AOTRAUMA.ORG Центр Илизарова  

Ортопедия и травматология Общие вопросы/General questions Help Информационные технологии в медицине
 вверх
 отправить
 поиск
 админ
 главная


любопытная находка
Ортопедия и травматология Отправлено Александр Е. Клоков 05 Декабрь 2004, 20:05 БСМП г. Мурманск
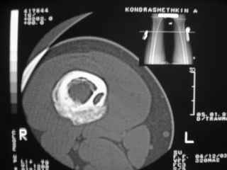
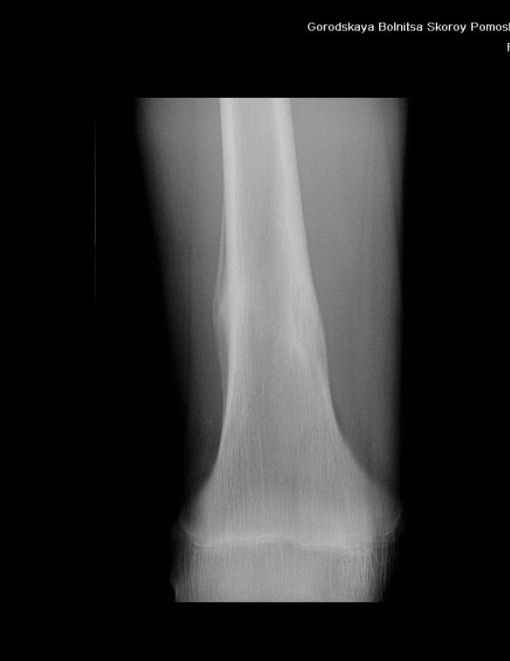
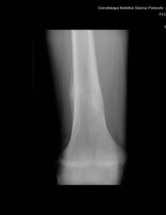
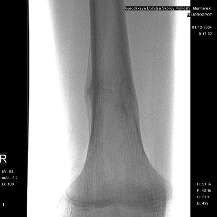
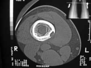
Здравствуйте, уважаемые коллеги!Представляю вашему вниманию интересный случай и пока что непонятный для меня в диагностическом плане. На днях в наше отделение (детской ортопедии и травматологии) поступил 13-летний мальчик по направлению из поликлиники с диагнозом: остеома нижней трети правого бедра.
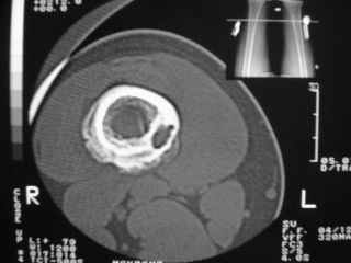
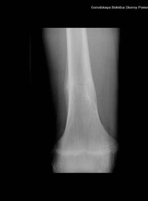
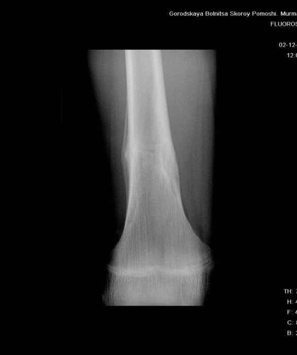
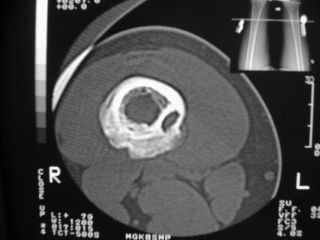
Анамнез практически никакой: в следствие травмы (растяжение связок коленного сустава) от 07.11.2004 выполнены Rg-граммы в травмпункте и обнаружено опухолевидное образование. Первичные Rg-граммы я не публикую, так как они заметно худшего качества, да и динамики за прошедшие три недели не отражают. Болевой синдром купирован в течение трёх дней. В настоящий момент мальчика ничего не беспокоит. Ходьба не нарушена, опухоль пальпируется с трудом по задней поверхности в н\3 правого бедра, пальпация безболезненна, объем движений в суставах правой нижней конечности полный и симметричный. Кожа над опухолью не изменена.В нашей клинике проведено дополнительное обследование: общие анализы крови и мочи, биохимия крови без особенностей. Выполнены Rg-граммы на цифровом Siemens обычные и продольные томограммы срезами 3-5 мм, а также компьютерная томография поперечными срезами по 5 мм. Прошу обратить внимание, что на приведённых томограммах видны две полости 10х15 мм и 15х60 мм. Также имеются два опухолевидных образований наслаивающихся друг на друга: уплощённое и вытянутое 10х100 мм и элипсовидной формы 15х30 мм. Это хорошо заметно на фото a_1.jpg c_1.jpg и d_1.jpg. Плотность внутри полостей 125% от плотности костномозгового канала, плотность наружного опухолевидного образования 55% от плотности кортикального слоя. Также отмечается линия перелома по центру наружного опухолевидного образования.Исходя из полученных данных мнения в плане диагноза несколько разделились от 1)сочетания кортикальной фиброзной дисплазии и латентно протекавшего маршевого перелома н\3 правого бедра до 2)остеосаркомы. В отношении первого варианта не сходится отсутствие клиники при переломе такой крупной кости как бедро, второй вариант вообще оставлю без комментария, ибо некомпетентен. Хотелось бы услышать мнения коллег, с удовольствием ознакомлюсь с любыми предположениями и замечаниями.С уважением, Александр Е. КлоковОтделение детской ортопедии и травматологииБСМП г. Мурманска.

<  |  >

 

  • Сообщения о Ортопедия и травматология
  • Также Александр Е. Клоков
  • Связаться с автором
  • Ответить

    Re: любопытная находка
    Виктор П. Волошин 07 Декабрь 2004, 00:39
    Не хотелось бы накаркать, Александр, но у девочки 17 лет при аналогичной РТГ-картине в нижней трети большеберцовой кости, которую мы трактовали как атипичный остеомиелит б/б кости и "санировали" хирургическим путем в конце концов оказалось зло. Не помню точно, как гистологи обозвали, похоже на "центральная остеосаркома". Стоит посмотреть еще раз через небольшой промежуток времени за динамикой.
    ВВП, МОНИКИ

    [ Ответить ]

    • Re: любопытная находка
      Отправитель: Mike Shnider 07 Декабрь 2004, 01:42
      Уважаемый коллега - вы сами себе противоречите - с одной стороны упоминаете самый страшный диагноз - а с другой - предлагаете последить за динамикой? Пока не доказано обратное-для меня это Sa. Биопсия - после изотопного исследования.

      [ Ответить ]
    Re: любопытная находка
    Mike Shnider 07 Декабрь 2004, 13:25
    Господа-Дифдиагноз- 1.Остеосаркома 2.Хр.остеомиелит.3.Callus-менее вероятно

    Действия- изотопное исследование и биопсия.

    [ Ответить ]

    • Re: любопытная находка
      Отправитель: Пулатов Андрей 07 Декабрь 2004, 18:29
      Думаю, что в этом случае можно думать и об остеоид-остеоме - достаточно чёткие края, более диафизарная локализация, наличие так называемого "гнезда" опухоли, и секвестра, а также отсутствие игольчатого периостита, козырька Кодмана, пятнистостого остеопороза, прорастания в костномозговой канал т.е. признаков остеогенной саркомы.
      Выжидательная тактика неуместна, тактика определятся результатами гистологического исследования





      [ Ответить ]
    Re: любопытная находка
    Виктор П. Волошин 07 Декабрь 2004, 23:12
    Уважаемые коллеги, Вы абсолютно правы. Прошу извинить за очень неудачную формулировку желания узнать, чем дело закончится. Гистологам виднее, но, к сожалению, не всегда. Препараты упомянутой девочки консультировали и в "Герцена" и на Каширке. А диагноз определился при расширенной резекции, которую пришлось сделать после нежданного рецидива. Поэтому я и написал "в конце концов".
    ВВП, МОНИКИ

    [ Ответить ]

    Re: любопытная находка
    Castro 09 Декабрь 2004, 23:48
    Biopsio nado delat', ito ni mesto, gde mozno budet dogadivatsa s chem mi imeem dela!
    Sposibo!
    [ Ответить ]

    Re: любопытная находка
    Alexander E. Klokov 25 Декабрь 2004, 15:45
    Здравствуйте, коллеги.

    В минувший четверг взяли ребёнка на биопсию, заодно подготовили набор для удоления опухоли.
    Визуально нормальная структура кости была изменена на протяжении около 8 см и циркулярно ближе к центру. Мягкие окружающие ткани оказались не вовлечёнными в процесс, что подтвердила экспресс гистологическое исследование. Взяли также два материала (на всю толщину, диаметром 7 мм) из изменённой кости на исследование. Ответ обещают не ранее чем через 10 дней.
    Структура области опухолевидного образования больше всего напоминала перестройку характерную для костной мозоли, никаких визуально инородных структур не выявлено.
    Так что предварительно, данных за злокачественность не выявлено, ждём ответа из гистологической лаборатории, о котором обязательно сообщу.

    Спасибо за внимание.
    Александр Е. Клоков,
    детский ортопед,
    БСМП г. Мурманска
    [ Ответить ]

    Re: любопытная находка
    Александр Е. Клоков 13 Январь 2005, 00:54
    Здравствуйте, уважаемые коллеги!

    С облегчением спешу сообщить, что гистологический анализ подтвердил сложившееся интраоперационно мнение, что мы имеем дело с посттравматической перестройкой костной ткани (костной мозолью). Плюс к этому фиброзные кортикальные дефекты. В обшем, зла нет и слава Богу.
    Единственное, что до сих пор удивляет, как это перелом столь крупной кости прошёл бессимптомно...


    --
    С уважением,
    Alexander
    [ Ответить ]


    ( Ответить )

    Powered by Zope  Squishdot Powered MedLink
    Посетитель: 0000168
      "По форме правильно, а по существу - издевательство" В.И.Ленин
    ©2001-2019Orthoforum Coordinator.
    [ Главная | Отправить сообщение | Поиск | Админ ]