AOTRAUMA.ORG Центр Илизарова  

Ортопедия и травматология Общие вопросы/General questions Help Информационные технологии в медицине
 вверх
 отправить
 поиск
 админ
 главная
 Предыдущее
 Весь тред


Re: блок.гвоздь
Алишер Хамраев 08 Март 2004, 13:22
Начну с главного, конечно праздник женский, но благодаря этому прекрасному полу отдыхаем и мы, доставлять им радость согласитесь нам тоже приятно.

AC> А какова его длина? Вообще, какой диапазон диаметров и длин бедренных гвоздей оказался в Вашем распоряжении?
AC> И повторно вопрос про гвозди эти - это все-таки SIGN, разработка доктора L.Zirkle, или какая-то другая модель?

Это действительно SIGN.
Длина (мм)- Диаметр (мм):
190 -9,10,11,12
280,300,320,340,360,380- 8,9

AC>К сожалению, все эти способы "стимуляции" скорее выражают наши устремления и пожелания, чем обладают реальной воспроизводимой положительной эффективностью.

Как тогда можно воздействовать на остеорегенерацию?

AC> Но выпрямить колени он может?

Колено выпрямить он может.
С целью скорейшего поднятия больного на ноги мы и использовали эти гвозди (опираясь на данные литературы), однако некоторые тонкости мы не знали, которые частично прояснились в ходе Ваших советов, спасибо.

AC 1) Мы бы не убирали проволоку, и вообще не вмешивались открыто на очаге - это ничего не даст, кроме ухудшения кровоснабжения концов отломков.

AC>Если просто закрыто перештифтовать при подобной картине, лучше с рассврливанием - это по нашему опыту дает сращение в 100%. В приложении пример - болезненное несращение более года, результат через полгода.

Проволоку убрали с соображений: исключить срангулюцию, освежить концы отломков, удалить интерпозицию (рубцовая ткань), окутать место перелома костной стружкой. Как правило, концы костных отломков склерозированны, перед сшиванием раны, перфорирую участки склероза сверлом d=2-2,5мм (должно быть хорошо заточенное и на малых оборотах), расстояние между отверстиями 5-6мм (стружку не удаляем). Попробовал у 3 больных, образуется прекрасная мозоль теоретически можно обосновать).

AC> 2)запирающие винты выглядят чрезмерно короткими. А им бы тут надо хорошо держаться за оба кортекса.
AC> Это в проксимальном отломке можно ввести было только динамический винт, или вообще винты не вводить.

Конечно с Вами согласен. Это наша 3 операция по счету (только набираемся опытом), и, к сожалению, у нас нет ЭОП, работаем почти вслепую.

С большой признательностью, Алишер.
  • Сообщения о Ортопедия и травматология
  • Также Алишер Хамраев
  • Связаться с автором
  • Ответить

    Re: блок.гвоздь
    Alexander Chelnokov 08 Март 2004, 14:55
    ХА> полу отдыхаем и мы, доставлять им радость согласитесь нам тоже приятно.

    А как же ;-) Еще раз всех дам уже с наступившим прадзником!

    ХА> Это действительно SIGN.
    ХА> Длина (мм)- Диаметр (мм):
    ХА> 190 -9,10,11,12

    Интересно. Это по типу supracondylar nail, для переломов дистального отдела бедра? Такой длины мы индустриальных не получали, пилить приходится, если случай типа такого, с ножкой протеза или еще каким-то имплантатом.

    ХА> 280,300,320,340,360,380- 8,9

    Тонковаты, даже для голени. Мы на бедре перешли на диаметры 10, 11.5, 13 мм.

    ХА> Как тогда можно воздействовать на остеорегенерацию?

    Если говорить не о вообще о фундаментальной проблеме управления регенерацией, а лишь о диафизарных несращениях без дефектов кости и укорочений, с хорошим контактом - достаточно закрытого реостеосинтеза с блокированием. Лучше с рассверливанием - больше для своего рода костной аутопластики стружкой и гематомой. Затем сразу переход к полной функции и хотя бы частичной осевой нагрузке. Гвоздь при наличии торцового упора запирать сразу динамически. Если сращение не наступило через 6-9 мес., есть признаки нестабильности - реостеосинтез следующим по диаметру стержнем. Но это редкость. У нас за 3 года была по этим показаниям только одна такая операция на бедре из примерно 150.

    ХА> Колено выпрямить он может.

    Тогда на костыли.

    ХА> С целью скорейшего поднятия больного на ноги мы и использовали эти гвозди
    ХА> (опираясь на данные литературы),

    Запираемые гвозди - современный "золотой стандарт" в лечении переломов бедра, особенно диафизарных. В условиях повсеместного в xUSSR увлечения пластинами - еще и вариант решения проблемы несращений после пластин.

    ХА> однако некоторые тонкости мы не знали, которые частично

    Давайте прояснять дальше.

    ХА> Проволоку убрали с соображений: исключить срангулюцию, освежить концы
    [...]
    ХА> (стружку не удаляем). Попробовал у 3 больных, образуется прекрасная мозоль
    ХА> (теоретически можно обосновать).

    Соображения выглядят вполне здраво, и теоретически, конечно, можно обосновать практически любые наши действия. Однако практика ("критерий истины") показывает, что и без вмешательства на очаге, и с оставленной проволокой сращение происходит. А если желаемый результат достигается без неких действий - то эти действия лишние, скорее всего. Если можно избежать лишних затрат сил, средств, времени, уменьшить инвазивность - стоит ли этим пренебрегать?
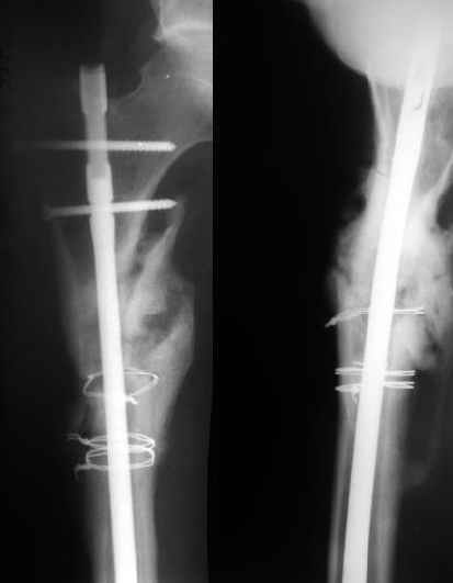
    Еще один пример - несращение через полгода после несостоятельного остеосинтеза, и через полгода после реостеосинтеза с блокированием.






    1

    2


    ХА> Конечно с Вами согласен. Это наша 3 операция по счету (только
    ХА> набираемся опытом), и, к сожалению, у нас нет ЭОП, работаем почти
    ХА> в слепую.

    Попасть в отверстие в стержне было сложнее, чем подобрать винт правильной длины. Может быть, подумать об этом сейчас - тогда про нагрузку можно не беспокоиться.

    [ Ответить ]

    • Re: блок.гвоздь
      Отправитель: Алишер Хамраев 09 Март 2004, 23:27
      AC> Если можно избежать лишних затрат сил, средств, времени, уменьшить инвазивность - стоит ли этим пренебрегать?

      Согласен, попробуем.

      Эти гвозди мы получили без методических пособий по их установке. Если у Вас имеется схема и методика имплантации этих гвоздей, большая просьба выслать.

      [ Ответить ]
      • Re: блок.гвоздь
        Отправитель: Alexander Chelnokov 09 Март 2004, 23:29
        Все, что я нашел, в приложении - там небольшая презентация про остеосинтез большеберцовой кости. Вообще, как у участников проекта, у Вас должен быть доступ к материалам на сайте www.sign-post.org, в частности, к http://www.sign-post.org/manuals-forms.htm, то есть должны быть логин и пароль. Спишитесь с тамошними администраторами, как там указано:
        Please contact us at signcom@sign-post.org to obtain your user name and password.

        Кликните для загрузки файла SIGN.zip
        741KB (759259 bytes)

        [ Ответить ]

     

    ( Ответить )

    Powered by Zope  Squishdot Powered MedLink
    Посетитель: 0396928
      "По форме правильно, а по существу - издевательство" В.И.Ленин
    ©2001-2019Orthoforum Coordinator.
    [ Главная | Отправить сообщение | Поиск | Админ ]