Ответить
|
Re: Лопатка
Алексей Лубнин 06 Июль 2019, 13:30
|
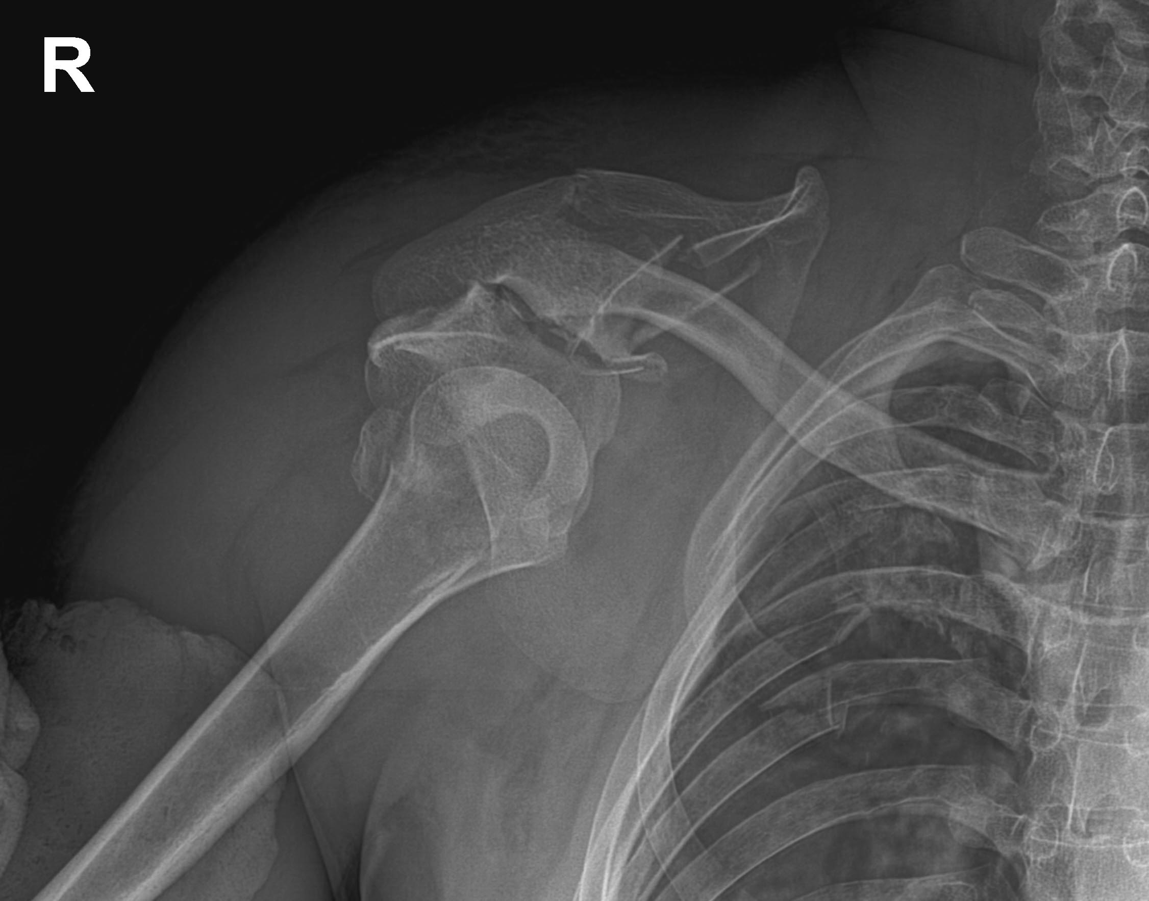
Механизм травмы, скорее всего, трактирный. Похоже на незавершенный отрыв плечевого пояса. Ключица только уберегла от полного. Должны быть проблемы с нервно-сосудистым пучком.
|
[
Ответить ]
|
Re: Лопатка
Дмитрий Щербин 06 Июль 2019, 13:31
|
Коллега, если Вам будет полезно, то в общем доступе есть моя статья на тему оперативного лечения переломов лопатки. Вестник АХИО 2018 год . Страница 146
|
[
Ответить ]
|
|
|
Re: Лопатка
Alexander Zolotov 07 Июль 2019, 09:17
|
Уважаемый Стас,
В книге "Очерки по хирургии повреждений периферических нервов" 2 глава посвящена лопаточно-грудной диссоциации. Может быть, информация окажется полезной.
https://drive.google.com/file/d/1YJz-0K-AjWp7OrKvMY3_3DUn7kStzKnp/view?usp=sharing
С уважением, А. Золотов, Владивосток
|
[
Ответить ]
|
Re: Лопатка
Евгений 09 Июль 2019, 15:30
|
Интересно, а вывих-то вправили? А то, возможно, поглядев на контрольную КТ после вправления, ничего пока хирургического делать и не стоит
|
[
Ответить ]
|
Re: Лопатка
Стас 09 Июль 2019, 19:11
|
спасибо коллеги что откликнулись.по ссылке материал гляну обязательно! вывих не вправляется так как нет опоры гленоид с коракоидом отвалились ,ключица вывихнута. ссадины подлечим и будем оперировать. проблем с сосудисто нервным пучком нет!)
|
[
Ответить ]
|
Re: Лопатка
Отправитель: Евгений 09 Июль 2019, 21:25
|
Только вывих ключицы не делайте по Веберу, как показали в своей статье ангарчане (привет из Иркутска, кстати). А то, знаете ли, спицы ломаются, мигрируют. Потом СК дело ещё пришьет...
Сделайте КТ предварительно. Обязательно! Сомнительно что-то насчёт истинного вывиха плеча.
|
[
Ответить ]
|
|
Re: Лопатка
стас 19 Июль 2019, 09:14
|

уважаемые коллеги спасибо за участие прооперировали пациента ,вывих плеч удалось вправить во время синтеза лопатки из доступа Жюде.
потом перевернули и из детьтоидопекторального подшили ротаторы с кусками бугра. вывих ключицы не фиксировали.позже сделаем
|
[
Ответить ]
|
( Ответить )
|