AOTRAUMA.ORG Центр Илизарова  

Ортопедия и травматология Общие вопросы/General questions Help Информационные технологии в медицине
 вверх
 отправить
 поиск
 админ
 главная


нагрузка после таза С3
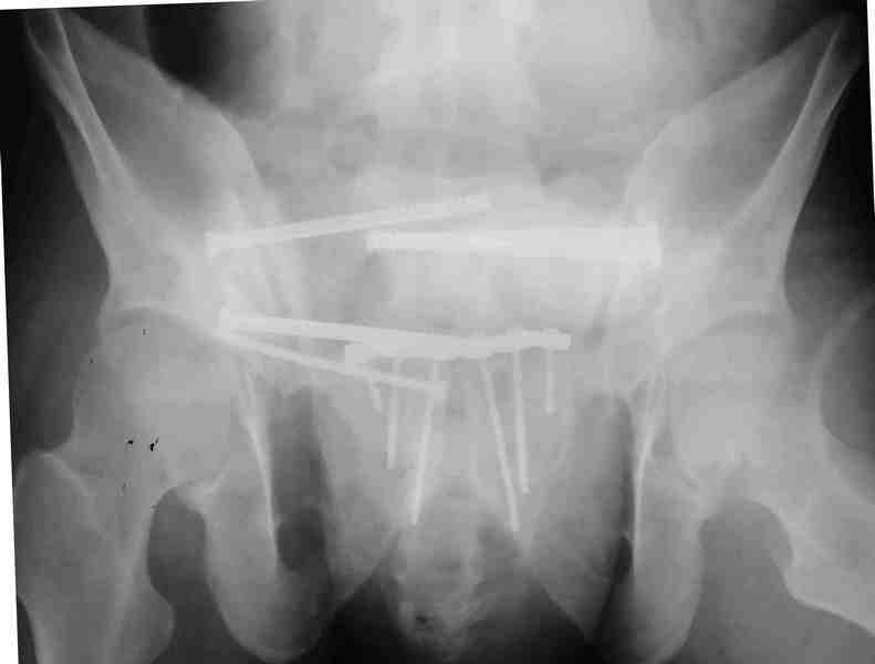
Ортопедия и травматология Отправлено MAKSIM AGALAKOV 29 Октябрь 2018, 23:04
Коллеги, как и когда вы бы разрешили нагрузку в такой ситуации.
Молодой парень, без соматики. Сейчас чуть больше 2-х нед после операции, швы сняты, мочится сам. Был тяжелый, после операции дней 10 пытался выполнить лежа поперечный шпагат (успешно, так и лежал большей частью, может быть из-за обширной гематомы промежности). Репозиция не идеальная, но фиксация довольно надежная, за 2 нед ничего не "разъехалось". Сейчас пришел в ум. Когда по-вашему можно дать нагрузку и на какую ногу или на обе? Или вообще подскажете программу реабилитации.PS Заранее извиняюсь за качество снимков, до не делали (body scan), если не видно - то - полные разрывы КПС с двух сторон. после КТ сломался. Неврологии вроде бы нет.

<  |  >

 

  • Сообщения о Ортопедия и травматология
  • Также MAKSIM AGALAKOV
  • Связаться с автором
  • Ответить

    Powered by Zope  Squishdot Powered MedLink
    Посетитель: 0386321
      "По форме правильно, а по существу - издевательство" В.И.Ленин
    ©2001-2019Orthoforum Coordinator.
    [ Главная | Отправить сообщение | Поиск | Админ ]