вверх
отправить
поиск
админ
главная
|
Ложный сустав обеих костей предплечья, несостоятельность остеосинтеза |
 |
 |
 |
Отправлено Андрей 11 Март 2020, 14:06
Уважаемые коллеги, нужен совет, что делать в следующей ситуации. Пациент оперирован 5 лет назад по поводу закрытого перелома костей левого предплечья (травма в результате падения на руку дерева при валке леса). Выполнен остеосинтез пластинами. Иммобилизация, реабилитация, фтл. После остеосинтеза переломы не срослись. От повторной операции пациент отказался, щадил руку, носил тутор. Пациенту 45 лет, активный, живет в селе, абсолютно социальный, без в/п. Несколько дней назад почувствовал щелчок и умеренную боль в предплечье. По снимку- ложные суставы обеих костей предплечья, разрушение пластины. Нужен совет по тактике дальнейшего лечения.
<
|
>
|
|
Ответить
|
Re: Ложный сустав обеих костей предплечья, несостоятельность остеосинтеза
Alexander Chelnokov 12 Март 2020, 14:11
|
Без снимков можно лишь абстрактно посоветовать сделать реостеосинтез либо пластинами, либо гвоздями с блокированием, либо аппаратом.
|
[
Ответить ]
|
Re: Ложный сустав обеих костей предплечья, несостоятельность остеосинтеза
Андрей 12 Март 2020, 14:13
|
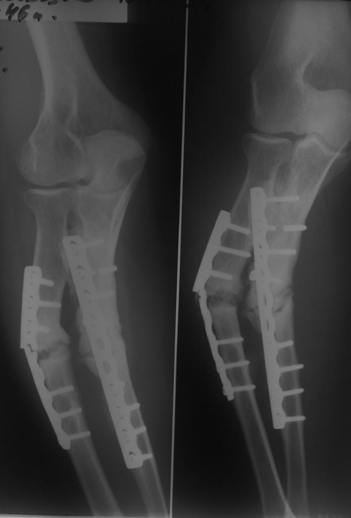
Снимок
|
[
Ответить ]
|
Re: Ложный сустав обеих костей предплечья, несостоятельность остеосинтеза
Иван C. 13 Март 2020, 15:45
|
Думаю, нет необходимости обсуждать экзотику и сложные варианты. Удалить пластины. Реостеосинтез. Пластинами. Локтевую кость можно зафиксировать неблокируемым стержнем прямоугольного сечения (типа Богданова).
У пациента нет формирования атрофических ложных суставов, типичная ситуация - перелом хочет срастись, с кровообращением все нормально, да вот стабильности между отломками нет. Пластины держали сколь смогли.
Пациент сельский, рука постоянно в работе, нагружена, поэтому рано возникла подвижность между отломками 5 лет назад. Он не сможет полностью выполнить ваши рекомендации и сейчас.
Некоторые любят широко отдирать надкостницу под пластину, это ухудшает кровоснабжение зоны перелома после операции и приводит к похожим картинам.
Линии переломов нужно хорошо очистить от м/тканей (можете дополнить костной (ауто) пластикой, хотя, в данном случае, по моему мнению это избыточно) или вообще экономно резецировать линии несращения, верхняя конечность позволяет Вам пойти на укорочение сегмента.
В зависимости от возможностей вашей клиники можно обсудить прочие варианты.
|
[
Ответить ]
|
Re: Ложный сустав обеих костей предплечья, несостоятельность остеосинтеза
Отправитель: Антон Бехтерев 13 Март 2020, 20:16
|
Была иммобилизация, так что вред ли мог нагружать руку.
|
[
Ответить ]
|
|
Re: Ложный сустав обеих костей предплечья, несостоятельность остеосинтеза
Андрей 13 Март 2020, 19:46
|
Тоже думал про ресинтез пластинами, тем более что все равно открывать и удалять все, в качестве трансплантата взять губку из крыла подвздошной кости
|
[
Ответить ]
|
Re: Ложный сустав обеих костей предплечья, несостоятельность остеосинтеза
Отправитель: Антон Бехтерев 13 Март 2020, 20:11
|
Судя по снимкам, костная пластика не требуется. Переломы "хотели срастись". Интересно узнать почему переломы не срослись. Вы анализировали? Есть первоначальные снимки? Возможно, механизм травмы (падение дерева) имел значение: мягкие ткани скомпрометированы. Иначе рискуете наступить на старые грабли.
|
[
Ответить ]
|
Re: Ложный сустав обеих костей предплечья, несостоятельность остеосинтеза
Отправитель: Андрей 14 Март 2020, 14:58
|
Первоначальные снимки найти маловероятно. Что касается мягких тканей: изначально перелом был закрытый, значительных закрытых повреждений мягких тканей не было, пульсация артерий в норме, иннервация сохранена. Вот в послеоперационном периоде в течение нескольких дней был выраженный отек и резкие боли (опиоидные анальгетики несколько дней), к выписке все разрешилось, отек ушел, движения пальцев восстановились.
На данный момент трофических и чувствительных нарушений нет, мышечная сила левой в\конечности сохранена, имеется только выраженная деформация предплечья. Явной патологической подвижности в зоне ложного сустава выявить не смог, но пациент физически очень крепкий, миллиметровое смещение пропальпировать трудно
|
[
Ответить ]
|
|
Re: Ложный сустав обеих костей предплечья, несостоятельность остеосинтеза
MAKSIM AGALAKOV 16 Март 2020, 11:10
|
можно и плоскими титановыми стержнями.
|
[
Ответить ]
|
Re: Ложный сустав обеих костей предплечья, несостоятельность остеосинтеза
Alexander Chelnokov 16 Март 2020, 16:55
|
Здесь возможны все варианты. Если доступны стержни с блокированием или прямоугольного сечения, а также есть ручная развертка для формирования канала в области несращения, то можно было бы минимально инвазивно удалить пластины, не трогая зону стыка. Дальше все можно сделать закрыто. Дистрактором восстановить ось и длину. И заштифтовать.
Вариант с пластинами открыто не очень привлекатен тем, что из хорошо кровоснабжаемых фрагментов, с хорошими параоссальными источниками кровоснабжения, в результате открытой мобилизации получится стык аваскулярных палок.
Так что вторым по привлекательности вариантом IMHO был бы закрытый чрескостный остеосинтез с восстановлением оси и длины. Его можно сделать даже без удаления пластин.
|
[
Ответить ]
|
( Ответить )
|
|