AOTRAUMA.ORG Центр Илизарова  

Ортопедия и травматология Общие вопросы/General questions Help Информационные технологии в медицине
 вверх
 отправить
 поиск
 админ
 главная


Боли в тазобедренном суставе
Ортопедия и травматология Отправлено ВАЛЕНТИН 04 Апрель 2018, 15:16
Мужчина 32 года, беспокоят боли в левом тазобедренном суставе, преимущественно в задних отделах при отведении ноги, иногда боли в паху с иррадиацией по внутренней поверхности до колена.
Боли во время длительной ходьбы более 40 мин. Ходит без боли по разному (может и 4 км пройти, иногда и 300 метров не может).

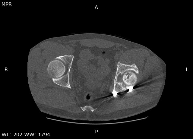
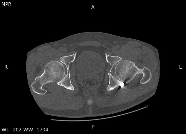
Травма в 2015 году. Водитель, попал в ДТП. Первично повреждение печени, перелом локтевой кости слева. Перелом задней колонный и задней стены левой вертлужной впадины. По экстренным показаниям выполнялась лапаротомия. Синтез задней колонны и задней стены через 13 дней через доступ Кохера-Лангенбека. Гладкий послеоперационный период. Выписан на амбулаторное лечение через 15 дней после операции. После выписки к нам не обращался, так как является жителем другого региона. Обратился через 2,5 года с жалобами на боли в области левого тазобедренного сустава.

На РКТ таза - перелом сросся. Отмечается кисты в области верхнего полюса головки бедра. Пластина фиксирующая задний край соприкасается с задними отделами головки бедра (видимо произошел частичный лизис костного края).

Планируется удаление металлоконструкции из заднего доступа

Вопросы:
1. Удалить и остановиться?
2. Нужно ли что-то делать с кистами? (тунелизация или есть другие способы?)

<  |  >

 

  • Сообщения о Ортопедия и травматология
  • Также ВАЛЕНТИН
  • Связаться с автором
  • Ответить

    Re: Боли в тазобедренном суставе
    anatol 07 Апрель 2018, 00:56
    У пациента посттравматический коксартроз 2ст. Учитывая невыраженный болевой синдром лучше ограничиться удалением металлоконструкции. Головка не деформирована кисты относительно небольшого размера - продолжить консервативное лечение с ограничением нагрузок занятий спортом. Упражнения для сохранения мышц и объема движений, бассейн.
    [ Ответить ]


     

    ( Ответить )

    Powered by Zope  Squishdot Powered MedLink
    Посетитель: 0391990
      "По форме правильно, а по существу - издевательство" В.И.Ленин
    ©2001-2019Orthoforum Coordinator.
    [ Главная | Отправить сообщение | Поиск | Админ ]