вверх
отправить
поиск
админ
главная
|
Перелом бедра 1 (ваше мнение) |
 |
 |
 |
Отправлено Alexander Arttemiev 17 Сентябрь 2004, 22:20
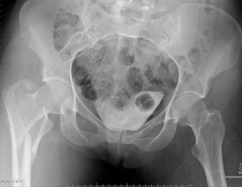
Уважаемые коллеги.Ко мне обратился мой коллега, весьма опытный травматолог, владеющий практически всеми видами остеосинтеза, с просьбой собрать мнения по поводу нескольких клинических случаев - два перелома бедра и перелом плеча.Если можно, подтвердите свое мнение иллюстрациями аналогичных ситуаций, либо ссылками - для клинического разбора. Бедро 1:Женщина 1929 г.р. Травма в результате падения 14.09.04г.Диагноз Закрытый оскольчатый чрезвертельный перелом правой бедренной кости со смещением отломков.Сопутствующие заболевания: ИБС, стенокардия напряжения, постинфарктный кардиосклероз (ИМ в 1992 году); гипертоническая болезнь 2 ст.; ожирение 3. Дополнительные данные - сохранная старушка.Спасибо.С уважением Александр Артемьев
<
|
>
|
|
Ответить
|
Re: Перелом бедра 1 (ваше мнение)
Mike Shnider 17 Сентябрь 2004, 22:43
|
Классический Intertrochanteric fracture - самое простое - это Dinamic Hip Screw and Plate - после этого через днь-два начинаем ходьбу с полной нагрузкой и укрепление мышц-и в течение месяца бабушка вернется к своему огороду :)
|
[
Ответить ]
|
Re: Перелом бедра 1 (ваше мнение)
Alexander Chelnokov 17 Сентябрь 2004, 22:55
|
a> Травма в результате падения 14.09.04г.
[...]
a> Дополнительные данные - сохранная старушка.
Абстрактно выбор тут широк, и определяться для конкретного случая он будет, наверно, доступностью того или другого метода.
Это 4-фрагментный перелом, традиционно-современная фиксация - это динамический бедренный винт, DHS. Либо какой-либо из проксимальных бедренных гвоздей, предназначенных для ранней полной нагрузки, из-за меньшего доступа, других преимуществ перед DHS нет. Если доступен только реконструкционный гвоздь, то винты вводить надо очень точно и аккуратно субхондрально, т.е. максимальной длины, а то прорежутся в головке.
Есть положительный опыт и чрескостного остеосинтеза при подобных повреждениях, но для больного это довольно тягостно, несмотря на
компактность аппарата.
Вот пример наших американских коллег про DHS. Видно, как стелескопировались отломки, хотя поначалу был оставлен диастаз.
|
[
Ответить ]
|
Re: Перелом бедра 1 (ваше мнение)
Michael Berenstein 18 Сентябрь 2004, 08:40
|
Типичный остеопорозный вертельный перелом , не стабильный, 4-х фрагментный, базоцервикальный. Лечение оперативное не позднее 48 часов после перелома, чем раньше тем лучше, если общее состояние позволяет.
Фиксатор или DHS 130 градусов или PFN с короткой ножкой. Если DHS, то шуруп должен находиться в центре шейки и дополнительно еще простой длинный шуруп против ротации в проксимальной части шейки над шурупом DHS. Полную нагрузку на ногу начать через 6 недель.
|
[
Ответить ]
|
Re: Перелом бедра 1 (ваше мнение)
А.В.Владзимирский 20 Сентябрь 2004, 13:44
|
У нас скорее бы всего использовали Г-образную пластину. Если есть возможность - DHS.
Если терпит время, то несколько клин.примеров я могу прислать в середине недели.
|
[
Ответить ]
|
Re: Перелом бедра 1 (ваше мнение)
Николя Прихненко 21 Сентябрь 2004, 16:37
|
Уважаемый коллега
В такой ситуации я бы установил Gamma Nail короткий Мне кажется что это самый простой и быстрый способ решить эту проблему
С уважением
|
[
Ответить ]
|
Re: Перелом бедра 1 (ваше мнение)
Djoldas Kuldjanov, M.D. 22 Сентябрь 2004, 09:51
|
Александр, ваша тактика, больные уже прооперированы? Доступность вашем регионе современных фиксаторов и оснащение вашей операционной?
Совершенно согласен с Mike, если у вас на очереди все представители компаний, предлагающие свои услуги, все методы хороши: пластины и шурупы, Compression Hip screw, Blade Plate, DCS, Intramedullary Nails:
Centromedullary and Cephalomedullary По классификация Seinsheimer
(1978) V- на основе количества фрагментов-нестабильный.
По Russel- Taylor Type II – Piriformis is not intact Type IIB – lesser
troch is not intact перелом с вовлечением двух кортексов и
вертела - нестабильный,
Деформирующие силы: В проксимальной части бедра
FAbER- Флексия, Абдукция, Наружная Ротация.
В Дистальном отделе Аддукторы ведут к Варусному положению.
Деформирующие силы усложняют закрытую репозицию и фиксацию Перед операцией КТ для определения степени вовлечения пириформис фосса.
Большие преимущества у интрамедуллярных штифтов, метод хорош и можно произвести из минимального доступа, но во время операции необходимо контролирование варуса, затем приступить к блокированию.
Для молодых больных выбрал бы тактику fixed angled device 95 degree Blade Plate, техника непрямого метода репозиции, который описал в своей книге Jeff Mast, Planning and Reduction Technique in Fracture Surgery ( method of Inderect Reduction), репозиция и фиксация происходит за счет фиксации головки бедра к femoral shaft с помощью пластины, а что в середине должны репонироваться без больших усилии и без разрушения мягкотканого соединения c медиальной стороны.
Пластина дает свободу:
Valgus-varus; extention- flexion, зависит только от образования канала для blade на головке.
слайды:
Long TFN
Short TFN
IMHS
DePuy Trochanteric Nail
Контролировать варус
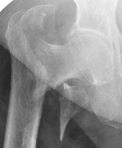
Ap pelvis Rt sub-intra trochanteric Fracture, AP Rt hip, Postop Blade Fixation
Удачи Вам Александр и коллеги.
Джолдас Кульджанов
|
[
Ответить ]
|
( Ответить )
|
|