AOTRAUMA.ORG Центр Илизарова  

Ортопедия и травматология Общие вопросы/General questions Help Информационные технологии в медицине
 вверх
 отправить
 поиск
 админ
 главная
 Предыдущее


Re: Атрофический псевдоартроз бедра
Юрий 23 Март 2018, 23:28

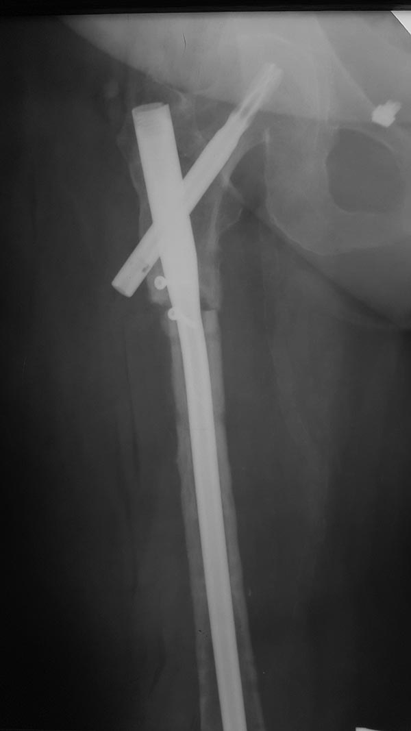
Операцию сделали, инфекции не выявлено, резецированы концы бедренной кости на 10 - 20 мм с каждой стороны, дистальный конец был нежизнеспособен, щели перелома выполнены губчатым аутотрансплантантом, также по передней поверхности фиксирован винтами губчато-кортикальный аутотрансплантант.



  • Сообщения о Ортопедия и травматология
  • Также Юрий
  • Связаться с автором
  • Ответить

    Re: Атрофический псевдоартроз бедра
    Alexander Chelnokov 24 Март 2018, 13:56
    То есть получилось укорочение. Как намерены решать эту проблему?
    [ Ответить ]

    • Re: Атрофический псевдоартроз бедра
      Отправитель: Юрий 24 Март 2018, 16:17
      Клинически укорочение 3,5 - 4 см. Больная была предупреждена о возможной резекции. Возможна компенсация этого укорочения неоперативными методами.

      [ Ответить ]

     

    ( Ответить )

    Powered by Zope  Squishdot Powered MedLink
    Посетитель: 0000049
      "По форме правильно, а по существу - издевательство" В.И.Ленин
    ©2001-2019Orthoforum Coordinator.
    [ Главная | Отправить сообщение | Поиск | Админ ]