AOTRAUMA.ORG Центр Илизарова  

Ортопедия и травматология Общие вопросы/General questions Help Информационные технологии в медицине
 вверх
 отправить
 поиск
 админ
 главная
 Предыдущее


Re: Потекли блокирующие винты, после интрамедулярн
Alexander Chelnokov 17 Январь 2005, 12:28
В> интрамедулярный остеосинтез фиксатором Сhm,

Канальным или сплошным?

В> через три месяца после операции в области блокирующих винтов
В> появилась гиперемия, припухлость, боли.Пункция- "мутная" гематома.

Винтов каких - вверху, внизу? Сколько там винтов? Снимков нет.

В> Гематома роскрыта, перевязки на протяжении 3-х недель - рана не
В> закрывается. Что делать?

В первую очередь искать нестабильность.

В> Если убрать винты - какой риск возникновения тотального
В> остеомиелита при попадании инфекции в и/м - канал?

Попадание уже есть, распространения надо опасаться а оно при нестабильности более вероятно. Так что первым дело лучше бы стабилизировать фиксатор - ввести запирающие винты во все отверстия, и блокрующие мимо гвоздя, если этого мало. Тогда больше шансов на отграничениек процесса. Без снимков не сориентироваться. Если нет подозрения на инфицирование зоны перелома, то желательно продержаться до сращения.
  • Сообщения о Help
  • Также Alexander Chelnokov
  • Связаться с автором
  • Ответить

    Re: Потекли блокирующие винты, после интрамедулярн
    Валентин 18 Январь 2005, 01:29
    Уважаемый Александр!
    Спасибо за ответ!
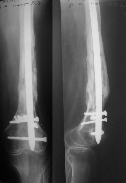
    Потекли дистальные винты!
    В дистальном отломке три винта( два медио-латеральных и один вентро-дорзальный).
    Медио-латеральные вынты - мимо блокирующих отверстий фиксатора, вентро -
    дорзальный винт - в отверстии.
    Проблемы с верхним дистальным медио - латеральным винтом - он в линии перелома (
    перелом косой).
    О нестабильности говорить тяжело, поскольку фиксатор очень плотно введен в и/м -
    канал.
    Я планирую убрать блокирующие винты, сделать посев на а/б-чуств., поставить
    промывную систему.



    [ Ответить ]

    • Re: Потекли блокирующие винты, после интрамедулярн
      Отправитель: Alexander Chelnokov 18 Январь 2005, 18:27
      Приветствую, Валентин,

      Tuesday, January 18, 2005, 8:34:56 AM, you wrote:

      В> Медио-латеральные вынты - мимо блокирующих отверстий фиксатора, вентро -
      В> дорзальный винт - в отверстии.

      То есть в дистальном отломке всего один запирающий винт. Маловато.

      В> Проблемы с верхним дистальным медио-латеральным винтом - он в
      В> линии перелома (перелом косой).

      Делали без усилителя рентгеновского изображения?
      Тогда итоговый снимок делать обязательно надо еще на столе, а то больного когда вывезли, вроде и надо бы вернуться и подправить - а уже стол занят, и следующему больному анестезию сделали...

      В> О нестабильности говорить тяжело, поскольку фиксатор очень плотно
      В> введен в и/м канал.

      Если в проксимальный отломок стержень сел туго, это не мешает дистальному (широкому и короткому, раз дистальное отверстие уже на уровне перелома) быть нестабильным, особенно если он фиксирован лишь одним винтом.

      В> Я планирую убрать блокирующие винты, сделать посев на а/б-чуств.,
      В> поставить промывную систему.

      На месте виднее, конечно, но если у передне-заднего винта спокойно, зачем его трогать? Соответственно, еще дистальнее - если там тихо, чего винт не провести? В общем, важнейшая задача сейчас - максимально стабилизировать отломки. Решать ее можно по-разному - переввести винты в отверстия, добавить poller-винты... Или, как Д. Кульджанов советует, использовать внешнюю иммобилизацию. Можно и наложить аппарат. Посев сделать - никогда не вредно, однако уповать на системную антибиотикотерапию при таком локальном процессе сильно не стоит.
      Система орошения - гораздо эффективнее, не очень, правда, себе представляю, как ее здесь установить.

      В 2002 г. была у нас больная с ложным суставом бедра и остеомиелитом (как оказалось), после удаления пластины. Гвоздь с блокированием.
      Потекло через месяц - открылось 2 свища по старому рубцу от давно удаленной пластины. На фоне гноя раза три завинчивал обратно винты, которые вылезали латерально, прямо через свищ. Потом таки провел дополнительно винты мимо гвоздя, и убрал вверху статический винт. Острый гнойный процесс стих, свищи мыла она дома дважды в день водным хлоргексидином, ходила с возрастающей нагрузкой, а к 10 мес. и свищи закрылись, и срослось. Итоговые снимки от 18 апреля 2003 г. прилагаю.














      [ Ответить ]
      • Re: Потекли блокирующие винты, после интрамедулярн
        Отправитель: Пионтковский Валентин 19 Январь 2005, 02:28
        Здравствуйте Александр!
        Спасобо за прекрасные советы и примеры!
        Попробую убрать проблемный винт и воспользоваться скотч - кастовым гипсом. А уже после заживления раны буду определятся со стабилизацией фиксатора.
        При первой же возможности вышлю снимки.
        Еще раз огромное спасибо!!!!!!!!!

        [ Ответить ]
        • Re: Потекли блокирующие винты, после интрамедулярн
          Отправитель: Alexander Chelnokov 19 Январь 2005, 17:28
          ПВ> убрать проблемный винт и воспользоваться скотч - кастовым гипсом.

          В подобной ситуации, по-моему, скотч-каст никаких особых преимуществ перед обычным гипсом не имеет.

          ПВ> А уже после заживления раны буду определятся со стабилизацией
          ПВ> фиксатора

          Если заживет - это, может, уже и не так нужно будет. Я бы исходил из того, что стабилизация - основное условие заживления.

          [ Ответить ]
          • Re: Потекли блокирующие винты, после интрамедулярн
            Отправитель: Пионтковский Валентин 20 Январь 2005, 02:21
            Рентгенограмы



















            [ Ответить ]
            • Re: Потекли блокирующие винты, после интрамедулярн
              Отправитель: Alexander Chelnokov 20 Январь 2005, 06:43
              Этот Файл размером 0 Kb, попробуйте перепослать.
              По поводу остальных - вспышкой пользоваться при съемке с негатоскопа не нужно.

              [ Ответить ]
              • Re: Потекли блокирующие винты, после интрамедулярн
                Отправитель: Пионтковский Валентин 21 Январь 2005, 02:20
                Не удается отправить первичные снимки. А что скажите по имеющимся?!

                [ Ответить ]
                • Re: Потекли блокирующие винты, после интрамедулярн
                  Отправитель: А. Миронов 21 Январь 2005, 20:49
                  Уважаемый Валентин!

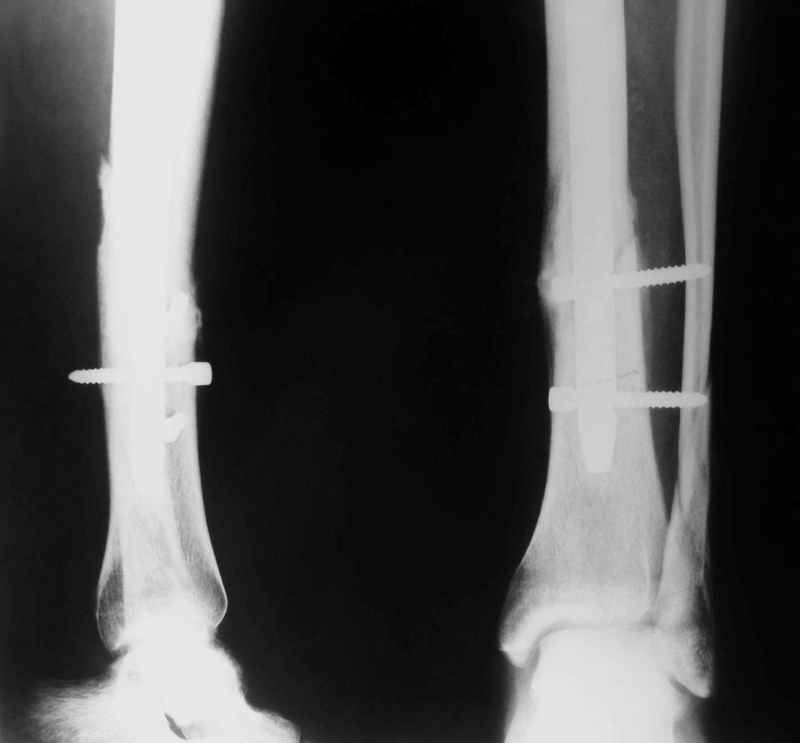
                  Выполненный остосинтез нестабилен. Штифт надо заменить по "размеру" на солидный, дистльно три запирающих винта. Успехов!

                  С уважением А.Миронов

                  [ Ответить ]
                • Re: Потекли блокирующие винты, после интрамедулярн
                  Отправитель: Alexander Chelnokov 21 Январь 2005, 21:31
                  Перелом спиральный, то есть низкоэнергетический, так что со сращением дело обстоит уже неплохо, лишь бы "костоеда" не развилась. Отломки выглядят уже стабилизированными костной мозолью, так что довводить винты, наверно, уже незачем. Разве что при клинической оценке подвижность еще есть - тогда можно для стабилизации наложить простейший аппарат, не опасаясь контакта его элементов с гвоздем, поскольку места в дистальном метафизе оставлено более чем достаточно.

                  [ Ответить ]
                  • Re: Потекли блокирующие винты, после интрамедулярн
                    Отправитель: Djoldas Kuldjanov, M.D. 21 Январь 2005, 23:48
                    С Александром согласен, нет необходимости делать дополнительные усилия для сращения, не большая компрессия аппаратом из двух колец и полная нагрузка доделает работу.

                    Джолдас Кульджанов


                    [ Ответить ]
                    • Re: Потекли блокирующие винты, после интрамедулярн
                      Отправитель: А.Миронов 23 Январь 2005, 11:48
                      Потекли блокирующие винты.
                      Удалять их всё равно придётся.
                      Уже имеется какое-то сращение. А в этих условиях выполнить реостеосинтез гвоздём не дольше, чем "накинуть" аппарат из двух колец. Ходить можно сразу с полной нагрузкой, да и качество жизни пациента без аппарата лучше.

                      С уважением А. Миронов

                      [ Ответить ]
    Re: Потекли блокирующие винты, после интрамедулярн
    Валентин 18 Январь 2005, 01:31
    Фиксатор канюлированый.



    [ Ответить ]


    ( Ответить )

    Powered by Zope  Squishdot Powered MedLink
    Посетитель: 0180149
      "По форме правильно, а по существу - издевательство" В.И.Ленин
    ©2001-2019Orthoforum Coordinator.
    [ Главная | Отправить сообщение | Поиск | Админ ]