вверх
отправить
поиск
админ
главная
|
Децентрация головки эндопротеза |
 |
 |
 |
Отправлено Андрей 11 Март 2019, 13:35
Децентрация головки эндопротеза в вертужной впадине? Доброго дня, уважаемые коллеги. В настоящее время на консервативном лечении находится пациент 1951 г.р., мужчина. В 2009 и 2010 гг.по поводу коксартроза выполнено тотальное эндопротезирование правого и левого тазобедренных суставов. В течение длительного времени беспокоит боль в левом тазобедренном суставе, периодически возникают эпизоды, которые пациент расценивает как подвывих, устраняет эти ощущения ротацией н/конечности. Рентгенограмм в момент "вывиха" не выполнялось. На контрольных рентгенограммах отмечается децентрация головки эндопротеза слева, смещение головки в краниальном направлении. Пациент консультирован в нашем ведущем учреждении, убедительных данных за нестабильность эндопротеза не выявлено, рекомендации- лечение консервативное. Однако, учитывая рентгенологическую картину, нельзя ли предположить износ полиэтилена? Каковы рекомендации в плане дальнейшей тактики?
<
|
>
|
|
Ответить
|
Re: Децентрация головки эндопротеза
Андрей 13 Март 2019, 17:42
|
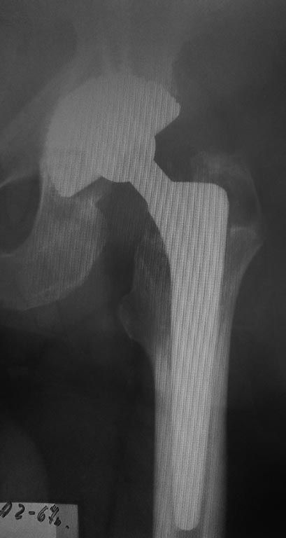
Р-грамма 2011 г
|
[
Ответить ]
|
Re: Децентрация головки эндопротеза
Андрей 13 Март 2019, 17:44
|

Р-грамма 2019 год
|
[
Ответить ]
|
Re: Децентрация головки эндопротеза
Андрей 13 Март 2019, 17:47
|

Приблизил и обрезал отдельно ацетабулярный компонент. Видно, что головка не по центру ацетабулярного компонента, а смещена кверху
|
[
Ответить ]
|
Re: Децентрация головки эндопротеза
Sereda Andrey 14 Март 2019, 00:37
|
Добрый день. Децентрация очевидна, ее померить можно во многих редакторах (единице в приложенном мною файле условные).
Что делать сейчас? Боюсь, консенсуса нет.
Критерии, какой износ вкладыша в мм можно считать показанием к ревизии, мне не известны. Обычно считается, что показание - остеолиз, который возникает как следствие полиэтиленового дебриса.
Причем есть четкая тенденция ревизовать при остеолизе, не дожидаясь нестабильности - дальше будет хуже и тяжелее, так как остеолизный дефект часто интраоперационно гораздо объемнее, чем могло казаться по Рг.
При этом чем раньше принято решение, тем увереннее можно обойтись благодарной операцией замены вкладыша без замены чашки.
В вашем случае я бы искал остеолиз, который в ранних стадиях на представленных некачественных рентгенах искать бессмвысленно, и от критерия есть остеолиз или нет бы отталкивался.
|
[
Ответить ]
|
Re: Децентрация головки эндопротеза
Отправитель: Андрей 14 Март 2019, 16:29
|
Спасибо, переделаем снимки и будем настаивать на направлении в ведущее учреждение для ревизии
|
[
Ответить ]
|
Re: Децентрация головки эндопротеза
Отправитель: Sereda Andrey 15 Март 2019, 14:31
|
По этим снимкам показаний к ревизии нет. Показание - остеолиз (значительный), который стоит искать на качественных снимках. Так что добиваться ревизии пока рано.
|
[
Ответить ]
|
|
Re: Децентрация головки эндопротеза
Maksim Agalakov 14 Март 2019, 07:56
|
а что за протез и какая пара трения?
|
[
Ответить ]
|
Re: Децентрация головки эндопротеза
Отправитель: Андрей 14 Март 2019, 16:27
|
Протез фирмы Ceraver, модель Cerafit. О паре трения информации в документации нет, пациент сам не знает.
|
[
Ответить ]
|
Re: Децентрация головки эндопротеза
Отправитель: MAKSIM AGALAKOV 14 Март 2019, 17:00
|
я подумал, давно просто их не видел, уточнил на всякий. Это скорее всего керамика и на каком-то этапе что-то поцарапали, из-за этого такой износ.
|
[
Ответить ]
|
Re: Децентрация головки эндопротеза
Отправитель: MAKSIM AGALAKOV 14 Март 2019, 17:23
|
хотя может и полиэтилен с металлом (тогда непонятен CERAVER), просто рановато для такого износа.
|
[
Ответить ]
|
Re: Децентрация головки эндопротеза
Отправитель: Андрей 15 Март 2019, 15:46
|
Есть информация только по правому суставу, там металл-полиэтилен. Левый сустав оперировался в том же учреждении спустя год, протез по виду такой же
|
[
Ответить ]
|
Re: Децентрация головки эндопротеза
Отправитель: Anatol 16 Март 2019, 18:14
|
Хотелось все-таки уточнить, когда появились жалобы? Одно дело через 5 лет после операции и тогда мало вероятно стирание вкладыша и децентрация головки, даже при большом весе и значительной двигательной активности, и другое дело - более чем через 10 лет - тогда не исключается децентрация на фоне стирания полиэтилена
|
[
Ответить ]
|
|
( Ответить )
|
|