AOTRAUMA.ORG Центр Илизарова  

Ортопедия и травматология Общие вопросы/General questions Help Информационные технологии в медицине
 вверх
 отправить
 поиск
 админ
 главная


Тазобедренные суставы
Ортопедия и травматология Отправлено Сергей Анисимов 12 Январь 2019, 23:59
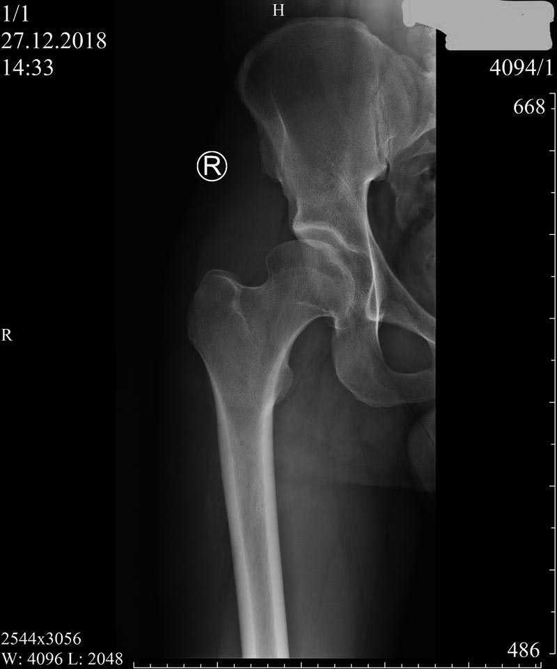
Пациент 27 лет: с 14-ти - "щёлканье" в тазобедренных суставах... Последние полгода - боль (особенно после вставания из положения сидя), которая устраняется "встряхиванием" ноги (правой) со "щелчком"...
В детстве (после рождения) - вроде бы "ничего такого" не было. Клинически - без особенностей... Владимир Георгиевич Босых (профессор МГМСУ) полагает, что на рентгенограммах: "ярко выраженный подвывих бедра и в зависимости от клиники надо ставить вопрос о хирургической коррекции (возможно, тройной остеотомии таза)". А каково ваше мнение, господа, по этому случаю? (публикуется по рекомендации д-ра Бирюкова в надежде привлечь к дискуссии проф. Кульджанова из Сент-Луиса...)

<  |  >

 

  • Сообщения о Ортопедия и травматология
  • Также Сергей Анисимов
  • Связаться с автором
  • Ответить

    Re: Тазобедренные суставы
    Gurgen Bakhtamyan 16 Январь 2019, 15:56
    Здравствуйте, Др. Анисимов,
    У Вашего пациента, скорее всего банальная дисплазия тазобедренного сустава. Не исключается и феморо-ацетабулярный импинджмент кулачкового типа ( cam FAI). Возможная причина щелчка - лабральный разрыв (?)
    МРТ есть?
    [ Ответить ]

    Re: Тазобедренные суставы
    anatol 17 Январь 2019, 19:12
    У пациента клинические и рентгенологические признаки двухстороннего диспластического коксартроз 2ст. Для тройной остеотомии таза возраст не очень подходящий - поздновато. У меня опыта таких операций нет. Но если предлагают выполнить, возможно имеет смысл, чтобы отсрочить эндопротезирование, к которому рано или поздно придётся прибегнуть.
    [ Ответить ]

    Re: Тазобедренные суставы
    Иван 05 Февраль 2019, 00:24
    Дисплазия с 2 сторон. Коксартроз не грубый. Оперировать рано. Клиника соответствует рентген картине. Пусть ходит на своих суставах, может ещё 20 лет отходит. Терапия паллиативная и поддерживающая, инвазии в сустав ( я про инъекции и т.п.) избегать, толку мало, а риска инфекции много.
    Придет время - протезировать. Остеотомии и коррекции судьбу пациента не улучшат.
    [ Ответить ]

    Re: Тазобедренные суставы
    Djoldas Kuldjanov 19 Февраль 2019, 01:48
    Уважаемые друзья,

    В вопросе лечения дисплазии основное внимание уделяют сохранению сустава, и успех зависит от времени обнаружения патологии. Паллиативное и поддерживающее лечение в течение 20 лет не обрадует больных, а только поможет разрушить сустав основательно. Чем ранее выявляются патологии, тем легче помочь, потому что для молодого возраста существуют разные тазовые остеотомии, которые со временем восстановят сустав. Но парадокс в том, что такие больные в большинстве случаев первичную консультацию получают у врачей общего профиля, где из-за недостаточного знания диагностики патологии тазобедренного сустава могут ситуацию интерпретировать неправильно. Запоздалая диагностика происходит также из-за того, что в молодом возрасте сустав более эластичен и выдерживает нестабильность, но с возрастом, особенно с увеличением веса, теряется подвижность, сустав реагирует симптомами боли! Появление щелчка можно связать с повреждением лабрального хряща, но это легко проверяется на МРТ с гадолинием!

    Восстановительные операции в большинстве обходятся без дорогих имплантатов, и некоторые Российские центры начали популяризировать технику восстановления. Операции без поддержки компаний, плюс отрицательная оценка со стороны чрезмерно активных коллег, особенно под влиянием агрессивных представителей, и из-за сложности и трудоемкости такие операции не стали широко популярными среди врачей. Они с легкостью соглашаются на артропластику даже в молодом возрасте!

    Диагностика дисплазии и импинжмента не такая сложная, на основании обычных стандартных исследовании. Прямой таз, прямой снимок каждого сустава и боковой, иногда требуется снимки в ротации: внутренняя и наружная, в аддукции и абдукции!




    На представленном снимке (frog lateral) хорошо можно увидеть шейку и головку, но для данной патологии требуется false profile view! Для удобства приложил некоторые укладки: false profile и снимок с нормальными параметрами сустава (синими указаны центр край угол). Здесь имеется измененная и деформированная диспластическая форма головки, где огромный размер, выходя за пределы вертлужной впадины, создает иллюзию подвывиха. Очень узкая нагрузочная площадь и почти негативный (center-edge angle of Wiberg), потому что вертикаль (зеленая) от центра головки проходит с латеральной стороны. Контур передней стенки (синий) показывает что покрывает головку мало, а задняя стенка (красная) больших размеров доказывает что сустав развернут кпереди. Возможно за счет укладки, на рентгене слева шейка вроде короткая.

    Для определения диагноза, кроме рентген снимков, необходим клинический осмотр. При таком суставе внутренняя ротация конечности увеличивается, а наружная ротация лимитирована. Чрезмерная флексия и ротация покажет симптомы повреждения лабрального хряща.

    В данном случае имеется возможность сохранить сустав, рекомендуется остеотомия таза, которая увеличит нагружаемую поверхность и улучшит переднее покрытие. Тройная остеотомия имеет свои отрицательные стороны, например, из-за вовлечения задней колонны затягивается восстановление и бывают проблемы в акушерской практике. PAO (периацетабулярная остеотомия) таза позволяет исправить все деформации через один передний доступ.


    Djoldas Kuldjanov, MD.
    Professor Dept. of Orthopedic Surgery
    Saint Louis University
    Chief of Ortho Trauma Saint Louis University Hospital

    [ Ответить ]


    ( Ответить )

    Powered by Zope  Squishdot Powered MedLink
    Посетитель: 0000049
      "По форме правильно, а по существу - издевательство" В.И.Ленин
    ©2001-2019Orthoforum Coordinator.
    [ Главная | Отправить сообщение | Поиск | Админ ]