AOTRAUMA.ORG Центр Илизарова  

Ортопедия и травматология Общие вопросы/General questions Help Информационные технологии в медицине
 вверх
 отправить
 поиск
 админ
 главная


Эндопротезирование на фоне рубцов
Ортопедия и травматология Отправлено Игорь 28 Февраль 2018, 00:10
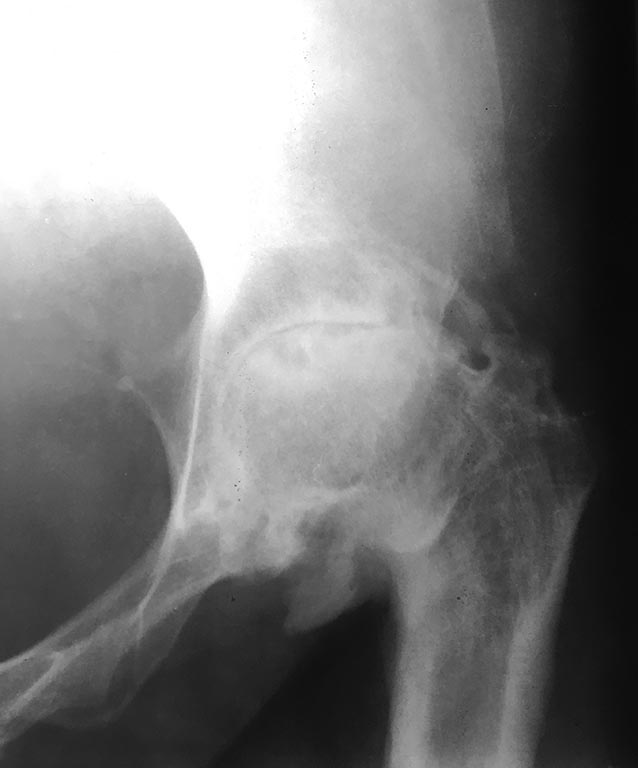
Пациентка 38 лет жалобы на ограничение движений, боль в области тазобедренного сустава, укорочение конечности, хромоту.
В возрасте 6 лет открытое вправление пропущенного врожденного вывиха левой бедренной кости, осложнившееся кокситом.
На данный момент: Сгибательная приводящая установка в суставе, движения отсутствуют.
Обращает на себя внимание втянутый рубец плотно спаянный непосредственно с костью в области большого вертела без подлежащих мягких тканей
Больная настаивает на эндопротезировании.
Пункция т/бедренного сустава: без роста. С реактивный белок отрицательный.
«Костный этап» больших вопросов не вызывает, а вот состояние мягких тканей и перспективы оставить протез «под кожей» несколько смущают.
Уважаемые коллеги, наверняка кто-то сталкивался с подобной проблемой. Можно ли уверенно обойтись местными тканями или возможно потребуется мышечная пластика? И если потребуется, то какие известны методики?

<  |  >

 

  • Сообщения о Ортопедия и травматология
  • Также Игорь
  • Связаться с автором
  • Ответить

    Re: Эндопротезирование на фоне рубцов
    Sereda Andrey 01 Март 2018, 23:11
    А фото рубца можно посмотреть?
    [ Ответить ]

    Re: Эндопротезирование на фоне рубцов
    игорь 03 Март 2018, 02:33

    фото

    [ Ответить ]

    Re: Эндопротезирование на фоне рубцов
    игорь 03 Март 2018, 02:38
    Думаю что наверняка получится укрыть дефект фасции и мышц местными тканями, но как то смущает бедренная кость которая отчетливо пальпируется сразу под кожей
    [ Ответить ]

    Re: Эндопротезирование на фоне рубцов
    Sereda Andrey 05 Март 2018, 23:16
    Да не должно быть тут проблем.
    [ Ответить ]

    Re: Эндопротезирование на фоне рубцов
    Пивень Игорь Михайлович 31 Март 2018, 00:04
    Здравствуйте. Необходимо иссечь рубец и при доступе освободить вертельную область и мобилизовать подлежащие ткани. Судя по фото должно получиться закрыть рану используя подлежащую жировую клетчатку и избежать контакта эндопротеза с кожей. Рекомендую ножку с небольшим оффсетом и уменьшеным шеечно - диафизарным углом, не латеральную (например Цваймюллера). Это облегчит ушивание раны.С уважением И.М. Пивень
    [ Ответить ]


    ( Ответить )

    Powered by Zope  Squishdot Powered MedLink
    Посетитель: 0227306
      "По форме правильно, а по существу - издевательство" В.И.Ленин
    ©2001-2019Orthoforum Coordinator.
    [ Главная | Отправить сообщение | Поиск | Админ ]