AOTRAUMA.ORG Центр Илизарова  

Ортопедия и травматология Общие вопросы/General questions Help Информационные технологии в медицине
 вверх
 отправить
 поиск
 админ
 главная


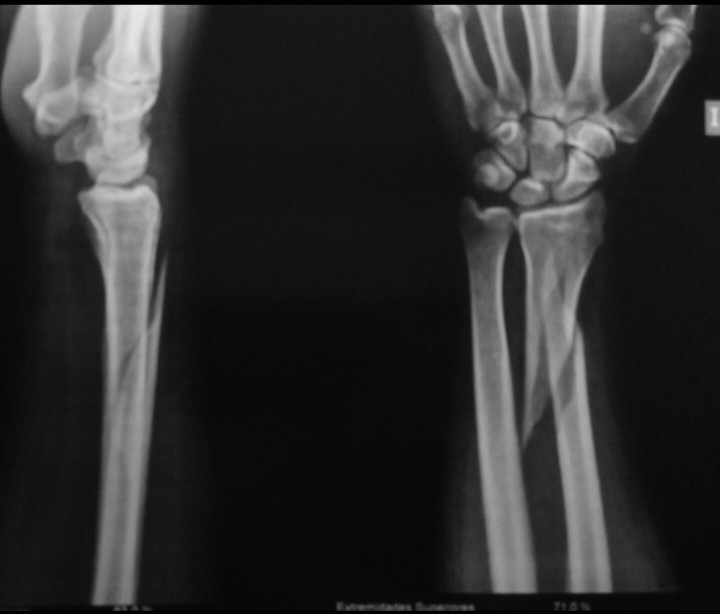
Перелом лучевой кости
Ортопедия и травматология Отправлено Константин 12 Май 2020, 02:17
Уважаемые коллеги, прошу совета по погружному остеосинтезу перелома лучевой кости.

Пациент: здоровый мужчина, слегка повышенного питания.
Вопросы такие: какие конструкции и из какого доступа, вы бы посоветовали? Желательно, несколько вариантов.

<  |  >

 

  • Сообщения о Ортопедия и травматология
  • Также Константин
  • Связаться с автором
  • Ответить

    Re: Перелом лучевой кости
    Савранский Александр 15 Май 2020, 01:29
    пластина прямая узкая или реконструктивная, можно АО, можно блокированную. Желательно проверить стабильность в дистальном радио-ульнарном сочленении.
    доступ лучше по Генри.
    [ Ответить ]

    Re: Перелом лучевой кости
    Anatol 16 Май 2020, 01:42
    Необходимо выполнить рентгенограммы проксимального отдела предплечья. Доступ лучше передний: репозиция, межфрагментарная фиксация двумя винтами, нейтрализующая реконструктивная длинная пластина с угловой стабильностью для дистального отдела лучевой кости. Если тыльный доступ, то также, но прямая пластина с угловой стабильностью, но возможно маловато будет винтов в дистальном отломке.
    [ Ответить ]

    • Re: Перелом лучевой кости
      Отправитель: Никита Череватый 21 Май 2020, 20:44
      Согласен с Вами, но что касается выбора металлоконструкции, я бы предпочёл длинный DVR. Обосновано это тем, что судя по представленным рентгенограммам, дистальный отломок очень небольшой и реконструктивная пластина позволит провести не более 2 винтов, что на мой взгляд недостаточно.

      [ Ответить ]
    Re: Перелом лучевой кости
    Sereda Andrey 20 Май 2020, 00:55
    Добрый день. Изолированный спиральный перелом метадиафиза лучевой кости? Не верю. Не верю, что изолированный.
    [ Ответить ]

    Re: Перелом лучевой кости
    Anatol 27 Май 2020, 22:20
    Добрый день. Хотелось бы узнать результат лечения пациента.
    [ Ответить ]


    ( Ответить )

    Powered by Zope  Squishdot Powered MedLink
    Посетитель: 0390009
      "По форме правильно, а по существу - издевательство" В.И.Ленин
    ©2001-2019Orthoforum Coordinator.
    [ Главная | Отправить сообщение | Поиск | Админ ]