AOTRAUMA.ORG Центр Илизарова  

Ортопедия и травматология Общие вопросы/General questions Help Информационные технологии в медицине
 вверх
 отправить
 поиск
 админ
 главная
 Предыдущее


Re: Многооскольчатый перелом плеча
Enes M. Kanlic 25 Сентябрь 2003, 16:28
















Although we can not see exactly the head piece, and assuming that there are not signs of infection, my suggestion would be to do some type of "bridging" procedure : implant fixation in head piece and distal main fragment, and the rest to be left on its soft tissue attachments (living bone graft).
I just did this attached case, using 90 degrees angled blade plate, and this would be my preference in all similar cases.
Two days ago, I had to plate TWO humeral NONUNIONS after intramedullary nailing. Just to remove them from proximal end, significant damage had to be done to the rotator cuff. My belief is (and supported by the most of recent literature) is that the plating is a better option for humeral fractures.
Of course, external fixation could be an option, especially if we are worried about infection - but you do not need any advices in that regard.
Good luck and send us your postoperative images, please. Sincerely,

Enes M. Kanlic, M.D., Ph.D.
Associate Professor
Ortho Department at TTUHSC
El Paso, Texas


  • Сообщения о Ортопедия и травматология
  • Также Enes M. Kanlic
  • Связаться с автором
  • Ответить

    Re: Многооскольчатый перелом плеча
    Alexander Chelnokov 05 Октябрь 2003, 13:41







    1

    2



    EKTE> rest to be left on its soft tissue attachments (living bone graft).
    EKTE> I just did this attached case, using 90 degrees angled blade plate, and
    EKTE> this would be my preference in all similar cases.

    We don't even have so long plates in stock...

    EKTE> Two days ago, I had to plate TWO humeral NONUNIONS after intramedullary
    EKTE> nailing.

    :-)) Yesterday i nailed a humeral nonunion after plating failure. IMHO it takes some special measures to provide nonunion after closed nailing
    of the humerus...

    EKTE> done to the rotator cuff. My belief is (and supported by the most of recent
    EKTE> literature) is that the plating is a better option for humeral fractures.

    We now use plates only for fractures of the humerus with articular involvment.

    EKTE> Of course, external fixation could be an option, especially if we are
    EKTE> worried about infection - but you do not need any advices in that regard.

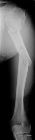
    Well, to date he is still on abduction splint with traction applied to a wire placed through the olecranon. Images attached. The acetabulum
    was ORIFed. The humerus is still discussing...
    [ Ответить ]

    • Re: Многооскольчатый перелом плеча
      Отправитель: James B. Carr 05 Октябрь 2003, 13:48
      The views you now show demonstrate an extra articular fracture with good alignment on the AP, and some displacement on the lateral.
      This should be able to be managed with adjustment of the traction.
      Ilizarov is probably the best fixation if you decide to do so. However, it will heal with nonoperative treatment, with painless, reasonable
      function. Even if it does not heal primarily, the pieces will heal enough to become a single level problem, readily solved with compression
      plating. Jim Carr

      James B. Carr, MD
      Palmetto Health Orthopedics
      5 Medical Park Drive
      2 West

      [ Ответить ]

     

    ( Ответить )

    Powered by Zope  Squishdot Powered MedLink
    Посетитель: 0195348
      "По форме правильно, а по существу - издевательство" В.И.Ленин
    ©2001-2019Orthoforum Coordinator.
    [ Главная | Отправить сообщение | Поиск | Админ ]