Ответить
|
Re: БИОС PFNA варусного бедра
Юрий 21 Май 2018, 22:59
|

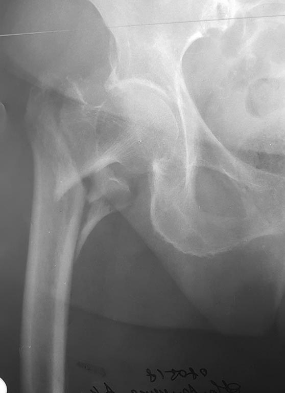
Еще одна проекция
|
[
Ответить ]
|
Re: БИОС PFNA варусного бедра
Виктор 22 Май 2018, 12:48
|
Приветствую! А можно посмотреть на снимки до операции? и если ли снимки здорового бедра? Спасибо.
|
[
Ответить ]
|
Re: БИОС PFNA варусного бедра
Радмир Уфа 23 Май 2018, 02:08
|
Да ещё снимки бы увидеть. Нет наружной ротации ? Вследствии чего переднее задний изгиб бёдра выглядит как варусная деформация?
|
[
Ответить ]
|
Re: БИОС PFNA варусного бедра
Отправитель: Юрий 23 Май 2018, 17:35
|
Сделал оба бедра в одинаковой ротации (незначительной внутренней)
|
[
Ответить ]
|
|
Re: БИОС PFNA варусного бедра
Юрий 23 Май 2018, 12:53
|
Первичный снимок
|
[
Ответить ]
|
Re: БИОС PFNA варусного бедра
Sergey Delinikaitis 24 Май 2018, 10:59
|
Послеоперационная??
Пожалуйста, сколько времени прошло после операции?
Если боли нет, и если это свежий послеоперационный снимок, то похоже, эта деформация уже была. мне кажется, лучше оставить как есть, in peace.
Сергей
|
[
Ответить ]
|
Re: БИОС PFNA варусного бедра
Радмир Уфа 24 Май 2018, 15:34
|
Сейчас актуален вопрос активизации пациента и срашения чрезвертельного перелома.Показаний для дополнительных вмешательств нет. Ренген в динамике через 1,5;3 месяца
|
[
Ответить ]
|
Re: БИОС PFNA варусного бедра
Paul 28 Май 2018, 21:49
|
При порозной шейки бедра данная фиксация не всегда достаточная.
Да, для стабилизации ввести по одной спице 2мм перпендикулярно линии перелома в метафизарной зоне, спереди и сзади от стерня. Дистальные концы стержня загнуть (для исключения миграции). Создастся дополнительная ротационная и угловая стабильность.
|
[
Ответить ]
|
Re: БИОС PFNA варусного бедра
Отправитель: Юрий 02 Июнь 2018, 03:09
|
Неужели две 2-мм спицы, которые проходят с остеопорозного внешнего кортикала бедра через полую шейку бедра в остеопорозную головку могут чем-то помочь 10 мм спиральному титановому антиротационному винту, который прочно сидит в интрамедулярном стержне, создавая межфрагментарную компрессию по оси шейки бедра, которая в свою очередь также работает на антиротационный эффект при значительной плоскости чрезвертельного перелома? У данной больной значимого остеопороза, невзирая на приличный возраст, интраоперационно не было обнаружено - спиральный винт забивался с значительным сопротивлением, даже пожалел, что не рассверлил канал для стержня.
|
[
Ответить ]
|
Re: БИОС PFNA варусного бедра
Отправитель: Юрий 02 Июнь 2018, 03:14
|
Извините,"не рассверлил канал для винта" в головке бедра
|
[
Ответить ]
|
|
( Ответить )
|