AOTRAUMA.ORG Центр Илизарова  

Ортопедия и травматология Общие вопросы/General questions Help Информационные технологии в медицине
 вверх
 отправить
 поиск
 админ
 главная
 Предыдущее
 Весь тред


Re: дистальный тиб.фиб. перелом
Leonid N. Solomin 26 Март 2005, 02:10
Уважаемый А.В.Владзимирский:
> Интересно было бы услышать подробнее насчет двух колец. Может быть есть примеры? Спасибо!









Под рукой прилагаемый пример. Как видите, "стриптиз-аппарат" (шутка проф. З.К.Башурова): 3 кольца-2 кольца-2 полукольца. В случае, который представил Евгений, характер повреждения позволил бы сразу использовать аппарат на основе 2 колец; в крайнем случае прокс. опора м.б. демонтирована сразу после репозиции.
Подробная информация о методе Модульной Трансформации чрескостных аппаратов представлена в проаннонсированной недавно РосНИИТО монографии по чрескостному остеосинтезу; надеюсь выйдет в свет в апреле (не реклама :-) ).

Всего наилучшего,
Л.Соломин
  • Сообщения о Ортопедия и травматология
  • Также Leonid N. Solomin
  • Связаться с автором
  • Ответить

    Re: дистальный тиб.фиб. перелом
    Alexey Mozgounov 30 Март 2005, 00:42
    Dear Леонид Николаевич,

    LNS> Подробная информация о методе Модульной Трансформации чрескостных аппаратов
    LNS> представлена в проаннонсированной недавно РосНИИТО монографии по
    LNS> чрескостному остеосинтезу; надеюсь выйдет в свет в апреле (не реклама :-) ).

    А можно ли как-то заказать через Инет?

    А пока несколько вопросов...
    А в чем практическое преимущество
    LNS> Модульной Трансформации чрескостных аппаратов
    ?

    1) Снижение веса аппарата? - Но не такие уж они тяжелые...
    2) Эстетика? - Но больному не до эстетики, а чтобы держало хорошо и
    срасталось надежно...
    3) Удобство при ношении одежды? - Но с точки зрения брюк. что два
    полукольца. что два кольца... кольца даже удобнее... а с точки зрения
    юбки...
    4) Устранение риска спице-стержневого остеомиелита в проксим.
    метафизе? - вот это вполне возможно... но такие осложнения встречаются
    крайне редко... причем как правило на фоне личной неаккуратности
    больных... а при этом условии данное осложнение может быть где
    удобно...
    5) Профилактика контрактур в суставах? - Но и при циркулярном аппарате
    можно спицы провести так (в проксим. опоре), чтобы мышцы особо не
    прошивались... а для голеностопа... что полукольцо, что кольцо - они
    одинаково мешают (или не мешают) тыльной флексии...
    6) Какое-то влияние на процесс консолидации - ???

    Тогда в чем? Не в шаманстве же etc.?

    LNS> Под рукой прилагаемый пример. Как видите,

    Исходя из него главное преимущество "двух полуколец" - это полный объем сгибания в
    коленном суставе, но...
    незначительно он отличается от варианта "два кольца"...
    и есть ли практический смысл достигать на фоне ношения аппарата такого
    объема движений?

    LNS> В случае, который представил
    LNS> Евгений, характер повреждения позволил бы сразу использовать аппарат на
    LNS> основе 2 колец;

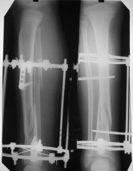
    В аттачтах №№ 1 и 2 - примеры, когда 2 кольца не позволили послеоперационно
    исправить смещение фрагментов большеберцовой (по ширине и вальгусное).
    А казалось бы (#2) - поиграй на штангах и все влетит.
    Оперировал не я
    :-)




















    1


    1a


    2


    3a


    3b


    3c


    PS.
    В аттачте № 3 - один из примеров полукольцевого аппарат...
    Это уже я баловался.
    Итог? Работы больше (по времени и
    интраоп "подгонке"), срастается также, а особого преимущества по сравнению с
    "чиста" кольцевым (вес, удобство ношения и пр.) - я, по крайней мере,
    не нашел.
    Теперь не балуюсь.
    Может быть зря?
    ;-)

    --
    Best regards,

    ~~~~~~~~~~~~~~~~~~~~~~~~~~~~~~~~~~~~~~~~~~~~~~
    Aleksey V. Mozgounov, M.D., Ph.D.,
    Department of Pediatric and Adolescents
    Traumatology and Orthopaedics,
    Research Centre of Tatarstan
    "Rehabiltation Traumatology and Orthopaedics",
    3, Gorky str., Kazan 420015, Russia
    ~~~~~~~~~~~~~~~~~~~~~~~~~~~~~~~~~~~~~~~~~~~~~~

    [ Ответить ]

    • Re: дистальный тиб.фиб. перелом
      Отправитель: Leonid N. Solomin 30 Март 2005, 20:15
      Уважаемый Aleksey V. Mozgounov!
      ...представлена в проаннонсированной недавно РосНИИТО монографии по
      чрескостному остеосинтезу.
      > А можно ли как-то заказать через Инет?


      Считайте, что уже заказали.

      > А в чем практическое преимущество Модульной Трансформации чрескостных
      аппаратов


      Под <Модульной трансформацией> (МТ) чрескостного аппарата принимается
      возможность, в соответствии с несущей способностью костного регенерата:
      - постепенно уменьшать количество чрескостных элементов;
      - сокращать количество опор без необходимости дополнительного проведения
      чрескостных элементов;
      - изменять геометрию внешних опор аппарата путем демонтажа части этой опоры.
      Использование МТ призвано оптимизировать условия для заживления костной раны
      (<воспитание регенерата> по терминологии Г.А. Илизарова; это один из
      вариантов "динамизации" аппарата), уменьшить опасность возникновения
      трансфиксационных контрактур и инфекционных осложнений, повысить
      комфортность лечения для больного за счет снижения громоздкости конструкции.

      Оговоримся сразу: использовнаие аппаратов, в которых заложена возможность МТ, рассматривается, как метод выбора. Пэтому, если (кроме указанного выше) для врача и пациента
      "(аппараты) не такие уж они тяжелые; больному не до эстетики, а чтобы держало хорошо и срасталось надежно...; удобство при ношении одежды? - Но с точки зрения брюк. что два полукольца. что два кольца; устранение риска спице-стержневого остеомиелита в проксим.метафизе? - вот это вполне возможно... но такие осложнения встречаются крайне редко; профилактика контрактур в суставах? для голеностопа... что полукольцо, что кольцо - они одинаково мешают (или не мешают) тыльной флексии...",
      то применять МТ категорически не следует.

      > 1 и 2 - примеры, когда 2 кольца не позволили послеоперационно исправить
      смещение фрагментов большеберцовой (по ширине и вальгусное).

      Использование аппарата на основе 2-х опор "во-что-бы-то-нистало" никогда не приведет к успеху, в этом я с Вами согласен. Это выхватывание отдельных фрагментов из технологии, порочащие ее.

      > Теперь не балуюсь. Может быть зря?
      МТ мы используем, конечно, не только на голени. В прилагаемом примере у парня при поступлении была наружная ротация 40 гр. и "полумертвый" коленный сустав. Можно был бы, конечно, до конца использовать полную компоновку. Но для того он и есть метод выбора.









      Всего наилучшего,
      Л.Соломин


      [ Ответить ]

     

    ( Ответить )

    Powered by Zope  Squishdot Powered MedLink
    Посетитель: 0055833
      "По форме правильно, а по существу - издевательство" В.И.Ленин
    ©2001-2019Orthoforum Coordinator.
    [ Главная | Отправить сообщение | Поиск | Админ ]