Ответить
|
Re: Дефект м.тк. на голени после мос
Олег 26 Февраль 2020, 19:30
|
Добрый день. Ситуация не из приятных , как для пациента, так и для лечащего врача. По всей вероятности необходимо удалять металл из голени, определиться с объемом резекции большеберцовой кости, закрытием дефекта и переходом на ЧКДО по Илизарову. Предварительно взять посев из раны на микрофлору и чувствительность к антибиотикам.
|
[
Ответить ]
|
Re: Дефект м.тк. на голени после мос
Дедок Михаил 26 Февраль 2020, 23:19
|
1. снимки?!, стабильность синтеза,
2. посев, vac
3. если синтез стабилен, закрыть рану вот реклама книги, можно скачать. прямую ссылку пока кинуть не могу. возможно числа 2-3.
как вариант- аппарат, vac и далее...
https://m.youtube.com/watch?v=YbOnckjO4d8
|
[
Ответить ]
|
Re: Дефект м.тк. на голени после мос
Отправитель: Сергей 27 Февраль 2020, 06:32
|
Посев из раны отрицательный.Посев крови на стерильность в работе. Снимки.
|
[
Ответить ]
|
|
Re: Дефект м.тк. на голени после мос
MAKSIM AGALAKOV 27 Февраль 2020, 10:17
|
Добрый день, выложите фото всего сегмента, лучше с разных ракурсов.
|
[
Ответить ]
|
Re: Дефект м.тк. на голени после мос
Отправитель: Сергей 27 Февраль 2020, 14:57
|
Весь сегмент выложить не могу пока на фото( только в понед-к), отсутствую в отделении.
|
[
Ответить ]
|
|
Re: Дефект м.тк. на голени после мос
Paul 27 Февраль 2020, 13:31
|
1. Удалить пластину.
2. Нежизнеспособность промежуточного фрагмента можно определить лампой Вуда после введения 1 гр тетрациклина (через 1.5-2 часа).
3. Внеочаговый аппарат (Илизарова).
4. Vac-система на рану.
5. Если нет посева из раны - неправильно брали пробы (не более 30 мин. т. не ниже 35 гр. среда обогащения с угольным наполнителем и т.д.).
6. Желательно внутрикостное введение антибиотика.
7. Готовится к удалению промежуточного фрагмента.
|
[
Ответить ]
|
Re: Дефект м.тк. на голени после мос
Отправитель: Paul 25 Март 2020, 12:16
|
Могу напомнить, что эпидермальный стафилококк живет под протеогликановой пленкой на границе между металлом и тканями, значит для его получения нужно: отслоить ткань на границе с пластиной и взять посев, а лучше кусочек ткани в посевную среду бросить. И всё!
|
[
Ответить ]
|
|
Re: Дефект м.тк. на голени после мос
Сергей 27 Февраль 2020, 15:02
|
Предложили закрыть дефект мышечным лоскутом из икроножной мышцы проведенным подкожно. Если кто может поделиться ссылкой на АО лечение дефектов мягких тканей? Говорят там можно посмотреть принцип лечения таких раневых дефектов.Спасибо.
|
[
Ответить ]
|
Re: Дефект м.тк. на голени после мос
Alexander 27 Февраль 2020, 16:39
|
Реостеосинтез (БИОС с антимикробной мантией, накостный или АВФ) с тангенциальной резекцией аваскулярной кости (если выявится), цель - смена инфицированного фиксатора и контакт васкуляризированных костных отломков. Укрытие раны: несвободным кожно-фасциальным (суральным), несвободным мышечным (гемисолеус), свободным комплексом тканей (торакодорсальный,лучевой и др.) - на выбор, зависит от возможностей и опыта. NPWT как возможный вариант с отсутствием накостного фиксатора.
|
[
Ответить ]
|
Re: Дефект м.тк. на голени после мос
Sereda Andrey 27 Февраль 2020, 20:59
|
https://www.youtube.com/watch?v=ew7htjxfvZ8
Кстати, история знает случаи, когда срасталось в таких случаях и без удаления пластины. Но шансы малы.
|
[
Ответить ]
|
Re: Дефект м.тк. на голени после мос
Отправитель: Sereda Andrey 27 Февраль 2020, 21:01
|
Но тут нужно фото всего сегмента - не понятно, достанет ли этот лоскут.
|
[
Ответить ]
|
Re: Дефект м.тк. на голени после мос
Отправитель: Alexander 28 Февраль 2020, 10:10
|
На видео лоскуты с проксимальной питающей ножкой могут и "не дотянутся" до края дефекта. Камбаловидный (гемисолеус) на дистальной питающей ножке может покрыть дефект.
|
[
Ответить ]
|
|
Re: Дефект м.тк. на голени после мос
Сергей 28 Февраль 2020, 11:09
|
Спасибо!
|
[
Ответить ]
|
Re: Дефект м.тк. на голени после мос
Антон Бехтерев 04 Март 2020, 19:54
|
Добрый день. Что в итоге получилось?
|
[
Ответить ]
|
Re: Дефект м.тк. на голени после мос
Отправитель: Сергей 04 Март 2020, 21:01
|
Пока не делал активно ничего кроме перевязок с Пронтосаном. Зав.отд. предложил сделать наводящие типа швы с постепенным сближением при перевязках. Нашел способ с 2 рядами швов, где 1 ряд черерез 2 проводится на противоположной сторонеи сближается. По тексту все понятно, а картинка только 1 фазы только, дальше не нашел. Может кто подскажет картинку как там проводить эти швы 1 и 2 ряда через прокладки,а потом еще силовые нити через 1 ряд швов, вроде как сближпя края не прошивая кожу. Думаю вот, получится на этой ране сделать. В раздумьях. Пластики мышечные... есть аллеогический фон у больной ввиде кожных высыпаний на конечностях, пока не рискну.Фото раны в динамике завтра сделаю.
|
[
Ответить ]
|
Re: Дефект м.тк. на голени после мос
Отправитель: Антон Бехтерев 05 Март 2020, 04:22
|
Вот так стягивать рану - еще хуже будет. Паратравматическая экзема не помеха пластике. Не затягивайте время. Или поищите место, где выполнят пластику дефекта или сами в морге потренируйтесь мобилизовать суральный лоскут или медиальную порцию камбаловидной мышцы.
|
[
Ответить ]
|
Re: Дефект м.тк. на голени после мос
Отправитель: Сергей 05 Март 2020, 11:44
|

Сегодня
|
[
Ответить ]
|
Re: Дефект м.тк. на голени после мос
Отправитель: Артем Гребнев 05 Март 2020, 20:04
|
Сергей, такую рану Вы не стяните. Думайте о мышечной пластике дефекта;Прикиньте, может встречные Кейстоун лоскуты подойдут. Чем дольше думаете, тем выше риск инфицирования.
|
[
Ответить ]
|
Re: Дефект м.тк. на голени после мос
Отправитель: Сергей 06 Март 2020, 06:23
|
Хорошо. Спасибо.
|
[
Ответить ]
|
Re: Дефект м.тк. на голени после мос
Отправитель: Alexander Chelnokov 06 Март 2020, 23:58
|
Сколько уже времени пластина обнажена?
Хотя бы VAC тут бы крайне желательно до решения о закрытии мягкотканого дефекта.
Здесь подойдет только полнослойный лоскут с питанием. На микрососудистую пластику рассчитывать не приходится в текущих условиях, как можно понять? Тогде можно подумать о cross-leg.
Но риск получить нагноение даже при хорошем приживлении лоскута будет тем выше, чем больше было времени на образование бактериальной пленки на пластине.
Так что не исключен и более радикальный вариант с удалением, сегментарной резекцией и последующим замещением костного дефекта.
Взвесить шансы и выбрать оптимальное решение, боюсь, могут только те, кто непосредственно в теме - наблюдающие пациента, хорошо представляющие все местные возможности, свои навыки и возможности куда-то пациента переправить.
|
[
Ответить ]
|
Re: Дефект м.тк. на голени после мос
Отправитель: Сергей 07 Март 2020, 11:33
|


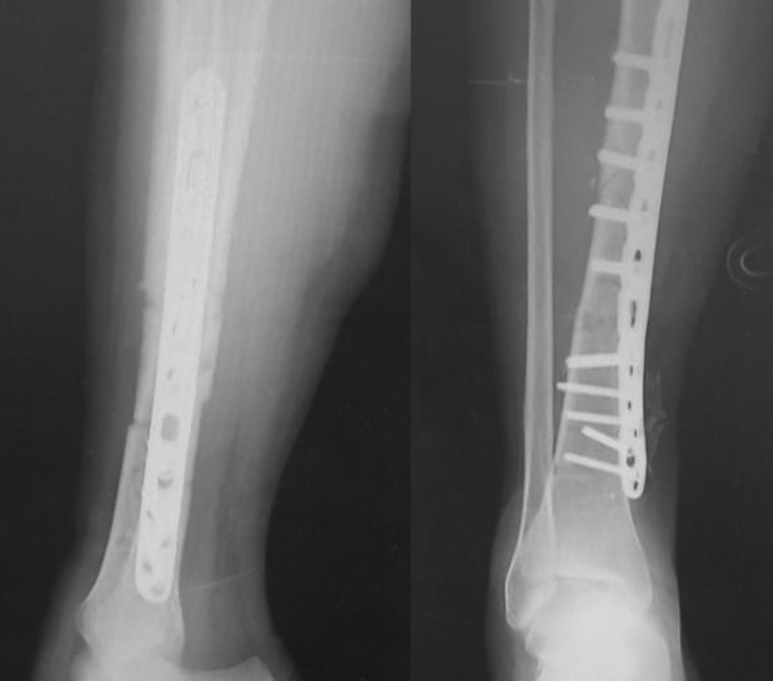
Спасибо. 1 месяц с момента операции. Последние посевы (2) из раны - роста нет. Больше склоняюсь к удалению пластины, БИОС и последующему местному лечению. Возможность VAC - только изготовить самостоятельно из подручных материалов и больничного ваакуума ( представления смутные, сведения из инета противоречивые), покупать - возможно родственники согласятся, но больница государственная, сама может и купит, только на это уйдет столько же времени наверно, сколько и на заживление раны без ваакуума ( так думаю, есть опыт ожидания). Картинка через месяц с момента операции (06.03.20). По поводу разного рода пластик раны было велено делать наводящие швы, что в данных условиях может как мне думается усугубить положение. Пластикой полнослойной не владею и даже если почитать как, разрешения на пластику не получил.
|
[
Ответить ]
|
|
Re: Дефект м.тк. на голени после мос
Leonid Solomin 07 Март 2020, 23:17
|
Приветствую, коллеги!
Не думаю, что это был MIPO. Т.е. кость ободрали (судя по положению
фрагментов) по полной. При присоединившейся инфекции кость помирает
мало, чем на всю длину импланта. Поэтому в данном случае мы бы удалили пластину и радикально избавили кость от нежизнеспособности. Нет возможности привлечь друзей-микрушников, сместили бы фрагменты (acute shortening, translation, rotation, но без угрозы ишемии от
гофрирования сосудов) лишь бы свести края раны. Зафиксировали аппаратом: любым, хоть тубуляром, хоть Илизарова. Через 2-3 недели
постепенно устранили деформацию (лучше гексаподом).
Если приемлемо, есть вопросы по деталям - спрашивайте, опыт есть.
С уважением,
ЛС
|
[
Ответить ]
|
Re: Дефект м.тк. на голени после мос
Отправитель: Сергей 08 Март 2020, 10:30
|
Спасибо!
|
[
Ответить ]
|
|
Re: Дефект м.тк. на голени после мос
MAKSIM AGALAKOV 09 Март 2020, 15:20
|
и все же, можно фото всего сегмента посмотреть?
|
[
Ответить ]
|
Re: Дефект м.тк. на голени после мос
Отправитель: Сергей 09 Март 2020, 20:18
|
завтра на перевязке сфотографирую.
|
[
Ответить ]
|
Re: Дефект м.тк. на голени после мос
Отправитель: Сергей 10 Март 2020, 10:11
|
Сегодня
|
[
Ответить ]
|
|
Re: Дефект м.тк. на голени после мос
MAKSIM AGALAKOV 12 Март 2020, 17:59
|

могут помочь ротационные лоскуты
|
[
Ответить ]
|
( Ответить )
|