AOTRAUMA.ORG Центр Илизарова  

Ортопедия и травматология Общие вопросы/General questions Help Информационные технологии в медицине
 вверх
 отправить
 поиск
 админ
 главная


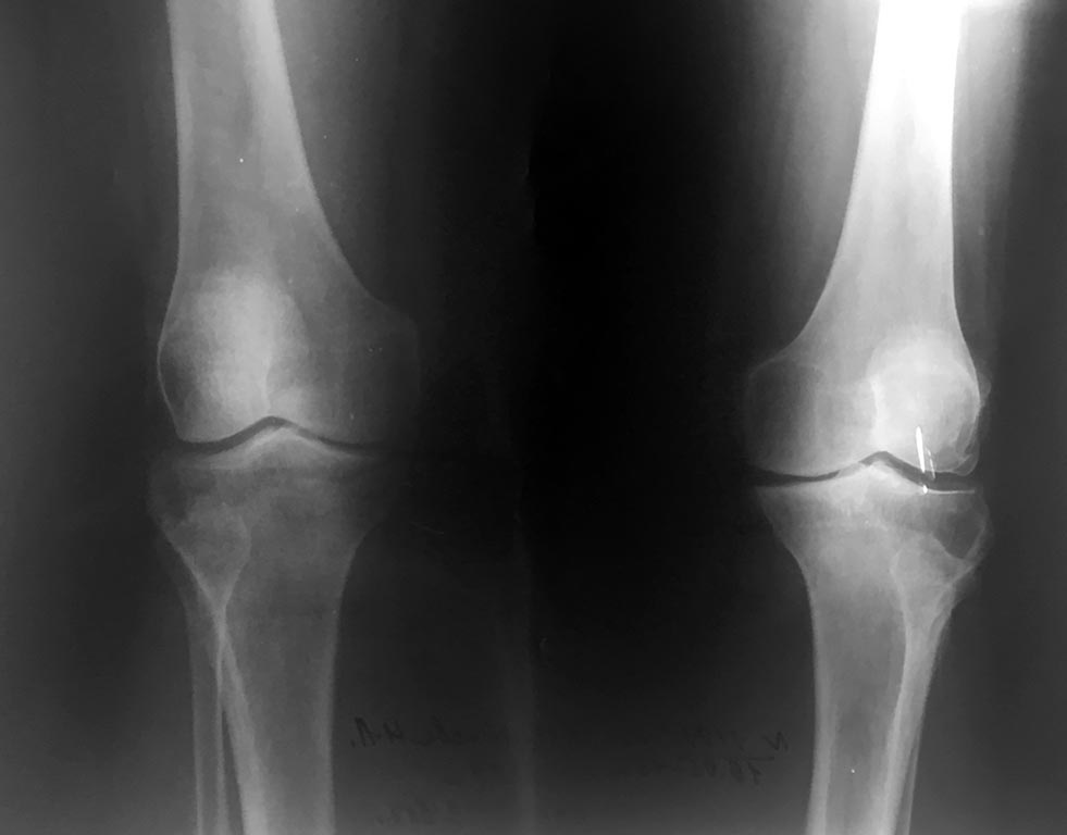
Гонартроз; тактика хирургического лечения.
Ортопедия и травматология Отправлено Алексей Чигирёв 11 Июнь 2018, 21:52
Добрый день, уважаемые коллеги!
Прошу совета по рациональной тактике лечения пациентки с lвусторонним гонартрозом.
Пациентка 67 лет. Страдает двусторонним гонартрозом 2 ст. В течении последнего года усилился и постоянно беспокоит болевой синдром.
Варусная деформация выражено умеренно. Объём движений 180-85 гр. Без значимой сопутствующей соматической патологии.Консервативное лечение с малым эффектом.
Какие варианты лечения в этом случае приемлемы?Возможна ли в данном случая корригирующая остеотомия ББК ? или показано эндопротезирование?одномыщелковое?
Спасибо за ответы!

<  |  >

 

  • Сообщения о Ортопедия и травматология
  • Также Алексей Чигирёв
  • Связаться с автором
  • Ответить

    Re: Гонартроз; тактика хирургического лечения.
    Дедок Михаил 13 Июнь 2018, 22:46
    1. Снимки в одной проекции!! И с неправильной укладкой— ротация кнаружи! Создаётся впечатление латерализации надколенника. Возможно ложное.
    2. Сделайте снимки стоя, и суставная щелью скорее всего, окажется никакой, и Вы поймёте, что следует сделать.
    3. Боковая рентгенограмма даст возможность оценить пателло— феморальный сустав. И не только.

    Только после этого стоит думать об остеотомии и и д.
    Вопрос ещё в том, что остетомия потребует разгрузки одной конечности, и значительной нагрузки на другую. Даже после эндопротезирование пациенты жалуются на усиление боли в противоположном суставе, а тут непонятно какая операция с неизвестным исходом при плохом планировании :((. И обязательна артроскопия для оценки сустава перед остеотомией.
    [ Ответить ]

    Re: Гонартроз; тактика хирургического лечения.
    Maxim Agalakov 18 Июнь 2018, 02:08
    Возможны все перечисленные варианты, но наиболее прогнозируемым будет вариант с THA, учмитывая возраст.
    [ Ответить ]

    Re: Гонартроз; тактика хирургического лечения.
    Цой Павел Викторович 18 Июнь 2018, 14:43
    Есть ли возможность сделать МРТ?
    Так можно лучше оценить состояние хряща опорных зон и пателло-феморального сустава, состояние менисков и субхондральной кости, чтобы принять адекватное решение.
    Или рентгеновские снимки переделать в правильной прямой и боковой проекциях хотя бы.
    Проверьте тазобедренные суставы и пояснично-крестцовый отдел позвоночника (клинический осмотр, при необходимости рентгенография ТБС в прямой проекции и МРТ ПОП.
    Ревмопробы (РФ, СРБ, АЦЦП), мочевая кислота крови в норме?
    УЗДГ артерий н/к?
    [ Ответить ]

    Re: Гонартроз; тактика хирургического лечения.
    Юрий 19 Июнь 2018, 23:11
    Рекомендую сделать осевой снимок под нагрузкой всей нижней конечности , определить угол варусной деформации, спланировать коррегирующую остеотомию. Результаты остеотомий очень обнадеживающие. Ссылка на статью - https://www.science-education.ru/ru/article/view?id=14032
    [ Ответить ]

    • Re: Гонартроз; тактика хирургического лечения.
      Отправитель: Дедок михаил 20 Июнь 2018, 07:58
      «Спланировать корригирующую остеотомию»



      Нужно определиться с показаниями и противопоказаниями к остеотомии!! Нет ничего хуже чем операция в никуда. Это будет дискредитация метода.

      [ Ответить ]

     

    ( Ответить )

    Powered by Zope  Squishdot Powered MedLink
    Посетитель: 0392369
      "По форме правильно, а по существу - издевательство" В.И.Ленин
    ©2001-2019Orthoforum Coordinator.
    [ Главная | Отправить сообщение | Поиск | Админ ]