AOTRAUMA.ORG Центр Илизарова  

Ортопедия и травматология Общие вопросы/General questions Help Информационные технологии в медицине
 вверх
 отправить
 поиск
 админ
 главная


Требуется помощь ребенку!
Ортопедия и травматология Отправлено Николай Петрович 23 Март 2003, 11:56 МУ "Городская больница"
Уважаемые колеги! Девочка 1995г.р. Впервые обратилась с жалобами в феврале 2002 года, когда появились боли в левой голени. В ноябре обратились в связи с усилением болей левой голени. Выполнена повторная рентгенография от 06.11.2002 г. заключение: На нижней трети левой большеберцовой кости наличие кисты с размерами 1x0,5 см., рентгенотомография левой голени от 08.11.2002 г. заключение: остеоидная остеома?
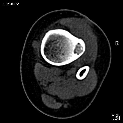
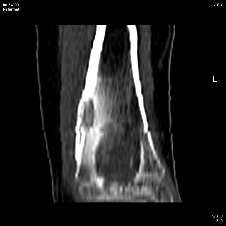
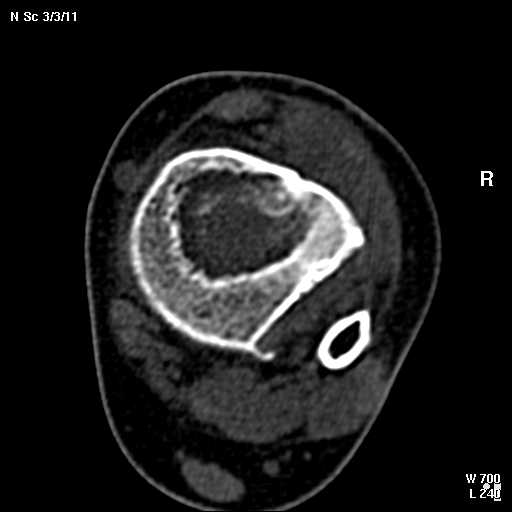
С подозрением на хондрому большеберцовой кости левой голени выполнена компьютерная томография. На серии томограмм получены изображения дистальных отделов левой голени. В дистальном метафизе на уровне нижней трети по латеральному краю определяется кортикальный очаг деструкции размерами 1,3x0,5x0,8 см. На уровне очага деструкции отмечается истончение кортикального слоя, без признаков его разрушения. Кость на уровне очага вздута. Структура окружающих мягких тканей не нарушена, объемных образований не определяется. Крупные нервные стволы и просветы крупных сосудов хорошо дифференцируются. Кожа и подкожно-жировая клетчатка не изменены.Заключение: КТ - признаки кортикального остеолитического очага деструкции в дистальном отделе метафиза левой большеберцовой кости без признаков разрушения кортикального слоя (остеогенная саркома?).19.11.2002 г. осмотрена онкологом, выставлен диагноз: саркома левой большеберцовой кости?Лабораторные исследования: - ОAK от 06.11.2002 г. - L - 11,3х109; эр. - 4,47хЮ12; НЬ - 117 гр./л; Ht - 33,6%; тр. -208x109; СОЭ - 38 мм./час, э-1; п-7; с-55; м-4; л-33.В отделении детской онкологии 11.12.02 выполнена операция: секвестр-некрэктомия н/3 левой большеберцовой кости.Послеоперационный период без осложнений.Проведено лечение. Линкомицин 150 мгхЗ р./д., обезболивание (анальгин, димедрол). Швы сняты 23.12.02, заживление первичным натяжением.Получен результат гистологического исследования: хронический остеомиелит. Данных за онкопроцесс нет.На приеме врача ортопеда поликлиники с жалобами на усиление болевого синдрома 03.01.03. Наложена задняя гипсовая лангета. Назначен противовоспалительная терапия, препараты Са и кальцийтониновые препараты. На фоне проводимого лечения болевой синдром купировался. На серии рентгенограмм (январь-февраль-март) На нижней трети левой большеберцовой кости наличие дополнительного кортикального очага диструкции с размерами 1.5x0,5 см., в динамике отмечается увеличение в размерах.С подозрением на рецидив хронического остеомиелита большеберцовой кости левой голени выполнена компьютерная томография.19/03/2003 На серии томограмм получены изображения дистальных отделов нижней трети левой голени и мягких тканей.В метафизе определяется очаг деструкции с четкими, неровными контурами, неоднородной структуры, за счет костных балок, размерами 1.8x1.8x2,4 см, плотностью 29 ед Н.В дистальном методиафизе. по латеральному краю, определяется кортикальный очаг деструкции, размерами 0,6x0,5x2,0 см, неоднородной структуры, за счет наличия фиброзных и костных балок, кортикальный слой истончен, без признаков разрушения.Структура окружающих мягких тканей не нарушена, объемных образований не определяется. Крупные нервные стволы и просветы крупных сосудов хорошо дифференцируются.Кожа и подкожно-жировая клетчатка не изменены.ЗАКЛЮЧЕНИЕ:КТ-картина состояния после операции. Формирование постоперационной, внутрикостной кисты. КТ-признаки объемного образования нижней трети левой большеберцовой кости, вероятнее всего фиброзная дисплазияРЕКОМЕНДАЦИИ: МРТ левого голеностопного сустава с захватом нижней трети голени.Лабораторные исследования: OAK от 05.03.2003 г. - L v 7.0х109; эр. - 4,74хЮ12; НЬ - 130 гр./л; Ht - 37%; тр. -274x109; СОЭ - 4 мм./час, э-1; п-1; с-53; м-3; л-42.Вопросы: уточнение диагноза? (хр.остеомиелит, обострение? Или все таки онкопроцесс) какие исследования провести? тактика лечения? КТ-снимки во вложении. Заранее благодарен!С уважением, Н.П.Козел.

<  |  >

 

  • Сообщения о Ортопедия и травматология
  • Также Николай Петрович
  • Связаться с автором
  • Ответить

    Re: Требуется помощь ребенку!
    Evgueny Tchekashkine 23 Март 2003, 19:30
    Представленная томограмма напоминает остеомиеэлит метафиза большеберцовой кости с вовлечением в воспалительный процесс дистального эпифиза и зоны роста. Коль скоро после первичной обработки очага наступил рецидив необходима повторная хирургия с кюрретажом полостей и повторной гистологией и посевом материала и при этом попросить гистолога более подробно описать препарат в плане наличия или отсутствия признаков специфического воспаления (туберкулез). Наиболее частым возбудителем гематогенного остеомиеэлита в этой возрастной группе является staphilococcus aureus, но тем не менее посев материала даст более специфическую ориентировку в плане антибактериальной
    терапии.
    Родителей ребенка следует поставить в известность о вовлечении в процесс ростковой зоны , что в дальнейшем может привести к укорочению конечности.

    С наилучшими пожеланиями,

    Евгений Чекашкин
    [ Ответить ]

    Re: Требуется помощь ребенку!
    Александр Артемьев 23 Март 2003, 22:57
    Для начала хотелось бы увидеть нормальные рентгенограммы, если можно- в динамике. И где живет ребенок?

    с уважением Александр Артемьев
    [ Ответить ]

    Re: Требуется помощь ребенку!
    Цориев А.Э. 24 Март 2003, 03:14
    Согласен с мнением коллеги о необходимости предоставления снимков. Причем, желательно всех выполненных. Включая КТ.


    [ Ответить ]

    • Re: Требуется помощь ребенку!
      Отправитель: Николай Петрович 29 Март 2003, 15:04
      В обсуждении темы возникла необходимость дополнительных данных.
      Rg в динамике не могу предоставить в связи с техническими проблемами.
      КТ изображения передаю на мой взгляд самые демонстративные. Их любезно записал коллега,
      проводивший исследование в другом городе.
      Прошу прощения за немного некоректную отправку КТ-снимков но по другому не получается :)
      с уважением Николай Петрович.









      4

      5

      6

      7

      7



      [ Ответить ]
    Re: Требуется помощь ребенку!
    к.м.н.Д.Ю. Борзунов 31 Март 2003, 15:16
    Ознакомлен с выпиской из истории болезни. Дифференциальная диагностика остеогенной саркомы, костной кисты и остеомиелитического процесса, после проведённых в динамике рентгенографий, компьютерной томографии и гистологического исследования не представляет значительной сложности, но требуются первоисточники, т.е. рентгеновские снимки, томограммы и микропрепараты или их цифровые изображения. Рекомендации по оцифровке и пересылке графической информации размещены на нашем сайте: http://www.ilizarov.ru/ раздел ЛЕЧЕНИЕ/ Телемедицина в РНЦ <ВТО>. Либо
    необходима очная консультация с первичными материалами.
    [ Ответить ]


    ( Ответить )

    Powered by Zope  Squishdot Powered MedLink
    Посетитель: 0205934
      "По форме правильно, а по существу - издевательство" В.И.Ленин
    ©2001-2019Orthoforum Coordinator.
    [ Главная | Отправить сообщение | Поиск | Админ ]