вверх
отправить
поиск
админ
главная
|
Сросшийся чрезвертельный и перелом н\3 бедра |
 |
 |
 |
Отправлено Стас 10 Январь 2018, 12:49
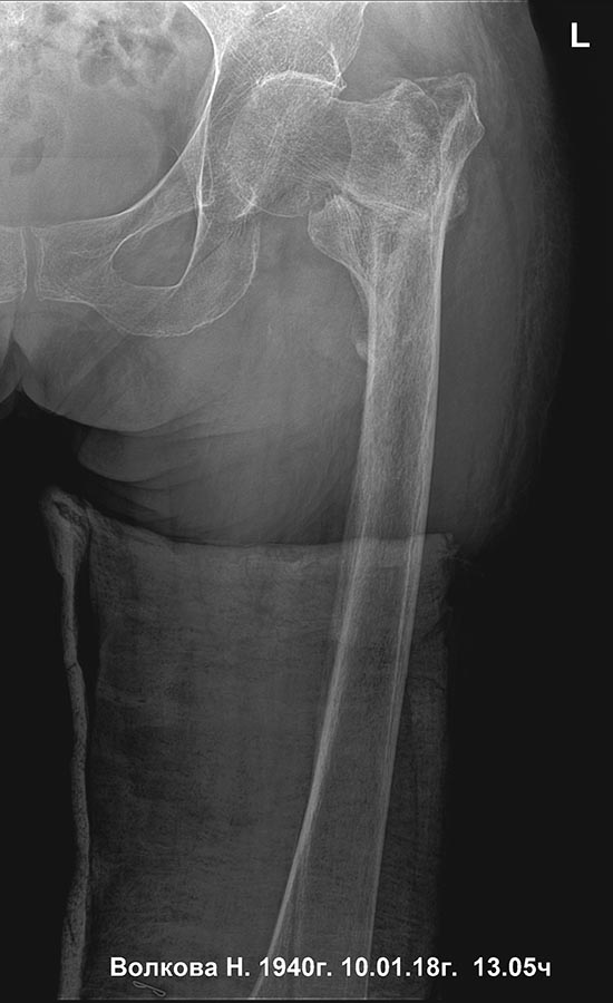
Уважаемые коллеги, прошу высказаться по такому случаю, 4 мес назад чрезвертельный перелом, 2 нед назад при попытке ходьбы с ходункамии нога подкосилась (укороч порядка 4-5 см), и пациентка сломала нижнюю треть. Какие мнения, как сделать поаккуратнее, бабушка 78 лет. Состояние здоровья среднее.
<
|
>
|
|
Ответить
|
Re: Сросшийся чрезвертельный и перелом н\3 бедра
Alexander Chelnokov 10 Январь 2018, 13:43
|
А собственные намерения и возможности на месте какие? Почему вертельный перелом не починили в свежем случае?
С диафизарным переломом все просто - любой гвоздь зафиксирует. Но надо бы и с нелеченным вертельным переломом что-то полезное сделать. То есть проксимальный отдел бедра мобилизовать (чрескожная остеотомия) и вальгизировать. Ну и все отделы бедра потом получится фиксировать любым длинным PFN.
Если нет уверенности, что знаете, как все это сделать, и нет возможности переправить пациентку туда, где это смогут малоинвазивно выполнить... То хотя бы диафизарный перелом фиксировать гвоздем через колено.
|
[
Ответить ]
|
Re: Сросшийся чрезвертельный и перелом н\3 бедра
Отправитель: Стас 10 Январь 2018, 14:23
|
Александр Николаевич, мы находимся в Караганде, больную привезли родственники, не оперировали по непонятным причинам. Длинного PFN нет, есть короткий проксимальный гвоздь, и дистальная бедренная блокируемая. Про чрезкожную остеотомию поподробней)

|
[
Ответить ]
|
Re: Сросшийся чрезвертельный и перелом н\3 бедра
Отправитель: Стас 10 Январь 2018, 14:31
|

линия как будто проходит через наружный мыщелок
|
[
Ответить ]
|
Re: Сросшийся чрезвертельный и перелом н\3 бедра
Отправитель: Стас 10 Январь 2018, 16:14
|
нижняя треть
|
[
Ответить ]
|
Re: Сросшийся чрезвертельный и перелом н\3 бедра
Отправитель: Alexander Chelnokov 10 Январь 2018, 18:43
|
Нижняя треть - - это про диафиз. А тут, похоже, перелом наружного мыщелка бедра. Да, одним гвоздем тут тогда не стоит пытаться. Это две разные проблемы. Дейстительно, для дистального перелома подойдет соответствующая пластина. А в проксимальном отделе - короткий PFN после вальгизации.
|
[
Ответить ]
|
Re: Сросшийся чрезвертельный и перелом н\3 бедра
Отправитель: Alexander Chelnokov 10 Январь 2018, 19:06
|
Про вальгизирующую остеотомию вот презентация на видео https://www.youtube.com/watch?v=z0Rywe1tqO8&t=71s
|
[
Ответить ]
|
Re: Сросшийся чрезвертельный и перелом н\3 бедра
Отправитель: Стас 11 Январь 2018, 08:43
|
Александр Николаевич как вы думаете есть ли смысл разобщить место перелома ну скажем полузакрыто и попробовать вальгизировать центральный отломок,или рубить бедро сразу.
|
[
Ответить ]
|
Re: Сросшийся чрезвертельный и перелом н\3 бедра
Отправитель: Стас 11 Январь 2018, 10:06
|

снимок с максимальным приведением
|
[
Ответить ]
|
Re: Сросшийся чрезвертельный и перелом н\3 бедра
Отправитель: Alexander Chelnokov 11 Январь 2018, 12:19
|
Что-то непохоже на максимальное. Это ортопед сам уложил, убедившись, что максимальное? Или на сотрудников рентгеновского кабинета положились?
На всякий случай сделать бы снимки симметричного сустава, в нейтральном положении и в максимальном приведении.
А при отведении-приведении в левом тазобедренном суставе боль есть?
|
[
Ответить ]
|
Re: Сросшийся чрезвертельный и перелом н\3 бедра
Отправитель: Стас 11 Январь 2018, 12:31
|
боль есть,наверно болевой синдром в тбс и бедре не дают максимально привести бедро.приводили максимально
|
[
Ответить ]
|
Re: Сросшийся чрезвертельный и перелом н\3 бедра
Отправитель: Alexander Chelnokov 11 Январь 2018, 13:39
|
Судя по разнице в снимках, еще есть подвижность. Об этом же говорит и боль. Можно попробовать потянуть. Если потянется и устранится варус - то закрыто синтезировать, как при свежем переломе. Если только частично получится устранить, то я бы эту попытку прекратил, и сделал бы чрескожную остеотомию.
|
[
Ответить ]
|
Re: Сросшийся чрезвертельный и перелом н\3 бедра
Отправитель: Alexander Chelnokov 11 Январь 2018, 13:25
|
Если в условиях операционной под анестезией выявится, что подвижность на месте перелома еще есть, можно попытаться закрыто мобилизовать место перелома ротацией бедра кнутри-кнаружи.
А потом использовать дистрактор (тракционный стол).
С ротацией осторожнее, было у нас несколько наблюдений спирального перелома диафиза, когда крутили бедро, стараясь добиться подвижности в вертельной области.
Если подвижности нет или почти нет, то есть уже есть связи между фрагментами, я бы предпочел их не разобщать. Стержень-джойстик удобно ввести в имеющемся положении, и остеотомия с открытым клином позволяет решить все имеющиеся проблемы - и устранить варус, и восстановить длину, и не ухудшить условия кровоснабжения в области уже срастающегося перелома.
|
[
Ответить ]
|
Re: Сросшийся чрезвертельный и перелом н\3 бедра
Отправитель: Стас 11 Январь 2018, 15:41
|
спасибо Александр Николаевич!завтра постараюсь скинуть контроль
|
[
Ответить ]
|
Re: Сросшийся чрезвертельный и перелом н\3 бедра
Отправитель: Alexander Chelnokov 11 Январь 2018, 17:17
|
Будем надеяться, что получится успешно.
|
[
Ответить ]
|
Re: Сросшийся чрезвертельный и перелом н\3 бедра
Отправитель: Sergey Delinikaitis 12 Январь 2018, 00:22
|
Длинный гвоздь, наверное, надежнее-кортикал тонковат.
|
[
Ответить ]
|
|
Re: Сросшийся чрезвертельный и перелом н\3 бедра
Levikovich 12 Январь 2018, 00:39
|
я один не вижу свежего перелома н/3 бедра или ещё есть кто....?
|
[
Ответить ]
|
Re: Сросшийся чрезвертельный и перелом н\3 бедра
Отправитель: Стас 12 Январь 2018, 16:29
|
кстати перелом дистального бедра болтался.(3 недели)
|
[
Ответить ]
|
Re: Сросшийся чрезвертельный и перелом н\3 бедра
Отправитель: Levikovich 13 Январь 2018, 18:29
|
что значит болтался?.
|
[
Ответить ]
|
Re: Сросшийся чрезвертельный и перелом н\3 бедра
Отправитель: Стас 19 Январь 2018, 09:58
|
Значит была подвижность фрагментов
|
[
Ответить ]
|
|
Re: Сросшийся чрезвертельный и перелом н\3 бедра
Levikovich 12 Январь 2018, 00:39
|
я один не вижу свежего перелома н/3 бедра или ещё есть кто....?
|
[
Ответить ]
|
Re: Сросшийся чрезвертельный и перелом н\3 бедра
Ниязов Нияз 12 Январь 2018, 01:01
|
Смещение незначительное в нижней трети тут и MIPO подойдет тем более автор говорит есть дистальная блок.пластина или аппарат Иллизарова. И там и там особых навыков не потребуется так как повторюсь смешение незначительное (ИМХО )
|
[
Ответить ]
|
Re: Сросшийся чрезвертельный и перелом н\3 бедра
Отправитель: Стас 12 Январь 2018, 15:35
|

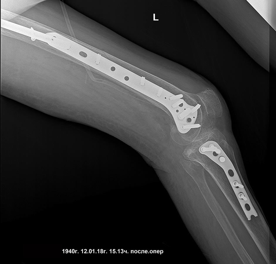
добрый день! вроде все получилось сделать,закрыто,чрезкожная остеотомия. дистальная пластина тоже малоинвазивно
|
[
Ответить ]
|
Re: Сросшийся чрезвертельный и перелом н\3 бедра
Отправитель: Стас 12 Январь 2018, 15:37
|

мыщелки
|
[
Ответить ]
|
Re: Сросшийся чрезвертельный и перелом н\3 бедра
Отправитель: Стас 12 Январь 2018, 15:42
|

боковая
|
[
Ответить ]
|
Re: Сросшийся чрезвертельный и перелом н\3 бедра
Отправитель: Стас 12 Январь 2018, 15:42
|

боковая
|
[
Ответить ]
|
Re: Сросшийся чрезвертельный и перелом н\3 бедра
Отправитель: Стас 12 Январь 2018, 15:45
|

бедро
|
[
Ответить ]
|
Re: Сросшийся чрезвертельный и перелом н\3 бедра
Отправитель: Стас 12 Январь 2018, 15:46
|
Александр Николаевич спасибо за помощь)!
|
[
Ответить ]
|
Re: Сросшийся чрезвертельный и перелом н\3 бедра
Отправитель: Стас 12 Январь 2018, 20:20
|

Мыщелки2
|
[
Ответить ]
|
Re: Сросшийся чрезвертельный и перелом н\3 бедра
Отправитель: Илья 17 Январь 2018, 21:34
|
Поздравляю с успехом! Оперировали на тракционном столе или с дистрактором,использовали дополнительно джойстик в шейку-головку?
|
[
Ответить ]
|
Re: Сросшийся чрезвертельный и перелом н\3 бедра
Отправитель: Стас 19 Январь 2018, 10:08
|
Спесибо) на столе попробовали растянуть но безуспешно.винт 6мм от стержневого аппарата.после остеотомии диафиз стремился кнутри пришлось тклоняющую спицу провести спереди назад.
|
[
Ответить ]
|
Re: Сросшийся чрезвертельный и перелом н\3 бедра
Отправитель: Alexander Chelnokov 13 Январь 2018, 01:40
|
Получилось очень неплохо, по-моему. Молодцы!
|
[
Ответить ]
|
|
Re: Сросшийся чрезвертельный и перелом н\3 бедра
Андрей 13 Январь 2018, 15:41
|
Супер! Молодцы!
|
[
Ответить ]
|
Re: Сросшийся чрезвертельный и перелом н\3 бедра
ИСТ 16 Январь 2018, 15:01
|
Красиво
|
[
Ответить ]
|
( Ответить )
|
|