AOTRAUMA.ORG Центр Илизарова  

Ортопедия и травматология Общие вопросы/General questions Help Информационные технологии в медицине
 вверх
 отправить
 поиск
 админ
 главная
 Предыдущее
 Весь тред


Re: Сращение - что это такое?
J. Odessky MD. 25 Сентябрь 2004, 05:29

Здравствуйте, Александр!
Я решил ответить на английском языке, чтобы коллеги, не знающие русский могли присоединиться к нашей дискуссии.
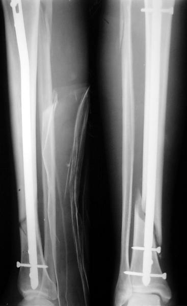
На мой взгляд, на снимках, приведённых Вами - неправильно сростающийся перелом дистальной трети большеберцовой кости, состояние после остеосинтеза интрамедуллярным гвоздём.
Как Вы пишите снимок под номером 1 - менсяц после операции, под номером 2- два месяца после операции.
Вы не послали послеоперационный снимок, поэтому трудно судить о состоянии редукции после операции.
Позвольте по поводу техники операции высказать своё мнение...
Установка с медиальной стороны гвоздя в области дистального фрагмента дополнительного шурупа помогло бы Вам репонировать и удержать перелом в анатомическом положении, предотвратило варусную деформацию и смещение по ширине.
Кстати, если можно пошлите послеоперационный снимок.
На мой взгляд внутрикостная фиксация переломов дистальной и проксимальной трети большеберцовой кости, за исключением поперечных, не очень хорошее решение вопроса, аппарат Илизарова или Тэйлора, позволяющие призвести закрытую анатомическую редукцию и отличное удержание отломков в период сращения.
Пример, приведённый Вами в нашей дискуссии по времени нагрузки после остеосинтеза не совсем удачный... Ваш больной имеет счастье, что первым согнулся проксимальный замыкающий винт, а не дистальный и гвоздь не пенетрировал голеностопный сустав.
С уважением!
Hello, Alexander!
I have decided to answer in English that the colleagues who do not know Russian could join our discussion.
I think that the X-Rays show S/P IMN of Spiral # of the Distal Tibia consoles in misalignment.
You wrote that a picture number 1 - f month after the surgery, and number 2-two months after the surgery.
You have not sent a postoperative X-Rays; so it's impossible to discuss about the condition of a reduction after operation.
Let to express concerning technique of operation my opinion... Insertion of a screw to medial side of a nail in distal fragment would help you to reduction and to keep this fracture in anatomic position has prevented varus deformity and displacement on width. By the way, if it is possible send a postoperative picture.
In my opinion IMN of fracture distal and proximal thirds of the tibia bones, except for transverse, not so good decision of treatment. Ilizarov or Taylor external fixators allow to the closed anatomic reduction and excellent fixation such fractures during the consolidation period.
Your example in our discussion about the timing of loading after an osteosynthesis of fractures not absolutely successful...
Your patient is lucky enough, that by the first was bent proximal locking screw, instead of distal and a nail does not penetrate to the ankle joint.
Yours faithfully!



  • Сообщения о Ортопедия и травматология
  • Также J. Odessky MD.
  • Связаться с автором
  • Ответить

    Re: Сращение - что это такое?
    Alexander Chelnokov 25 Сентябрь 2004, 14:41














    JOM> Я решил ответить на английском языке, чтобы коллеги, не знающие
    JOM> русский могли присоединиться к нашей дискуссии.

    Сомневаюсь, поскольку она изначально была на русском.

    JOM> Вы не послали послеоперационный снимок, поэтому трудно судить о
    JOM> состоянии редукции после операции.

    А зачем о ней судить - речь ведь не об этом. Мы, помнится, обсуждали возможность ранней нагрузки после остеосинтеза.

    JOM> Установка с медиальной стороны гвоздя в области дистального фрагмента
    JOM> дополнительного шурупа помогло бы Вам репонировать и удержать перелом

    Да, конечно. Но сочли, что и достигнутое положение приемлемо. Тем более, для non-compliant и low demanding пациента.
    А если вспомнить лечение аналогичных повреждений функциональными брэйсами (Sarmiento), там рентгенограммы могут быть еще менее привлекательными, однако результаты вполне приемлемы.

    JOM> Кстати, если можно пошлите послеоперационный снимок.

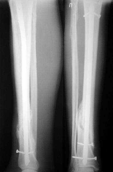
    Ok. А также и следующий, в 3 месяца.

    JOM> не очень хорошее решение вопроса, аппарат Илизарова или Тэйлора,
    JOM> позволяющие призвести закрытую анатомическую редукцию и отличное

    Конечно, чем ближе перелом к суставу, тем больше стрелка нашего "компаса" поворачивает в сторону аппарата. Но все же этот перелом - далеко не самый дистальный, который может быть с успехом вылечен на гвозде. Ну и, как Вы знаете, аппарат у недисциплинированных больных может не только не решить имеющиеся, но и создать новые проблемы.

    JOM> Пример, приведённый Вами в нашей дискуссии по времени нагрузки после
    JOM> остеосинтеза не совсем удачный...

    Это наглядная демонстрация возможности ранней полной нагрузки при нестабильном по оси повреждении, причем не в самых благоприятных механических условиях - при плохом сопоставлении, со слабым фиксатором.

    JOM> Ваш больной имеет счастье, что первым согнулся проксимальный
    JOM> замыкающий винт, а не дистальный и гвоздь не пенетрировал

    Это не счастье, а тонкий инженерный расчет ;-))
    Сверху - один статический винт, а снизу - три. Что раньше сломается? Конечно, он потом и нижние сломал, и Вы правы, если бы верхний динамичесий винт уже уперся бы в нижний край отверстия, будь гвоздь подлинее, перфорировал бы сустав как пить дать.

    Как я уже говорил, мы сделали выводы из этого и других подобных случаев. Очевидно, решений проблемы два - либо уменьшить нагрузку, либо увеличить прочность фиксатора. Первое решение работает не со всеми больными, так что пошли по второму пути - мы больше не используем гвозди с запирающими винтами диаметром 4 мм.
    [ Ответить ]

    • Re: Сращение - что это такое?
      Отправитель: J. Odessky MD. 25 Сентябрь 2004, 15:42
      Уважаемый Александр!
      Вы меня не убедили.
      И давайте оставим Sarmiento, сейчас совсем другие стандарты и возможности.
      Вы пишите:"Это наглядная демонстрация возможности ранней полной нагрузки при нестабильном по оси повреждении, причем не в самых благоприятных механических условиях - при плохом сопоставлении, со слабым фиксатором".

      Это зависит от стандартов лечения, принятых у Вас.
      Покажите, пожалуйста, другие примеры подобных переломов, оперированные с более толстыми запирательными шурупами и дающими полную нагрузку в первый месяц после остеосинтеза.

      Вы пишите:"Ну и, как Вы знаете, аппарат у недисциплинированных больных может не только не решить имеющиеся, но и создать новые проблемы"
      Любой метод лечения перелома у недисциплинированных больных создаёт проблемы.

      С уважением

      [ Ответить ]
      • Re: Сращение - что это такое?
        Отправитель: Alexander Chelnokov 25 Сентябрь 2004, 16:57
        Глубокоуважаемый Яков,

        Saturday, September 25, 2004, 4:05:27 PM, you wrote:

        JOM> Вы меня не убедили.

        Или вот коллега Беренштейн пишет:

        >Чем винты толще и чем плотнее входят в гвоздь тем стабильнее фиксация.
        > Если добавить ещё крепкий гвоздь то можно плясать сразу после операции.

        Тоже не убеждает? В чем именно?

        JOM> И давайте оставим Sarmiento, сейчас совсем другие стандарты и
        JOM> возможности.

        Как оставим??? Лечение по Sarmiento - это вполне "сейчас". Пришлось о нем вспомнить, раз уж упомянули репозицию.

        JOM> Вы пишете:"Это наглядная демонстрация возможности ранней полной
        JOM> нагрузки при нестабильном по оси повреждении, причем не в самых
        JOM> благоприятных механических условиях - при плохом сопоставлении, со

        JOM> Это зависит от стандартов лечения, принятых у Вас.

        От стандартов зависит объем и характер помощи. А способность к нагрузке определяется исключительно самими пациентами: может наступить - наступает, нет - нет. Им нормативные документы до лампочки.

        JOM> Покажите, пожалуйста, другие примеры подобных переломов, оперированные
        JOM> с более толстыми запирательными шурупами и дающими полную нагрузку в

        Что именно показать? Что пациент может стоять на больной ноге к 1 месяцу? При интрамедуллярном остеосинтезе по поводу ложных суставов, когда мышцы давно зажили, это и на 3-5 день наблюдается. В чем именно Вы сомневаетесь? Что гвоздь диаметром 12-13 мм с винтами более 5 мм способен нести полную нагрузку? Или что ходить без хромоты можно только после рентгенологического сращения? Или?..

        JOM> может не только не решить имеющиеся, но и создать новые проблемы"
        JOM> Любой метод лечения перелома у недисциплинированных больных создаёт

        Конечно, идеала нет, но степень приближения к нему у разных методов разная. Больных в аппаратах, сами знате, на весь период фиксации без врачебного контроля оставлять нельзя. И печальных примеров на этот счет каждый врач вспомнит легко.

        [ Ответить ]

     

    ( Ответить )

    Powered by Zope  Squishdot Powered MedLink
    Посетитель: 0211514
      "По форме правильно, а по существу - издевательство" В.И.Ленин
    ©2001-2019Orthoforum Coordinator.
    [ Главная | Отправить сообщение | Поиск | Админ ]