ранней стадии множество острых инфекций и вылечил такое же множество уже приобретших затяжной и вялый характер случаев.
|
[
Ответить ]
|
Re: Остеомиелит надколенника
Отправитель: Дедок Михаил 04 Январь 2018, 06:50
|
То, что КС снимают воспаление— это бесспорно. А вот то, что в месте введения суспензии локальный иммунитет снижается, это тоже факт, опять же за счёт подавления воспалительного иммунного ответа. А про затяжной характер... так если б не хлебали полной чашей это ... Опять же после суспензий.
|
[
Ответить ]
|
|
Re: Остеомиелит надколенника
Андрей 04 Январь 2018, 16:03
|

Добрый день, сегодня ввели в фистулу бриллиантовый зелёный, выполнена операция: фистулонекрэктомия. В патологический процесс вовлечена костная ткань нижнего полюса надколенника, выполнена секвестрэктомия, иммобилизация коленного сустава. Взято материал на цитологическое, гистологическое, бактериологическое исследование. На 5.01.18г.- запланировано монтаж VAC системы. Операционная картина больше похожа на восходящий гнойный фасциит, тендинит собственной связки надколенника с вовлечением в воспалительный процесс костной ткани надколенника, спровоцированная инфицированием во время инъекцией глюкокортикоидов. Всем большое спасибо за дельные советы.
|
[
Ответить ]
|
( Ответить )
|