вверх
отправить
поиск
админ
главная
|
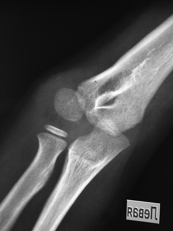
неправильно сросшийся перелом дистального конца левой плечевой кости |
 |
 |
 |
Отправлено Кудрат Собурович 16 Январь 2018, 18:01
Доброго времени суток Уважаемые учителя и коллеги!!!Больной 10 лет. Имеется неправильно сросшийся перелом дистального конца левой плечевой кости В примерно 1,5 годичном возрасте сломал руку и лечитлся консервативно! Сейчас имеется незначительная варусная деформация левого локтевого сустава примерно до 10 градусов. Функция сустава без дефекта. При разгибании имеется деформация незначительная (выступ) по наружной поверхности сустава. При сгибании деформация незаметна. Обязательно ли делать остеотомия корригирующую? Если да, в каком объеме? Снимок отправляю. Большое спасибо заранее!!
<
|
>
|
|