AOTRAUMA.ORG Центр Илизарова  

Ортопедия и травматология Общие вопросы/General questions Help Информационные технологии в медицине
 вверх
 отправить
 поиск
 админ
 главная


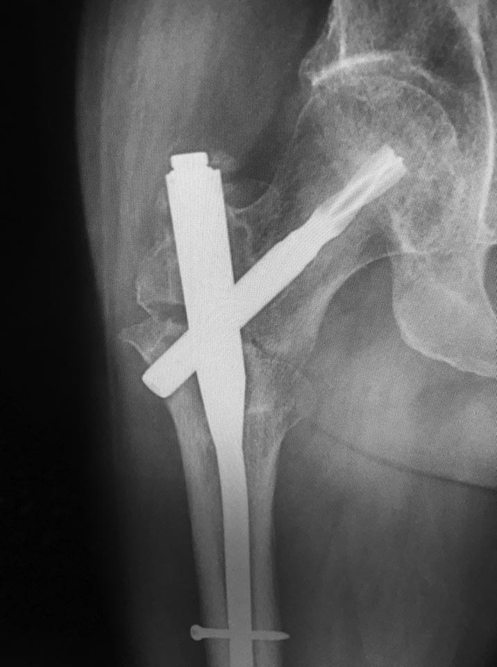
Несращение межвертельного перелома
Ортопедия и травматология Отправлено Евгений Чернюк 16 Февраль 2018, 12:20
доброго времени суток! как бы вы поступили в данном случае? Пациент 52 года, синтез 7 мес назад, ходьба с костылями.
Боль при ходьбе. Два дистальных блокируемых винта в статике ( срезалось на фото)

<  |  >

 

  • Сообщения о Ортопедия и травматология
  • Также Евгений Чернюк
  • Связаться с автором
  • Ответить

    Re: Несращение межвертельного перелома
    Da Mur 16 Февраль 2018, 12:55
    Несмотря на то, что 52 года, качество кости низкое, если это не обман передачи качества снимка, соответсвенно безцементная длинная ножка, возможно с пластиной для большого вертела..., больше так, чем реостеосинтез, если скажете, что ещё и диабет, чаша весов ещё больше сместится.
    [ Ответить ]

    • Re: Несращение межвертельного перелома
      Отправитель: Евгений Чернюк 16 Февраль 2018, 12:56
      снимок - фото телефоном с монитора, Пороз - отсутствие адекватной нагрузки на протяжении 7 мес, политравма, длительный реабилитационный период. диабета нет.

      [ Ответить ]
      • Re: Несращение межвертельного перелома
        Отправитель: Евгений Чернюк 16 Февраль 2018, 12:57
        И это не Германия, протез как бы дорого так сразу )

        [ Ответить ]
        • Re: Несращение межвертельного перелома
          Отправитель: Da Mur 16 Февраль 2018, 12:57
          Дистальной контралатеральной бедренной пластиной «углавато стабильно» зафиксировать перелом после удаления гвоздя, «освежения» и стимуляции зоны перелома (микротравматизация, прп и т.п) тогда, хотя мощная пластина тоже не дешевая, что ещё можно сделать?

          [ Ответить ]
    • Re: Несращение межвертельного перелома
      Отправитель: Андрій Рубленко 16 Февраль 2018, 12:58
      Шось пороблено у Вас с протезированием. Так можно каждому на улице протез втулить.
      Если по пациенту, то я б просто убрал дистальное блокирование плюс нагрузка. Возможно ресинтез стержнем потолще.

      [ Ответить ]
      • Re: Несращение межвертельного перелома
        Отправитель: Евгений Чернюк 16 Февраль 2018, 12:59
        такова первая мысль была

        [ Ответить ]
      • Re: Несращение межвертельного перелома
        Отправитель: Da Mur 16 Февраль 2018, 13:00
        Андрій Рубленко, сразу можно полную нагрузку давать?

        [ Ответить ]
    Re: Несращение межвертельного перелома
    Виталий Гудков 17 Февраль 2018, 10:38
    Уважаемый коллега, я бы попробовал реостеосинтез. Взял бы стержень интертан smith nephew, дал компрессию между отломками. В головке достаточно места, лезвие изначально установлено короткое.
    [ Ответить ]

    • Re: Несращение межвертельного перелома
      Отправитель: Евгений Чернюк 17 Февраль 2018, 10:51
      вариант. открыто? судя по рубцу, синтез первичный был открыто, наверное, одна из причин такого результата.

      [ Ответить ]
    Re: Несращение межвертельного перелома
    anatol 17 Февраль 2018, 18:47
    Слишком мало клинических данных - опять пытаемся "лечить" рентгенограммы (что за политравма? динамика болевого синдрома? рентгенограммы в динамике) необходимо определиться с чем связан болевой синдром с нестабильностью остеосинтеза и формирования ложного сустава или прогрессированием коксартроза, некроза головки. На данный момент больше показаний к продолжению реабилитации с увеличением нагрузки
    [ Ответить ]

    Re: Несращение межвертельного перелома
    anatol 17 Февраль 2018, 19:19
    Слишком мало клинических данных - опять пытаемся "лечить" рентгенограммы (что за политравма? динамика болевого синдрома? рентгенограммы в динамике) необходимо определиться с чем связан болевой синдром с нестабильностью остеосинтеза и формирования ложного сустава или прогрессированием коксартроза, некроза головки. На данный момент больше показаний к продолжению реабилитации с увеличением нагрузки
    [ Ответить ]

    Re: Несращение межвертельного перелома
    Shmuel Kallistov 17 Февраль 2018, 22:19
    костной мозоли нет после 7 месяцев... Эндопротезирование.
    [ Ответить ]

    Re: Несращение межвертельного перелома
    Alexander Chelnokov 17 Февраль 2018, 22:20
    Надо сделать notching. То есть вырубить ниже шеечного винта паз в латеральной стенке.
    [ Ответить ]

    • Re: Несращение межвертельного перелома
      Отправитель: Евгений Чернюк 17 Февраль 2018, 22:21
      А дистальные винты? Там статика.

      [ Ответить ]
      • Re: Несращение межвертельного перелома
        Отправитель: Alexander Chelnokov 17 Февраль 2018, 22:55
        Лучше после этого оставить один динамический

        [ Ответить ]
        • Re: Несращение межвертельного перелома
          Отправитель: Евгений Чернюк 17 Февраль 2018, 22:55
          все логично

          [ Ответить ]
          • Re: Несращение межвертельного перелома
            Отправитель: Евгений Чернюк 17 Февраль 2018, 22:56
            динамичный в статике. прийдется пересверливать

            [ Ответить ]
            • Re: Несращение межвертельного перелома
              Отправитель: Alexander Chelnokov 17 Февраль 2018, 22:59
              Ну, беда небольшая, раз уже на столе пациент - заодно и винтик переввести.

              [ Ответить ]
              • Re: Несращение межвертельного перелома
                Отправитель: Евгений Чернюк 17 Февраль 2018, 22:59
                Спасибо. Так буду делать. Стимуляция зоны перелома? PRF, аутокость, микрофрактуризация? есть смысл усугублять?

                [ Ответить ]
                • Re: Несращение межвертельного перелома
                  Отправитель: Alexander Chelnokov 17 Февраль 2018, 23:00
                  Затрудняюсь с ответом. Не пользуюсь. Да и здесь проблема ведь не в "биологии".

                  [ Ответить ]
        • Re: Несращение межвертельного перелома
          Отправитель: Пётр Воробей 18 Февраль 2018, 11:17
          Можно и 2 винта убрать, ротации уже не будет, нотчинг и полная нагрузка

          [ Ответить ]
    • Re: Несращение межвертельного перелома
      Отправитель: Сергей Анисимов 18 Февраль 2018, 11:16
      Александр Николаевич! А не могли бы "notching" на снимке "нарисовать"...?

      [ Ответить ]
      • Re: Несращение межвертельного перелома
        Отправитель: Alexander Chelnokov 18 Февраль 2018, 11:18
        Надо сделать дефект латерального кортекса высотой мм 10-15 шириной в этот винт прямо дистальнее винта, чтобы под ним была не стенка, а дырка. Удалить дистальные винты. И сколотить на столе. И либо оставить без винтов, либо динамический ввести, если есть сильные ожидания ротационной подвижности. Скорее всего, и он не нужен.

        [ Ответить ]
        • Re: Несращение межвертельного перелома
          Отправитель: Alexander Chelnokov 18 Февраль 2018, 11:19
          Или еще один вариант - заменить клинок на более короткий, и ввести его так, чтобы он латеральнее гвоздя не выстоял. И даже этот, наверно, можно просто поглубже пробить - места в головке хватает.

          [ Ответить ]
          • Re: Несращение межвертельного перелома
            Отправитель: Сергей Анисимов 18 Февраль 2018, 11:19
            Александр Николаевич! Порисуйте, пожалуйста... Я текст хуже воспринимаю... люблю картинки... Ваша "засечка" сильно отличается от других предложений!

            [ Ответить ]
            • Re: Несращение межвертельного перелома
              Отправитель: Alexander Chelnokov 18 Февраль 2018, 11:24
              Итак, поехали... По этому вопросу из вчерашней презентации:


              [ Ответить ]
              • Re: Несращение межвертельного перелома
                Отправитель: Савранский Александр 18 Февраль 2018, 20:18
                решение большой проблемы малой ценой- супер!

                [ Ответить ]
                • Re: Несращение межвертельного перелома
                  Отправитель: Paul 19 Февраль 2018, 07:55
                  И.. всё-таки, два шеечных фиксатора. 10 лет назад я пытался доказать это в каких-то тезисах. Может это очевидно, не надо надеяться на причудливые формы винтов в шейке, а взять за правило!!!

                  [ Ответить ]
                  • Re: Несращение межвертельного перелома
                    Отправитель: Alexander Chelnokov 19 Февраль 2018, 13:07
                    Не видно связи между количеством шеечных винтов и образованием распорки, блокирующей сближение фрагментов по оси бедра.

                    [ Ответить ]
    Re: Несращение межвертельного перелома
    anatol 18 Февраль 2018, 00:09
    Настораживает болевой синдром через 7месяцев после остеосинтеза. Что значит "ходит с костылями и боли при ходьбе"? Какова нагрузка на оперированную ногу? Если не будет нагрузки из-за болей - не будет результата от предложенных мероприятий. По приведённым рентгенограммам нет признаков приложения нагрузки на конструкцию - склероза под винтами. Но это оптимальный вариант на данном этапе лечения
    [ Ответить ]


    ( Ответить )

    Powered by Zope  Squishdot Powered MedLink
    Посетитель: 0000109
      "По форме правильно, а по существу - издевательство" В.И.Ленин
    ©2001-2019Orthoforum Coordinator.
    [ Главная | Отправить сообщение | Поиск | Админ ]