AOTRAUMA.ORG Центр Илизарова  

Ортопедия и травматология Общие вопросы/General questions Help Информационные технологии в медицине
 вверх
 отправить
 поиск
 админ
 главная


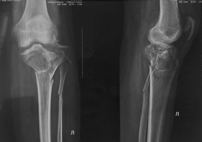
Срастающийся со смещением перелом проксимального метафиза большеберцовой кости
Ортопедия и травматология Отправлено Ивков Алексей 15 Август 2019, 21:33 ГКБ Виноградова (64) Москва
Обратился пациент 28 лет с переломом проксимального метафиза большеберцовой кости. Травма в мае 2019 года.
При получении травмы отказался от лечения в стационаре (убеждали всем отделением, никак), лечился в гипсовой повязке. Спустя 3,5 месяца обратился к нам.
Имеется выраженная контрактура в коленном суставe, фактически качательные движения. Кроме того, голеностопный сустав также малоподвижен, стопа фиксирована в положении подошвенного сгибания (дефект иммобилизации, гипс снят 2 недели назад).
Сознает необдуманность своего решения 3-х месячной давности, настроен на лечение.
Вопрос целесообразности, сроков и объема оперативного лечения.
Заранее спасибо.

<  |  >

 

  • Сообщения о Ортопедия и травматология
  • Также Ивков Алексей
  • Связаться с автором
  • Ответить

    Re: Срастающийся со смещением перелом проксимального метафиза большеберцовой кости
    Anatol 20 Август 2019, 23:59
    Необходима открытая репозиция, металлоостеосинтез в качестве подготовки к эндопротезирование. Я первым этапом наложил спице-стержневой аппарат на дистракцию в течение максимально короткого времени. Для определения оптимальных доступов необходима КТ.
    [ Ответить ]


    ( Ответить )

    Powered by Zope  Squishdot Powered MedLink
    Посетитель: 0000155
      "По форме правильно, а по существу - издевательство" В.И.Ленин
    ©2001-2019Orthoforum Coordinator.
    [ Главная | Отправить сообщение | Поиск | Админ ]