AOTRAUMA.ORG Центр Илизарова  

Ортопедия и травматология Общие вопросы/General questions Help Информационные технологии в медицине
 вверх
 отправить
 поиск
 админ
 главная
 Предыдущее


Re: Требуется помощь ребенку!
Цориев А.Э. 24 Март 2003, 03:14
Согласен с мнением коллеги о необходимости предоставления снимков. Причем, желательно всех выполненных. Включая КТ.


  • Сообщения о Ортопедия и травматология
  • Также Цориев А.Э.
  • Связаться с автором
  • Ответить

    Re: Требуется помощь ребенку!
    Николай Петрович 29 Март 2003, 15:04
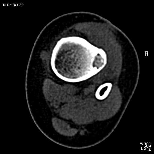
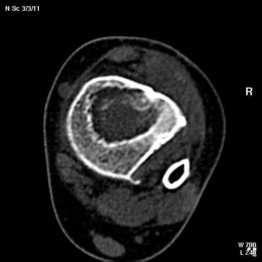
    В обсуждении темы возникла необходимость дополнительных данных.
    Rg в динамике не могу предоставить в связи с техническими проблемами.
    КТ изображения передаю на мой взгляд самые демонстративные. Их любезно записал коллега,
    проводивший исследование в другом городе.
    Прошу прощения за немного некоректную отправку КТ-снимков но по другому не получается :)
    с уважением Николай Петрович.









    4

    5

    6

    7

    7


    [ Ответить ]


    ( Ответить )

    Powered by Zope  Squishdot Powered MedLink
    Посетитель: 0394704
      "По форме правильно, а по существу - издевательство" В.И.Ленин
    ©2001-2019Orthoforum Coordinator.
    [ Главная | Отправить сообщение | Поиск | Админ ]