AOTRAUMA.ORG Центр Илизарова  

Ортопедия и травматология Общие вопросы/General questions Help Информационные технологии в медицине
 вверх
 отправить
 поиск
 админ
 главная


Ложный сустав костей голени
Ортопедия и травматология Отправлено Алексей Чигирёв 19 Февраль 2019, 22:38
Уважаемые коллеги, куда можно направить пациентку в данном случае?
Добрый вечер!

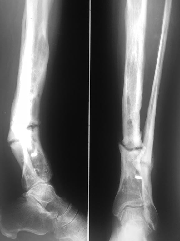
Обратилась пациентка с тугоподвижным ложным суставом костей правой голени в н/3 с антекурвационной деформацией и укорочением.

Кратко по анамнезу- в 2011г. закрытый перелом костей правой голени,выполнен накостный МОС, осложнение -нагноение в раннем п/о периоде, Удаление м/к и ЧКДО аппаратом Илизарова. Далее -резекция большеберцовый кости в процессе секвестрнекрэтомии,перемонтаж АВФ с попыткой билокального ЧКДО,далее , уже в 2014г. - открытое вмешательство- костная пластика и накостный МОС, через 1 год закончилось удалением м/к по поводу рецидивирующих свищей.

В настоящее время тугой ложный сустав , деформация с укорочением 3-4см.; свищей в течение 2.5 лет не было.Вопрос-можно ли направить в пациентку в один из федеральных центров травматологии? какой?

<  |  >

 

  • Сообщения о Ортопедия и травматология
  • Также Алексей Чигирёв
  • Связаться с автором
  • Ответить

    Re: Ложный сустав костей голени
    Alexander Chelnokov 22 Февраль 2019, 22:12
    А в каком регионе находится пациентка?
    Так-то абстрактно можно направить в Курган, или ин-т Вредена, например.
    [ Ответить ]

    Re: Ложный сустав костей голени
    Алексей Чигирёв 23 Февраль 2019, 09:47
    Ростовская область.
    Есть ли квоты в данные центры?

    [ Ответить ]

    • Re: Ложный сустав костей голени
      Отправитель: Владимир Обаян, ОКБ-2 11 Март 2019, 00:40
      А что мешает отправить а одну из областных больниц? Квоты есть, опыт лечения подобных проблем тоже


      [ Ответить ]

     

    ( Ответить )

    Powered by Zope  Squishdot Powered MedLink
    Посетитель: 0390044
      "По форме правильно, а по существу - издевательство" В.И.Ленин
    ©2001-2019Orthoforum Coordinator.
    [ Главная | Отправить сообщение | Поиск | Админ ]