AOTRAUMA.ORG Центр Илизарова  

Ортопедия и травматология Общие вопросы/General questions Help Информационные технологии в медицине
 вверх
 отправить
 поиск
 админ
 главная


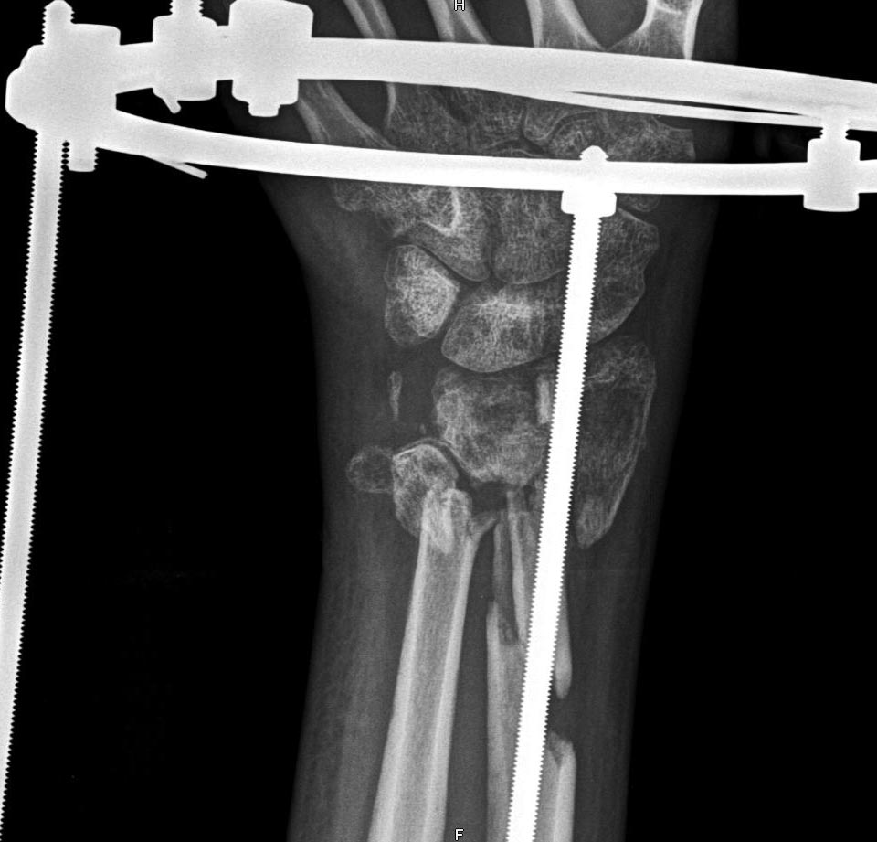
Многооскольчатый перелом костей предплечья.
Ортопедия и травматология Отправлено Максим 29 Январь 2019, 03:31
Отрытый многооскольчатый перелом ДЕМ обеих костей предплечья со смещением.
АВФ - 8 недель. Пожалуйста, помогите определиться с дальнейшим оптимальным вариантом операции, пластики.

<  |  >

 

  • Сообщения о Ортопедия и травматология
  • Также Максим
  • Связаться с автором
  • Ответить

    Re: Многооскольчатый перелом костей предплечья.
    Иван 30 Январь 2019, 13:33
    Опять лечим картинку?

    Дистракция избыточная.
    Возраст пациента?
    Состояние кожи? Иннервация кисти?
    На снимке - не ясна конструкция аппарата и что с его помощь можно сделать.
    [ Ответить ]

    • Re: Многооскольчатый перелом костей предплечья.
      Отправитель: Maksim Agalakov 31 Январь 2019, 04:51
      и впрямь - мало вводных

      [ Ответить ]

     

    ( Ответить )

    Powered by Zope  Squishdot Powered MedLink
    Посетитель: 0000267
      "По форме правильно, а по существу - издевательство" В.И.Ленин
    ©2001-2019Orthoforum Coordinator.
    [ Главная | Отправить сообщение | Поиск | Админ ]