AOTRAUMA.ORG Центр Илизарова  

Ортопедия и травматология Общие вопросы/General questions Help Информационные технологии в медицине
 вверх
 отправить
 поиск
 админ
 главная


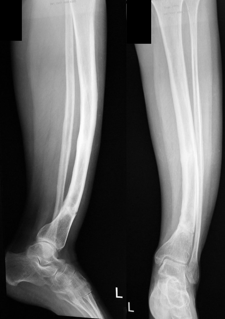
Врожденная патология голени - помощь в тактике лечения
Ортопедия и травматология Отправлено Сергей 19 Февраль 2019, 23:13
Пациентка 1962 г.р. данная патология костей голени с детства, планировалось оперативное лечение в 18 лет (Вредена),
операцию отменили, рекомендовали консервативное лечение. рентгенограммы 2018-2019гг.

<  |  >

 

  • Сообщения о Ортопедия и травматология
  • Также Сергей
  • Связаться с автором
  • Ответить

    Врожденная патология голени
    Сергей 20 Февраль 2019, 01:16

    ещё рентгенограммы

    [ Ответить ]


    ( Ответить )

    Powered by Zope  Squishdot Powered MedLink
    Посетитель: 0196523
      "По форме правильно, а по существу - издевательство" В.И.Ленин
    ©2001-2019Orthoforum Coordinator.
    [ Главная | Отправить сообщение | Поиск | Админ ]