вверх
отправить
поиск
админ
главная
|
Огнестрельное ранение бедра-инфекция. |
 |
 |
 |
Отправлено Накоренок Илья 06 Декабрь 2019, 23:23
Здравствуйте уважаемые коллеги, прошу поделиться опытом лечения подобных повреждений-осложнений. Пациент Б. 40 лет, поступил в клинику 6.11.19 с огнестрельным переломом н/3 правого бедра и повреждением магистральных сосудов. Произведена ПХО ран, стабилизация перелома(с укорочением на 5 см.)стержневым АВФ, шов сосудов конец в конец. К сожалению, неверная выжидательная тактика привела к нагноению раны(Kl.pneumoniae).22.11.19 Этапная ХО раны, перемонтаж АВФ по типу-гибрид, удаление девитализированных костных фрагментов, депонирование дефекта бусами-спейсерами (амикацин-ванкомицин),VAC, Тигацил 100 мг.сут.26.11, 29.11, 3.12-этапные ХО с заменой бус и VAC,бак.посевы(возбудитель присутствует) . Макроскопически рана очистилась, гранулирует, однако имеется воспаление вокруг стержней. t. тела-в пределах нормы, лейкоциты снизились с 9,5 до 6.3, СОЭ с 62 до 31,СРБ с 98 до 49,гемогробин-98.Какую тактику применить на данном этапе?1 Masquelet с конверсией на гвоздь(пластину) с антибиотиком.2Аппаратное лечение с транспортом кости.3Другие возможные варианты.Заранее благодарю за помощь.
<
|
>
|
|
Ответить
|
Re: Огнестрельное ранение бедра-инфекция.
Иван 08 Декабрь 2019, 19:13
|
Я, думаю, сделал бы так:
- ВХО с удалением всего, что вызывает сомнения, в том числе и оставшиеся на РГ с аппаратом фрагменты кости, добился бы отрицательны посевов;
- остеосинтез стержнем с АБ покрытием с компрессией в зоне перелома и одновременной остеотомией на уровне диафиза, без проксимального блокирования + аппарат без замыкания коленного сустава
- через неделю дистракция до восстановления длины + механотерапия на коленный сустав.
- демонтаж аппарата + проксимальное блокирование.
|
[
Ответить ]
|
Re: Огнестрельное ранение бедра-инфекция.
Paul 11 Декабрь 2019, 08:05
|
Судя по снимкам, дистальный отломок недостаточно фиксирован. Лучше ввести лишние спицы, потом удалить, чем каждый раз возвращаться к хирургической обработке. АПВФ - не работает, дистальный отломок, вместе с голенью - болтается. Надеяться на стержень с АБ покрытием - опрометчиво, на фоне вторичной инфекции - не поможет.
|
[
Ответить ]
|
Re: Огнестрельное ранение бедра-инфекция.
Отправитель: Иван 13 Декабрь 2019, 20:46
|
Надеяться на стержень с АБ покрытием - опрометчиво, на фоне вторичной инфекции - не поможет. - не видел публикаций, что что-то антибактериальное не помогает при вторичной или первичной инфекции, напротив, бусы, спейсеры, импланты с покрытием часто исследуются с положительным результатом.
|
[
Ответить ]
|
Re: Огнестрельное ранение бедра-инфекция.
Отправитель: Paul 17 Декабрь 2019, 09:02
|
Воспаление в области стержней аппарата по причине:1. Инфекция идет по медуллярному каналу. 2. Нестабильность аппарата (механическая резорбция).
Выполнено две хирургические обработки на фоне сосудистой травмы и сосудистого шва. Локальный дефицит кровотока и высокий риск тромбоза. Каждое последующее вмешательство увеличивает риск тромбоза и инфекции.
Предложение: Усилить жесткость конструкции! Продолжить медикаментозное лечение (антикоагулянты до увеличения времени свертывания крови, сосудорасширяющие препараты). Лабораторный, микробиологический (антибиотики с учетом микрофлоры, внутрикостно (при наличии аппарата - удобно)), клинический мониторинг в течение 10-15 дней (обобщение данных каждые 5 дней, лучше 3).
Останется 2 варианта: 1. Перейти к внутрикостному штифтованию с АБ покрытием, 2. Повторная хирургическая обработка, лаваж внутрикостной полости.
|
[
Ответить ]
|
|
Re: Огнестрельное ранение бедра-инфекция.
Djoldas Kuldjanov 20 Январь 2020, 15:41
|
В сообщениях наших коллег в России часто встречаются ранения из травматического оружия, чем огнестрельные. А наша статистика немного отличается, и смертность от огнестрельных ран в США за год составляет около 31,513, из них суицид 19,308, убийство 11,015, случайные 802, разборы банд с нападениями 1000, легальные 323 и неизвестные 231.
Через приемное отделение нашей больницы проходит более чем 380 пенетрирующих травм в год и из них более чем 60% огнестрельные. Поэтому к ним относимся, как обычным больным, и применяем те же принципы, что в лечении открытых переломов.
Главным критерием является размер раны и при переломах с низкой энергией проблем с лечением на бывает. При ранениях с низкоэнергетической травмой, которые характеризуются небольшими ранами и многооскольчатыми переломами, можно лечить обычно даже в остром периоде. Такие переломы очень хорошо срастаются, только не надо трогать фокус травмы, достаточно “кюретаж” и промывания пулевого отверстия.
Для трубчатых костей - интрамедуллярный остеосинтез, а при больших открытых переломах можно использовать пластину.
Большой доступ облегчает репозицию и легко устанавливается пластина. Такая тактика позволяет сохранить длину кости, что минимизирует потерю, а сохранная длина в дальнейшем поможет обойтись минимальным “аутографтом”, или экономит время во время замещения дефекта.
Огнестрельные раны в 24% сопровождаются сосудистыми повреждениями, и среди них только в 5% магистральные, а остальные - мелкие мышечные веточки. При подозрении на повреждение сосудов в первую очередь надо провести “ankle brachial index” (ABI). Меньше чем единица, например 0.9 обозначает окклюзию или уменьшение кровотока. После ABI диагноз можно уточнить ангиографией.
Предварительная стабилизация облегчает задачу, и по желанию сосудистого хирурга можно установить наружный фиксатор, но окончательную фиксацию лучше провести до начала операции на сосуде.
Для облегчения мы применяем такой алгоритм. Если с момента повреждения прошло не более, чем 4 часа, тогда ортопедам дается возможность провести фиксацию первыми, и если больше, чем 4-5 часов, тогда хирурги предпочитают установить “временный шунт” на сосуды.
После стабилизации кости приступают к восстановлению сосудов. Сосудистый шов “конец в конец” при огнестрельных ранениях применяется очень редко, потому что лимитирует свободу и приводит к укорочению конечности. Огнестрельные повреждения артерии отличаются от колото-ножевых, в большинстве пуля повреждает с потерей части артерии. В таких случаях лучше провести венозный “графт”, взятый рядом или из другой конечности.
После долгого отсутствия кровообращения конечность имеет тенденцию образования отека, и этот процесс не останавливается даже после восстановления кровотока. Усиливается давление между фасциями и после сосудистых операции, особенно, после огнестрельных ранений, для улучшения кровотока рекомендуется делать фасциотомию. В наших условиях делают сосудистые хирурги, а мы помогаем закрыть рану позже.
Если был сперва использован временный наружный фиксатор, к окончательной фиксации надо подойти с осторожностью. Операцию надо отложить до образования “морщин”, что означает, что отек проходит, Выжидательная тактика предупреждает осложнения!
Теперь по поводу данного случая - “спейсер” из цемента предупреждает инфекцию и сохраняет пространство. Но вместо “бус” “цилиндрическая форма” более удобная, вокруг нее образуется ровная трубчатая поверхность “псевдо-мембраны” что в дальнейшей позволит закрыть небольшие дефекты “графтом” или во время удлинения облегчает скольжение регенерата как по трубке.
А воспаление вокруг стержней происходит из-за того, что на бедре мягкие ткани более мобильные, и возле нестабильных стержней образуется реактивное воспаление. Если не лечить, тогда воспаление может перейти в глубокие слои, а в данном случае (fat necrosis), т.е. локальный некроз, который лечится обработкой и созданием стабильности.
В данное время нет подтверждающих признаков распространения инфекции по медуллярному каналу, а также отсутствует данные, что повторная хирургическая обработка может повлиять на процесс образования тромбоза.
Из истории Афганской войны известно, что "доктрина убирать все фрагменты с последующим замещением дефекта" привела к долгим восстановительным операциям. А проведенные работы в США в начале 90х по фиксации огнестрельных переломов показали, что классические методы фиксации гвоздем намного лучше, чем сложные восстановительные операции. Чем быстрее создается стабильность, тем лучше, и при сохранении длины костей переломы срастаются в те же сроки и с очень низким процентом осложнений.
Продолжение снимки, случаи из огнестрельных ран...
Djoldas Kuldjanov, MD Professor
Dept. of Orthopaedic Surgery
Saint Louis University
Chief of Ortho Trauma, SLU Hospital
|
[
Ответить ]
|
Re: Огнестрельное ранение бедра-инфекция.
Отправитель: Djoldas Kuldjanov 21 Январь 2020, 21:13
|
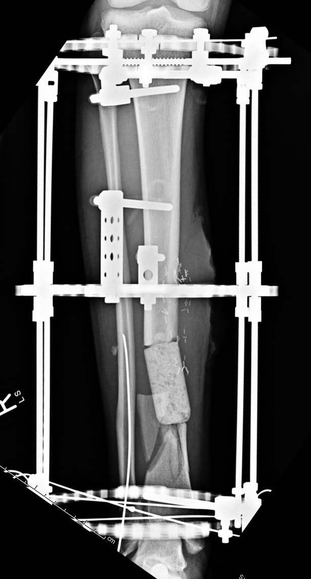
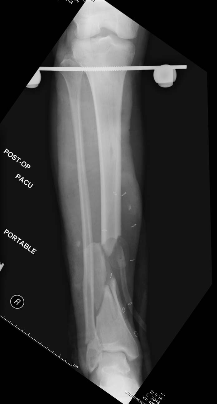
Данный случай не огнестрельная рана, а результат мотоциклетной аварии. Независимо от повреждения при таких обширных дефектах мягких и костной тканей применяется схожая тактика. Как видно, после нескольких I&D для создания “pseudo membrane” применили цилиндрический блок из цемента. Дефект мягких тканей закрыли свободным Anterior Thigh Graft. Из малого доступа цилиндр удален небольшими кусочками, а пространство заполнили бусами для освобождения пространства. По мере приближения регенерата освободили пространство удалением бус через небольшой разрез. Этап созревание регенерата можно было ускорить усилением интрамедуллярным гвоздем, но решили закончить методом Илизарова.
|
[
Ответить ]
|
|
( Ответить )
|
|