AOTRAUMA.ORG Центр Илизарова  

Ортопедия и травматология Общие вопросы/General questions Help Информационные технологии в медицине
 вверх
 отправить
 поиск
 админ
 главная
 Предыдущее
 Весь тред


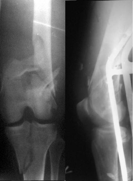
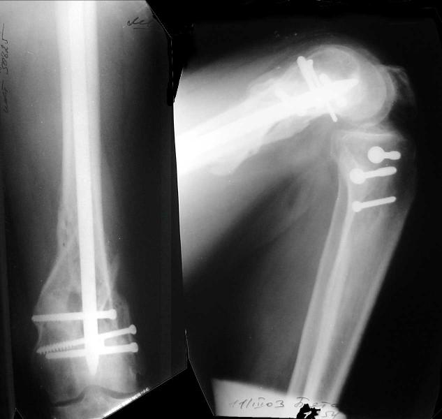
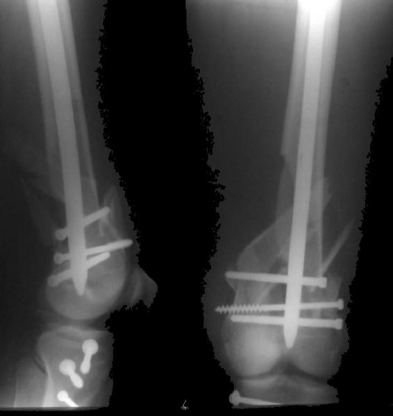
Re: Open supracondylar femur fx
Alexander Chelnokov 31 Октябрь 2004, 20:44

















And why LISS is superior here than nail?
Look what we would have done.

  • Сообщения о Ортопедия и травматология
  • Также Alexander Chelnokov
  • Связаться с автором
  • Ответить

    Re: Open supracondylar femur fx
    Zsolt Balogh 31 Октябрь 2004, 20:46
    I would not say that the LISS is superior to the nail. If I would, I had not post original mail. I wanted to generate discussion. Your option is a very viable one. I feel a little bit shaky the distal femur, but it is just gut feeling no science behind it. Any way nice fixation, congarts!

    Best regards,

    Zsolt
    [ Ответить ]

    • Re: Open supracondylar femur fx
      Отправитель: Alexander Chelnokov 31 Октябрь 2004, 20:55
      ZB> would, I had not post mail original mail. I wanted to generate
      ZB> discussion.

      Hope it will be.

      ZB> Your option is a very viable one. I feel a little bit shaky
      ZB> the distal femur, but it is just gut feeling no science behind it.

      What do you mean?

      ZB> Any way nice fixation, congarts!

      Same to you ;-))
      I presented the series at EuroTrauma in May. The "Distal Femur" section of the meeting was very interesting.

      [ Ответить ]

     

    ( Ответить )

    Powered by Zope  Squishdot Powered MedLink
    Посетитель: 0389676
      "По форме правильно, а по существу - издевательство" В.И.Ленин
    ©2001-2019Orthoforum Coordinator.
    [ Главная | Отправить сообщение | Поиск | Админ ]