AOTRAUMA.ORG Центр Илизарова  

Ортопедия и травматология Общие вопросы/General questions Help Информационные технологии в медицине
 вверх
 отправить
 поиск
 админ
 главная


Лодыжки - подвывих стопы?
Ортопедия и травматология Отправлено ctd 25 Февраль 2018, 16:51
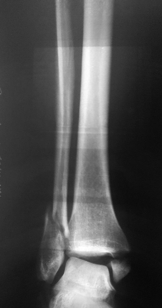
Здравствуйте. Женщина 56 лет, чрезсиндесмозный 3х-недельный перелом лодыжек.
Мнения коллег о сохраняющимся подвывихе стопы разошлись. Смущает визуальное расширение медиального лодыжечного пространства, хотя вся суставная щель примерно одинакова и равна 4-5 мм.

<  |  >

 

  • Сообщения о Ортопедия и травматология
  • Также ctd
  • Связаться с автором
  • Ответить

    Re: Лодыжки - подвывих стопы?
    ctd 25 Февраль 2018, 22:50
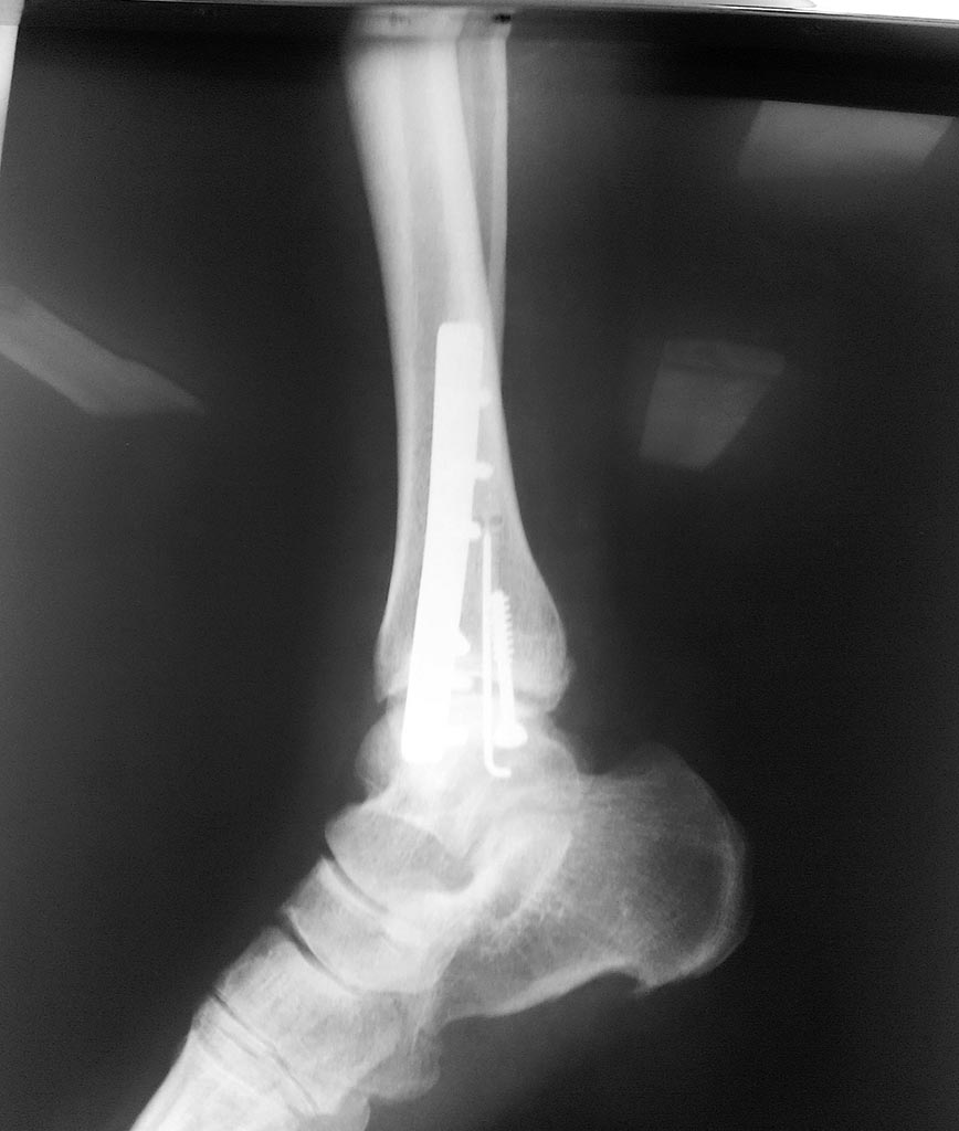
    Добавлены снимки

    [ Ответить ]

    • Re: Лодыжки - подвывих стопы?
      Отправитель: Хаджи 26 Февраль 2018, 04:23
      Для оценки желательно сделать сравнительные снимки обоих голеностопных суставов в проекции мортис, без них сложно дать ответ. Не совсем понятно полностью ли восстановлена длина латеральной лодыжки.

      [ Ответить ]
    Re: Лодыжки - подвывих стопы?
    Радмир Уфа 26 Февраль 2018, 00:11
    Подвывиха нет..Не хватает компрессионного межфрагментарного винта на наружной лодыжке, но не корично.Сделайте снимок здоровой ноги и наложите
    [ Ответить ]

    Re: Лодыжки - подвывих стопы?
    Бережной Сергей 26 Февраль 2018, 13:07
    Может быть не нужно было пластину изгибать? Как раз 1-2 мм на этом могло быть потеряно.
    [ Ответить ]

    Re: Лодыжки - подвывих стопы?
    anatol 26 Февраль 2018, 20:42
    Пластина достаточно эластичная (1/3 трубки). Выполнить закрытую репозицию на избыточный варус под контролем ЭОП, временно фиксировать через пятку голеностопный сустав спицей ,удалить третий снизу винт, через это отверстие провести позиционный винт в большеберцовую кость, удалить фиксирующую спицу. Действительно, изгиб пластины нужно было сделать дистальнее или не делать вообще. Возможно изгиб пластины произошел самопроизвольно на свободном от винтов отверстии.
    [ Ответить ]


    ( Ответить )

    Powered by Zope  Squishdot Powered MedLink
    Посетитель: 0000141
      "По форме правильно, а по существу - издевательство" В.И.Ленин
    ©2001-2019Orthoforum Coordinator.
    [ Главная | Отправить сообщение | Поиск | Админ ]