AOTRAUMA.ORG Центр Илизарова  

Ортопедия и травматология Общие вопросы/General questions Help Информационные технологии в медицине
 вверх
 отправить
 поиск
 админ
 главная


PFN
Ортопедия и травматология Отправлено Виталий Р 09 Февраль 2018, 21:48
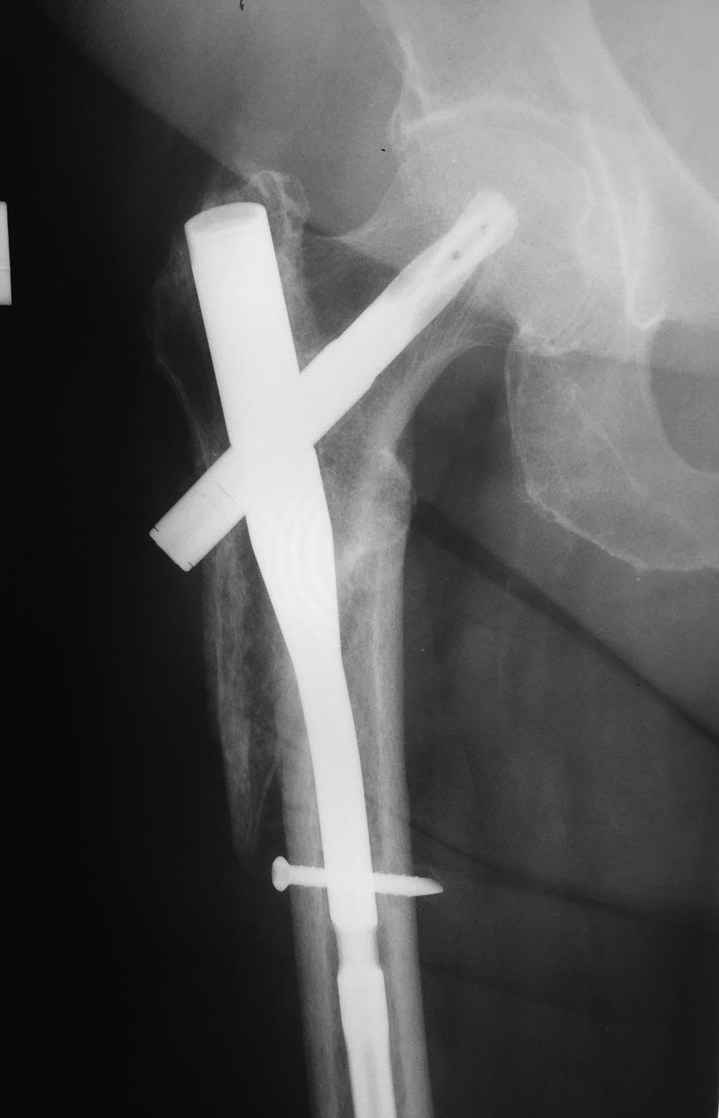
Ваше мнение о тактике ведения пациентки через 6 месяцев после остеосинтеза.
Пациентка 72 лет. 6 месяцев назад остеосинтез подвертельного перелома бедренной кости. Ходит с костылем. Впервые обратилась на прием 2 месяца назад. Передвигалась с 2 мя костылями, рекомендовал перейти на 1 костыль. На сегодняшний день опереться на ногу, оторвав здоровую от пола, не опираясь руками, не может. Аксиальный снимок, к сожалению, рентгенологи не могут выполнить (4 месяц как работаю в госполиклинике, воюю с рентгенолагами, обьяснял, бесполезно - аксиальных снимков не делают). Сейчас отправил на МСКТ. Хотелось бы услышать Вашего мнения. Обращаться туда где оперировалась не хочет/не может (это так, для исключения подобных рекомендаций).

<  |  >

 

  • Сообщения о Ортопедия и травматология
  • Также Виталий Р
  • Связаться с автором
  • Ответить

    Re: PFN
    Alexander Chelnokov 09 Февраль 2018, 22:24
    А если сделать снимок с врачом? То есть самому сходить с пациенткой в рентген, и уложить как надо. То есть уложить пациентку на спину, согнуть до 90 градусов тазобедренный и коленный суставы, и в тазобедренном отвести градусов на 40 (Dunn view).
    [ Ответить ]

    • Re: PFN
      Отправитель: Виталий Р 09 Февраль 2018, 22:52
      Александр Николаевич, пробовал, ходил, показывал, правда не с этой пациенткой. Бесполезно, на всех последующих направлениях ответ - не можем. А с каждым пациентом сходить - создастся очередь,-жалобы и т.п.

      [ Ответить ]
      • Re: PFN
        Отправитель: Alexander Chelnokov 09 Февраль 2018, 23:34
        Если уж выносите случай на обсуждение с коллегами, то это не каждый пациент, не так ли? И задача - для этой конкретной пациентки выполнить нужный снимок. Добиваться улучшения работы рентгеновской службы - это много более масштабная задача.

        [ Ответить ]
        • Re: PFN
          Отправитель: Виталий Р 09 Февраль 2018, 23:56
          Таковы реалии, предложил задачу из имеющихся данных. КТ будет примерно через месяц. Рентген кстати я тоже не знаю когда делают, назначаешь- записывают примерно через две недели делают, такая вот госполиклиническая логистика. Сам первое время пребывал в шоке, немного обвыкся. Зато рядом с домом и много интересных случаев. Кого то забираю оперировать в частной.

          [ Ответить ]
          • Re: PFN
            Отправитель: Alexander Chelnokov 10 Февраль 2018, 14:47
            Как-то надо придумать, как в разумные сроки сделать. Или надо было сначала сделать, а потом выносить на обсуждение. Без второй проекции слишком много "если", и обсуждение возможно только абстрактное. Соответственно, уж очень пространное, чтобы оговорить каждое "если центральный отломок в сгибательной установке..." и т.п.

            [ Ответить ]
    Re: PFN
    Костив Роман 10 Февраль 2018, 04:44
    Здравствуйте. Интересно, где находится дистальный винт, отверстие в стержне ниже винта. Если это PFNA Synthes, то в нем только одно отверстие для статической и динамической блокировки. Получается, что дистально не заблокировано, есть нестабильность, отсюда вялая консолидация (если она вообще есть)
    [ Ответить ]

    Re: PFN
    Радмир Уфа 10 Февраль 2018, 09:14
    Я думаю многие понимают вероятное смещение проксимального отломка в данном случае, также можно додумать положение клинка в шейке; наличие или отсутвия дистального блокирования, но это все предположения. Консультируя данную пациентку только по прямому снимку мы уподобаемся неквалифицированным рентгенологам, это не профессионально и с высокой вероятности приведёт к ошибке.
    [ Ответить ]

    Re: PFN
    Alexander Larionov 12 Февраль 2018, 06:51
    А пока можно сделать денситометрию, и при наличии остеопороза начать лечение костным анаболиком - терипаратидом. После специфического обследования, конечно.

    ААЛ
    [ Ответить ]


    ( Ответить )

    Powered by Zope  Squishdot Powered MedLink
    Посетитель: 0192392
      "По форме правильно, а по существу - издевательство" В.И.Ленин
    ©2001-2019Orthoforum Coordinator.
    [ Главная | Отправить сообщение | Поиск | Админ ]