вверх
отправить
поиск
админ
главная
|
Посттравматическая деформация бедра |
 |
 |
 |
Отправлено Dr.Khalimov 27 Сентябрь 2018, 13:41
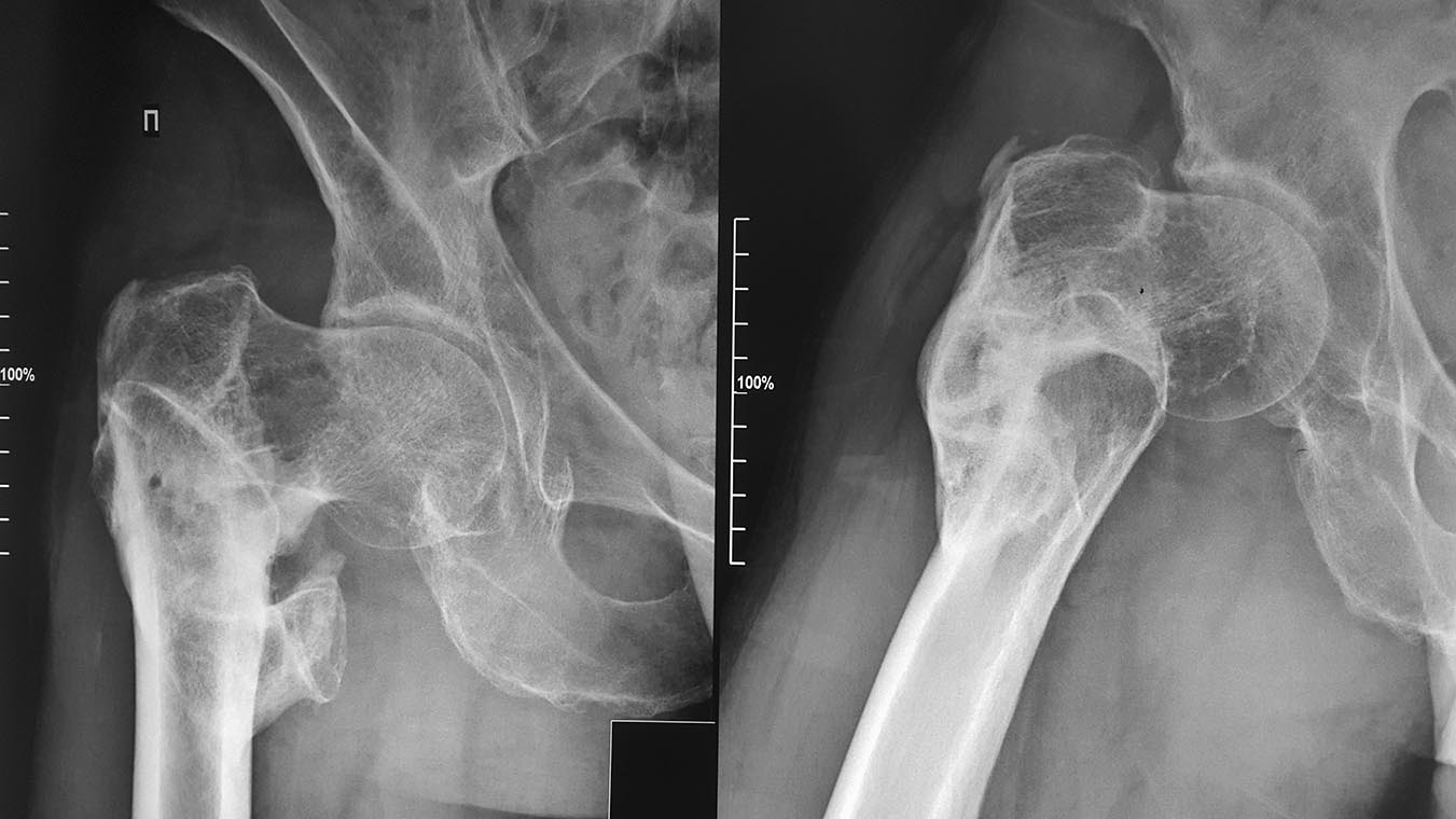
Уважаемые коллеги,нужен ваш совет по тактики лечения посттравматической деформации проксимального отдела бедра. Пациент 47 лет.Травма в 2014 году.Лечили скелетным вытяжением. Клинически имеется укорочение - 8 см,патологическая установка н/конечности в положении наружной ротации.После обсуждения в отделении остановились на двухэтапном лечении: 1) остеотомия,АВФ таз-бедро в режиме дистракции до восстановления длины. 2) остеосинтез стержнем PFN.Интересно мнение форума по тактике, выборе импланта, режиме дистракции. С уважением, Dr.Khalimov
<
|
>
|
|
Ответить
|
Re: Посттравматическая деформация бедра
Alexander Chelnokov 29 Сентябрь 2018, 09:09
|
Надо сделать сравнительные снимки бедер. И сделать скиаграммы или в фотошопе можно - надо спланировать корекцию.
Если одна угловая коррекц ия решает проблему с длиной - то можео сделать только вальгизирующую межвертельнюую остеотомию. Если одна коррекция варуса не даст нужной длины сегмента - то для начада посмотреть, сколько не хватит длины.
|
[
Ответить ]
|
Re: Посттравматическая деформация бедра
Alexander Artemiev 29 Сентябрь 2018, 09:10
|
Здравствуйте.
Сделайте рентгенографию нижних конечностей по всей длине!!!!
Под укороченную ногу поставьте подставку, по возможности полностью компенсирующую укорочение.
Укорочение в данном случае укорочение является не только истинным, а также типа кажущимся, связанным с тем, что пациент не может полностью отвести бедро.
В таком случае восстановление оси существенно "удлинит" ногу. Останется 3-4 см, которое, собственно и будет истинным укорочением. На эту величину и нужно удлинять за счет дистракции.
Аппарат таз-бедро - это слишком мучительно будет для пациента.
Достаточно на бедро аппарат.
Точны уровень остеотомии можно будет определить после рентгена по всей длине.
Срастается в этой зоне всегда хорошо после остеотомии, поэтому можете ограничиться внешней фиксацией, она не должна быть долгой.
--
С уважением,
Александр Артемьев
|
[
Ответить ]
|
( Ответить )
|
|