AOTRAUMA.ORG Центр Илизарова  

Ортопедия и травматология Общие вопросы/General questions Help Информационные технологии в медицине
 вверх
 отправить
 поиск
 админ
 главная


Повреждение проксимальных отделов radius+ulna
Ортопедия и травматология Отправлено Адай Казыбеков 24 Март 2018, 16:52
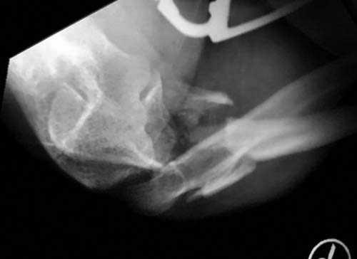
Добрый день, коллеги. Какие мнения будут по этому снимку?


<  |  >

 

  • Сообщения о Ортопедия и травматология
  • Также Адай Казыбеков
  • Связаться с автором
  • Ответить

    Re: Повреждение проксимальных отделов radius+ulna
    Иван 24 Март 2018, 18:09
    Выполнить остеосинтез. Локтевую кость стержнем, лучевую пластиной.
    [ Ответить ]

    Re: Повреждение проксимальных отделов radius+ulna
    Юрий 24 Март 2018, 20:06
    Перелом обеих костей предплечья в верхней трети. Остеосинтез обеих костей пластинами, лучше с угловой стабильностью для снижения ротационных нагрузок на перелом, ранняя функция.
    [ Ответить ]

    Re: Повреждение проксимальных отделов radius+ulna
    Алексей Гордеев 25 Март 2018, 00:37
    Какими возможностями обладаете: импланты, КТ??
    [ Ответить ]

    • Re: Повреждение проксимальных отделов radius+ulna
      Отправитель: Адай Казыбеков 25 Март 2018, 00:37
      КТ и импланты есть. Скажите свои варианты?

      [ Ответить ]
      • Re: Повреждение проксимальных отделов radius+ulna
        Отправитель: Алексей Гордеев 25 Март 2018, 00:38
        Учитывая уровень перелома локтевой кости я бы отдал предпочтение все таки пластине, нежели штифту. И обязательно реплантировать головку. Сколько доступов? Нужно смотреть состояние мягких тканей. Если все хорошо-можно и из одного.

        [ Ответить ]
    Re: Повреждение проксимальных отделов radius+ulna
    Виталий Гудков 25 Март 2018, 00:38
    Оба перелома под накостный остеосинтез. Доступ по тыльной поверхности. Проблема с головкой лучевой, сложно найти пластинку и они недешевые.
    [ Ответить ]

    • Re: Повреждение проксимальных отделов radius+ulna
      Отправитель: Адай Казыбеков 25 Март 2018, 00:39
      Для головки лучевой кости есть пластина с угловой стабильностью. По доступу можете подробно написать или нарисовать?

      [ Ответить ]
      • Re: Повреждение проксимальных отделов radius+ulna
        Отправитель: Александр Тютюнников 25 Март 2018, 00:40
        AO Surgery Reference - там исчерпывающая информация

        [ Ответить ]
        • Re: Повреждение проксимальных отделов radius+ulna
          Отправитель: Адай Казыбеков 25 Март 2018, 00:40
          Спасибо за рекомендуемую методичку) Хотелось бы дискуссии!

          [ Ответить ]
          • Re: Повреждение проксимальных отделов radius+ulna
            Отправитель: Александр Тютюнников 25 Март 2018, 00:41
            а в данном случае дискуссии и нет. Остеосинтез из задне-латерального доступа.

            [ Ответить ]
            • Re: Повреждение проксимальных отделов radius+ulna
              Отправитель: Адай Казыбеков 25 Март 2018, 00:42
              предлагаете одним доступом?

              [ Ответить ]
              • Re: Повреждение проксимальных отделов radius+ulna
                Отправитель: Юрий 25 Март 2018, 16:48
                Лучше один доступ

                [ Ответить ]
          • Re: Повреждение проксимальных отделов radius+ulna
            Отправитель: Юрий 25 Март 2018, 16:45
            AO Surgery Reference - это не "методичка", это вся травматология. Без курсов АО в странах Европы нет допуска к практической работе.

            [ Ответить ]
    • Re: Повреждение проксимальных отделов radius+ulna
      Отправитель: Younes Sa'd 25 Март 2018, 00:39
      Ребята ... пластинка для головки луча не нужна будет, если использовать Nancy nail ........

      [ Ответить ]
      • Re: Повреждение проксимальных отделов radius+ulna
        Отправитель: Юрий 25 Март 2018, 16:01
        Блокированные гвозди для предплечья есть, но ассоциацией остеосинтеза не рекомендованы, т.к. недостаточно жесткие в обеспечении ротационной стабильности костей предплечья.

        [ Ответить ]
    Re: Повреждение проксимальных отделов radius+ulna
    Paul 26 Март 2018, 10:06
    На локтевую кость - можно обойтись пластиной. На лучевую кость - стержневая фиксация т.е. обычные 2мм спицы, но с конверсивной геометрией.
    [ Ответить ]

    Re: Повреждение проксимальных отделов radius+ulna
    Николай 30 Март 2018, 18:38
    Если дискуссия то...... варианов много: из доступов трансалекранный доступ, тем более пилить ничего не надо и оттуда же вправить головку. Потом пластина на локтевую, с головкой чуть посложнее,
    я бы просто перекрестными спицами. Аппаратом тоже можно, но сначала из маленького разреа открыто вправить головку и временно зафиксировать потом аппарат Иллизарова.
    Можно при желании и в гипсе ))))))) самое главное головку луча более менее вправить, а потом ранняя ЛФК

    В любом случае плясать надо от головки луча (ИМХО)
    [ Ответить ]

    Re: Повреждение проксимальных отделов radius+ulna
    Дедок Михаил 30 Март 2018, 23:24
    Дискуссия— это, конечно, хорошо. Но всегда нужна точка в конце. Что сделали то?
    От себя, думаю, что если убрать головку луча, нагрузка на локтевую будет больше, риск несращения ее и несостоятельности остеосинтез выше. Просто были прецеденты (:
    [ Ответить ]

    Re: Повреждение проксимальных отделов radius+ulna
    Djoldas Kuldjanov 02 Апрель 2018, 00:46
    Уважемые коллеги,

    В последние дни на странице Форума чувствуется небольшое оживление, и клинические разборы чаще стали появляться на сайте. Я приветствую разборы на профессиональном сайте, где рассылка идет среди врачей, а не в среде, где реагируют на имя подписчика, и где доминируют члены семьи и друзья. Кроме того, имеется этические аспекты при разборе, например, выкладка клинических картин, показ “монструозных инструментов”, и неподготовленная аудитория не поймет профессиональный резкий разговор, и вместе гордости могут возникнуть разочарования близких. Лучше поддержать дискуссию на сайте Форума, чем переход в Facebook.

    Теперь по поводу “повреждение проксимальных отделов radius+ulna”.

    Для продолжения дискуссии необходимо поддержать обратную связь, надо выложить дополнительную информацию: анамнез, возраст, профессию, доминантная ли рука, изолированность травмы, давность и причину задержку лечения.

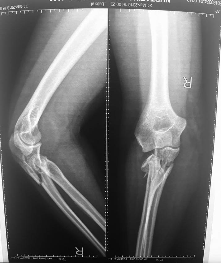
    А так, здесь имеется многофрагментарный проксимальный перелом локтевого отростка с переломо-вывихом головки лучевой кости по классификации Mason III. Решение принимается на основании КТ срезов, потому что на боковом рентген снимке вроде отсутствует смещение, где сустав и контур Coronoid в одном блоке, а на прямом подозрение на смещение в Coronoid?

    Для перелома локтевого отростка придуманы много пластин, надо выбрать по длине. А при краевых переломах головки ее окружность можно восстановить винтами 2 мм, но в данном случае имеется полный вывих головки и фиксация, даже специальной пластиной, может осложнится. Протез головки после удаления предупреждает нестабильность в суставе и деформацию оси конечности в будущем!

    Конверсионные спицы на уровне проксимального отдела лучевой кости интересная идея, но на уровне перелома в области шейки трудно удержать головку. Предварительная репозиция локтевого отростка с временной установкой пластины, затем удаление экономит время. Доступ через локтевой отросток, где можно фиксировать или удалить головку с замещением, а потом установить пластину обратно на локтевой отросток!



    Djoldas Kuldjanov, MD
    Professor Dept. of Orthopaedic Surgery
    Saint Louis University
    Chief of Ortho Trauma, Mercy Hospital
    [ Ответить ]


    ( Ответить )

    Powered by Zope  Squishdot Powered MedLink
    Посетитель: 0000007
      "По форме правильно, а по существу - издевательство" В.И.Ленин
    ©2001-2019Orthoforum Coordinator.
    [ Главная | Отправить сообщение | Поиск | Админ ]