Ответить
|
Re: Перелом проксимального отдела бедра
Alexander Chelnokov 27 Январь 2018, 14:07
|
Конечно, надо делать вальгизирующую межвертельную остеотомию.
Можно и классическую, с фиксацией blade plate или DHS, я бы предпочел чрескожную с фиксацией проксимальным бедренным гвоздем.
|
[
Ответить ]
|
Re: Перелом проксимального отдела бедра
Отправитель: Владимир 27 Январь 2018, 17:22
|
Спасибо за ответ. Учитывая Ваш большой опыт в лечении таких пациентов подскажите удобно ли будет выполнить операцию в условиях ортопед.стола или принципиально использование дистрактора.
|
[
Ответить ]
|
Re: Перелом проксимального отдела бедра
Отправитель: Alexander Chelnokov 27 Январь 2018, 18:58
|
Если уже подвижности нет или почти нет, то не надо тракции. Удобнее оперировать на боку, здоровую ногу согнуть в тазобедренном и коленном суставах, больная коленом на столе (в приведении).
|
[
Ответить ]
|
Re: Перелом проксимального отдела бедра
Отправитель: Владимир 27 Январь 2018, 19:27
|
Спасибо Александр Николаевич. Наверное так и сделаю.
|
[
Ответить ]
|
|
Re: Перелом проксимального отдела бедра
Sergey Delinikaitis 27 Январь 2018, 19:50
|
Если головка хорошая, то по линии перелома, если плохая- эндопротез.
|
[
Ответить ]
|
Re: Перелом проксимального отдела бедра
Отправитель: Alexander Chelnokov 28 Январь 2018, 18:29
|
С головкой тут с подавляющей вероятностью все в порядке. По линии перелома разобщить можно, но делать это, потом добиваться восстановления шеечно-диафизарного угла может быть труднее и кровавее, чем сделать чрескожную остеотомию на уровне интактной кости, и закрыто зафиксировать гвоздем.

|
[
Ответить ]
|
|
Re: Перелом проксимального отдела бедра
anatol 27 Январь 2018, 22:58
|
Необходимо предварительно Выполнить МРТ (МСКТ) с целью определения состояния головки бедра. При аваскулярном некрозе - тотальное эндопротезирование.
|
[
Ответить ]
|
Re: Перелом проксимального отдела бедра
Отправитель: Alexander Chelnokov 27 Январь 2018, 23:36
|
Во-1-х, нет никаких оснований предполагать аваскулярный некроз головки при вертельном переломе. Во-2-х, при сохраненной сферичности головки даже после перелома шейки бедра (не говоря уж о вертельных) частичный аваскулярный некроз не будет противопоказанием к вальгизирующей остеотомии. Наоборот, это лечебная мера.
|
[
Ответить ]
|
|
Re: Перелом проксимального отдела бедра
Павел Гуреев 28 Январь 2018, 01:45
|
Александр Николаевич, как сделать аксиальная проекцию в положении на боку? Подскажите как правильно. Гуреев Павел, г.Астрахань ГКБ #3
|
[
Ответить ]
|
Re: Перелом проксимального отдела бедра
Отправитель: Alexander Chelnokov 28 Январь 2018, 01:50
|
Пациент на здоровом боку. Спиной к рентгеновскому аппарату. Надо поставить луч перпендикулярно столу, и отклонить сенсор градусов на 30-40 к головному концу.
|
[
Ответить ]
|
|
Re: Перелом проксимального отдела бедра
anatol 28 Январь 2018, 20:01
|
Почему податься на предположениях, когда определить состояние головки бёдра можно определить доказательно с помощью неинвазивного метода (МРТ или КТ). Думаю, что зарубежом этот вопрос даже бы не обсуждался
|
[
Ответить ]
|
Re: Перелом проксимального отдела бедра
Отправитель: Alexander Chelnokov 28 Январь 2018, 21:33
|
Почему вообще возникают предположения насчет аваскулярного некроза головки бедра при внесуставном переломе? Зачем "определять доказательно" то, что и так очевидно - с головкой все в порядке, нет там некроза?
И даже если бы был (он в 1-1,5% при вертельных переломах бывает) - пока головка не потеряла сферичность, у пациента 23 лет(!!!) надо думать не про эндопротезирование.
|
[
Ответить ]
|
Re: Перелом проксимального отдела бедра
Отправитель: Alexey Semenistyy 28 Январь 2018, 23:30
|
Да, действительно, заграницей (т.е. не в РФ) этот вопрос действительно даже не обсуждается: - нет оснований для назначения дорогостоящего метода исследования! Уж если есть такая необходимость выяснить кровоснабжаемость и жизнеспособность головки, то есть другие более дешёвые и достаточно информативные методы.
|
[
Ответить ]
|
|
Re: Перелом проксимального отдела бедра
anatol 28 Январь 2018, 22:11
|
Указанный процент некроза головки бывает при свежих и правильно леченных чрезвертельных переломах. В данном случае ситуация иная и, полагаю, отсутствие некроза только по сохранённой сферической форме головки является не абсолютно доказанной.
|
[
Ответить ]
|
Re: Перелом проксимального отдела бедра
Отправитель: Alexander Chelnokov 28 Январь 2018, 23:23
|
Это откуда такие сведения, что процент некроза головки другой в зависимости от лечения?
И даже если бы здесь был перелом шейки бедра, при котором встречаемость AVN может достигать и 50%: в 23 года(!!!) даже очевидный аваскулярный некроз не был бы показанием к эндопротезированию, если форма головки сохранена. Надо было бы все равно делать вальгизирующую межветельную остеотомию.
|
[
Ответить ]
|
|
Re: Перелом проксимального отдела бедра
anatol 29 Январь 2018, 01:33
|
Безусловно неправильно пытаться "лечить" рентгенограммы,( клиника не приведена в посте)но по данным снимкам можно предположить, что у пациента имеется коксартроз 2ст. Опять же состояние хряща можно определить при МРТ. Ведь будет трудно обьяснить пациенту необходимость очередной замены металлоконструкции на эндопротез через1,5-2 года на фоне нарастания болевого синдрома' формирования контрактуры, мышечной атрофии. А ведь любое предшествующее оперативное вмешательство в разы увеличивает риск инфекционных осложнений после эндопротезирования.
|
[
Ответить ]
|
Re: Перелом проксимального отдела бедра
Alexander Chelnokov 29 Январь 2018, 20:14
|
Не вижу никаких признаков артроза. Клиника спустя 4-5 месяцев после перелома очевидна и тривиальна.
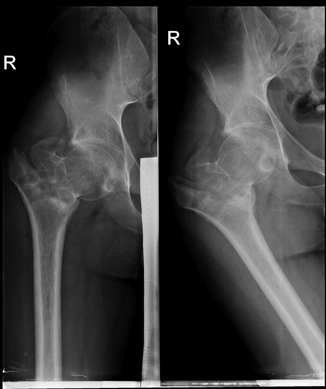
Головка правильной формы. 23 года. Варусная деформация проксимального отдела бедра. Никаких других существенных факторов не упомянуто. Исходя из представленной информации - кроме коррекции варусной деформации тем или другим способом, нет других направлений поиска решения. Ампутация здорового тазобедренного сустава в 23 года - идиотизм, извините за прямоту.
|
[
Ответить ]
|
Re: Перелом проксимального отдела бедра
Владимир 29 Январь 2018, 21:50
|
Уважаемые коллеги. Извиняюсь за то, что не представил разу весь объём обследования. Но общение с больным и начиналось с просьбы выполнить СКТ для исключения АВН и нарушения геометрии головки бедра. По моему мнению данных за АВН нет. Интересовал выбор метода - разобщение по линии перелома или корригирующая остеотомия.

PS. К эндопротезированию у молодых пациентов отношение сдержанное несмотря на все достижения мировой трибологии.
Еще раз спасибо всем за проявленный интерес к пациенту.
|
[
Ответить ]
|
Re: Перелом проксимального отдела бедра
anatol 30 Январь 2018, 01:19
|
К сожалению КТ сделано до удаления винтов и имеются артефакты, но нельзя однозначно сказать что головка имеет абсолютно "здоровую" структуру. Думаю, далеко не все травматологи считают эндопротезирование сустава ампутацией.
|
[
Ответить ]
|
Re: Перелом проксимального отдела бедра
Отправитель: СПГ 30 Январь 2018, 20:49
|
Здравствуйте, уважаемый anatol! Надеюсь, что ваши воззрения есть лишь поиск истины, и не являются убеждениями. Статистика ревизионного эндопротезирования любых суставов говорит о том, что любая реконструктивная операция, которая может продлить жизнь своему суставу, а тем более и еще и восстановить длину конечности, правильную работу мышц, смежных суставов, есть правильная ветвь в развитии реконструктивной хирургии.
Действительно, очень сложно понять, на первый взгляд, как можно срастить неконсолидированный перелом шейки бедра путем межвертельной вальгизирующей остетомии. А ведь в этом Александр Николаевич осуществил своего рода открытие-по сути компрессионно-дистракционный динамический метод лечения in situ, а также описал возможность малоинвазивной коррекции и фиксации данного вида корригирующей остеотомии.
|
[
Ответить ]
|
Re: Перелом проксимального отдела бедра
Отправитель: Alexander Chelnokov 31 Январь 2018, 01:58
|
При внесуставной посттравматической варусной деформации нас мало интересует структура головки - просто потому, что в такой ситуации ничего с ней страшного не бывает, кроме дефектов от предшествующих имплантатов. Важна только форма головки, сохранность суставной поверхности. Если головка сферична - в любом возрасте, и уж тем более в молодом, операция выбора - это устранение варусной деформации.
Насчет "далеко не все травматологи считают ампутацией" - если нет ампутации, то что там замещает протез?
Но здесь-то речь не о вообще эндопротезировании (ампутация бывает и вполне показанной) - не надо подменять тему!
Неприятие вызывает несуразное предложении удалить практически здоровый тазобедренный сустав у молодого человека(!) после внесуставного повреждения(!!), с сохраненным хрящевым покровом и правильной формой суставных поверхностей(!!).
В то время, как даже после неудачи в лечении перелома шейки бедра (т.е. внутрисуставного повреждения!) при наличии частичного аваскулярного некроза в молодом возрасте операция выбора - не эндопротезирование! А вальгизирующая межвертельная остеотомия. Читаем журнал "Здоровье".
|
[
Ответить ]
|
Re: Перелом проксимального отдела бедра
Отправитель: Sergey Delinikaitis 31 Январь 2018, 23:03
|
Отличная статья, 2008 год.
Оперировали последнего пациента в 1995. Их уже не спросить, как долго они испытывали разного рода проблемы после остеотомии.
Сергей
|
[
Ответить ]
|
Re: Перелом проксимального отдела бедра
Отправитель: Alexander Chelnokov 31 Январь 2018, 23:21
|
Эта проблема решена таким образом, и уже давно, и это решение до сих пор актуально. Если что и поменялось, то только техника операции.
Как себя чувствуют пациенты после вальгизирующей межвертельной остеотомии бедра, достаточно хорошо известно. И статья эта - про внутрисуставные переломы шейки бедра, т.е. про куда более чреватую рисками ситуацию. А обсуждаемый случай - исход вертельного перелома. То есть аваскулярный некроз пациенту не грозит.
Ну и не возбраняется самостоятельно зайти в google или Pubmed, и поискать по "hip varus malunion young adults" - будет очевидно, что эндопротезирование - не первый выбор.
|
[
Ответить ]
|
Re: Перелом проксимального отдела бедра
Отправитель: Елена Литвина 10 Февраль 2018, 11:00
|
Саша! Благодаря твоему терпению в данной дискуссии, многие теперь точно знают, как лечить Молодых пациентов в подобных ситуациях. Но, по-моему, общение с оппонентом напоминает последнюю картинку каждой твоей лекции и доклада.
Зато другим интересно.
|
[
Ответить ]
|
Re: Перелом проксимального отдела бедра
Отправитель: Alexander Chelnokov 10 Февраль 2018, 13:02
|

Спасибо на добром слове! Насчет картинки этой ты абсолютно права, именно это и подразумевалось при включении в презентацию.
|
[
Ответить ]
|
|
Re: Перелом проксимального отдела бедра
Alexander Larionov 31 Январь 2018, 16:38
|
Прочитал всю дискуссию, с Александром Челноковым согласен на 100500%
ААЛ
|
[
Ответить ]
|
Re: Перелом проксимального отдела бедра
Отправитель: Sergey Delinikaitis 31 Январь 2018, 21:54
|
Зависит от стадии. Если 3-я - эндопротезирование. Даже если 23 года.
У этого пациента такого, слава Богу, нет.
|
[
Ответить ]
|
|
( Ответить )
|
|