Ответить
|
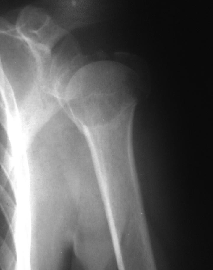
Re: Перелом проксимального метаэпифиза плеча
Григорий Карапетян 22 Февраль 2018, 22:26
|

|
[
Ответить ]
|
Re: Перелом проксимального метаэпифиза плеча
Отправитель: Сергей Метельков 22 Февраль 2018, 22:54
|
Дельта не вариант для нее(
|
[
Ответить ]
|
Re: Перелом проксимального метаэпифиза плеча
Отправитель: Алексей Смирнов 22 Февраль 2018, 22:55
|
Реверс при травме то зачем. Манжета то цела.
|
[
Ответить ]
|
Re: Перелом проксимального метаэпифиза плеча
Отправитель: Григорий Карапетян 22 Февраль 2018, 23:29
|
Учитывая возраст, вряд ли она сможет разработать нереверсивный протез, а если ротаторка цела, то при реверсе желательно ее фиксировать, только за счёт дельтовидной мышцы вряд ли полностью реабилитируется
|
[
Ответить ]
|
Re: Перелом проксимального метаэпифиза плеча
Отправитель: Григорий Карапетян 22 Февраль 2018, 23:03
|
Сергей Метельков, в ЦИТО обещали по квоте закупить реверс протез(эволютис),очень удобные протезы, если что можете писать на личку, как коллеге поможем!
|
[
Ответить ]
|
|
Re: Перелом проксимального метаэпифиза плеча
Эдуард Клечковский 22 Февраль 2018, 23:19
|
На снимках плечо вывихнуто. По ркт- открытая репозиция и пластина с угловой стабильностью LCP . Все просто.
|
[
Ответить ]
|
Re: Перелом проксимального метаэпифиза плеча
Oleg Sidorov 22 Февраль 2018, 23:30
|
Повязка дезо современная , валик подмышку, и кинезиотейпирование плечевого Сустава
|
[
Ответить ]
|
Re: Перелом проксимального метаэпифиза плеча
Сергей Метельков 22 Февраль 2018, 23:38
|
Склоняюсь к пластине, по крайней мере на протез потом уйти можно
|
[
Ответить ]
|
Re: Перелом проксимального метаэпифиза плеча
Алексей Смирнов 22 Февраль 2018, 23:38
|
Делать синтез. Пластиной. Быть готовым к костной пластике после оппозиции головки. Главное вернуть на место бугорки с манжетой. Можно и протез но не реверс а анатомический.
|
[
Ответить ]
|
Re: Перелом проксимального метаэпифиза плеча
Артур Саакян 22 Февраль 2018, 23:46
|
Остеосинтез. Причем, постараться малоинвазивно.
|
[
Ответить ]
|
Re: Перелом проксимального метаэпифиза плеча
сергей фирсов 22 Февраль 2018, 23:46
|
Остеосинтез
|
[
Ответить ]
|
Re: Перелом проксимального метаэпифиза плеча
Евгений Чернюк 22 Февраль 2018, 23:57
|
Все уже придумано
|
[
Ответить ]
|
Re: Перелом проксимального метаэпифиза плеча
Отправитель: Евгений Чернюк 23 Февраль 2018, 00:06
|
Cмотря какие требования пациента. риски аваскулярного некроза высокие в любом случае. протез поставить всегда успеет, в случае некроза функция сравнима с эндопротезом
|
[
Ответить ]
|
|
Re: Перелом проксимального метаэпифиза плеча
Alexander Chelnokov 23 Февраль 2018, 00:06
|
В возрасте до 60 лет - ORIF. Пластика не нужна. Самое важное прошить и фиксировать сухожилия манжеты к имплантату. Я бы предпочел Multiloc.
|
[
Ответить ]
|
Re: Перелом проксимального метаэпифиза плеча
Отправитель: Антон Жаглин 23 Февраль 2018, 00:07
|
Я бы сделал то же самое, но PHILOS’ом с DP approach
|
[
Ответить ]
|
|
Re: Перелом проксимального метаэпифиза плеча
Сергей Метельков 23 Февраль 2018, 00:08
|
Спасибо за комментарии) в понедельник-вторник выполним синтез, если сама пациентка не решит, что-либо иное.
|
[
Ответить ]
|
( Ответить )
|