AOTRAUMA.ORG Центр Илизарова  

Ортопедия и травматология Общие вопросы/General questions Help Информационные технологии в медицине
 вверх
 отправить
 поиск
 админ
 главная
 Предыдущее


Re: дистальный тиб.фиб. перелом
Anton Vladzymyrskyy 26 Март 2005, 01:42
Внешняя фиксация спицевым АВФ. Можно с фиксацией пятки или три спицы в дистальном кольце.
По-моему вполне подходящий случай.

С уважением,
А.В.Владзимирский
  • Сообщения о Ортопедия и травматология
  • Также Anton Vladzymyrskyy
  • Связаться с автором
  • Ответить

    Re: дистальный тиб.фиб. перелом
    Leonid N. Solomin 26 Март 2005, 02:03
    Если Евгений говорит о чрескостном остеосинтезе (и я бы предпочел), то можно обсудить компоновку аппарата на основе двух опор без фиксации стопы.

    С уважением,
    Л.Соломин
    [ Ответить ]

    • Re: дистальный тиб.фиб. перелом
      Отправитель: Anton Vladzymyrskyy 26 Март 2005, 02:04
      Стопу можно не фиксировать. Насчет двух опор опыта нет :(
      А три вполне нормально пойдут в данном случае.
      Интересно было бы услышать подробнее насчет двух колец.
      Может быть есть примеры? Спасибо!

      С уважением,
      А.В.Владзимирский

      [ Ответить ]
      • Re: дистальный тиб.фиб. перелом
        Отправитель: Leonid N. Solomin 26 Март 2005, 02:10
        Уважаемый А.В.Владзимирский:
        > Интересно было бы услышать подробнее насчет двух колец. Может быть есть примеры? Спасибо!









        Под рукой прилагаемый пример. Как видите, "стриптиз-аппарат" (шутка проф. З.К.Башурова): 3 кольца-2 кольца-2 полукольца. В случае, который представил Евгений, характер повреждения позволил бы сразу использовать аппарат на основе 2 колец; в крайнем случае прокс. опора м.б. демонтирована сразу после репозиции.
        Подробная информация о методе Модульной Трансформации чрескостных аппаратов представлена в проаннонсированной недавно РосНИИТО монографии по чрескостному остеосинтезу; надеюсь выйдет в свет в апреле (не реклама :-) ).

        Всего наилучшего,
        Л.Соломин

        [ Ответить ]
        • Re: дистальный тиб.фиб. перелом
          Отправитель: Alexey Mozgounov 30 Март 2005, 00:42
          Dear Леонид Николаевич,

          LNS> Подробная информация о методе Модульной Трансформации чрескостных аппаратов
          LNS> представлена в проаннонсированной недавно РосНИИТО монографии по
          LNS> чрескостному остеосинтезу; надеюсь выйдет в свет в апреле (не реклама :-) ).

          А можно ли как-то заказать через Инет?

          А пока несколько вопросов...
          А в чем практическое преимущество
          LNS> Модульной Трансформации чрескостных аппаратов
          ?

          1) Снижение веса аппарата? - Но не такие уж они тяжелые...
          2) Эстетика? - Но больному не до эстетики, а чтобы держало хорошо и
          срасталось надежно...
          3) Удобство при ношении одежды? - Но с точки зрения брюк. что два
          полукольца. что два кольца... кольца даже удобнее... а с точки зрения
          юбки...
          4) Устранение риска спице-стержневого остеомиелита в проксим.
          метафизе? - вот это вполне возможно... но такие осложнения встречаются
          крайне редко... причем как правило на фоне личной неаккуратности
          больных... а при этом условии данное осложнение может быть где
          удобно...
          5) Профилактика контрактур в суставах? - Но и при циркулярном аппарате
          можно спицы провести так (в проксим. опоре), чтобы мышцы особо не
          прошивались... а для голеностопа... что полукольцо, что кольцо - они
          одинаково мешают (или не мешают) тыльной флексии...
          6) Какое-то влияние на процесс консолидации - ???

          Тогда в чем? Не в шаманстве же etc.?

          LNS> Под рукой прилагаемый пример. Как видите,

          Исходя из него главное преимущество "двух полуколец" - это полный объем сгибания в
          коленном суставе, но...
          незначительно он отличается от варианта "два кольца"...
          и есть ли практический смысл достигать на фоне ношения аппарата такого
          объема движений?

          LNS> В случае, который представил
          LNS> Евгений, характер повреждения позволил бы сразу использовать аппарат на
          LNS> основе 2 колец;

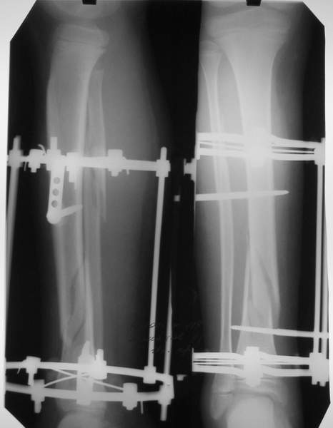
          В аттачтах №№ 1 и 2 - примеры, когда 2 кольца не позволили послеоперационно
          исправить смещение фрагментов большеберцовой (по ширине и вальгусное).
          А казалось бы (#2) - поиграй на штангах и все влетит.
          Оперировал не я
          :-)




















          1


          1a


          2


          3a


          3b


          3c


          PS.
          В аттачте № 3 - один из примеров полукольцевого аппарат...
          Это уже я баловался.
          Итог? Работы больше (по времени и
          интраоп "подгонке"), срастается также, а особого преимущества по сравнению с
          "чиста" кольцевым (вес, удобство ношения и пр.) - я, по крайней мере,
          не нашел.
          Теперь не балуюсь.
          Может быть зря?
          ;-)

          --
          Best regards,

          ~~~~~~~~~~~~~~~~~~~~~~~~~~~~~~~~~~~~~~~~~~~~~~
          Aleksey V. Mozgounov, M.D., Ph.D.,
          Department of Pediatric and Adolescents
          Traumatology and Orthopaedics,
          Research Centre of Tatarstan
          "Rehabiltation Traumatology and Orthopaedics",
          3, Gorky str., Kazan 420015, Russia
          ~~~~~~~~~~~~~~~~~~~~~~~~~~~~~~~~~~~~~~~~~~~~~~


          [ Ответить ]
          • Re: дистальный тиб.фиб. перелом
            Отправитель: Leonid N. Solomin 30 Март 2005, 20:15
            Уважаемый Aleksey V. Mozgounov!
            ...представлена в проаннонсированной недавно РосНИИТО монографии по
            чрескостному остеосинтезу.
            > А можно ли как-то заказать через Инет?


            Считайте, что уже заказали.

            > А в чем практическое преимущество Модульной Трансформации чрескостных
            аппаратов


            Под <Модульной трансформацией> (МТ) чрескостного аппарата принимается
            возможность, в соответствии с несущей способностью костного регенерата:
            - постепенно уменьшать количество чрескостных элементов;
            - сокращать количество опор без необходимости дополнительного проведения
            чрескостных элементов;
            - изменять геометрию внешних опор аппарата путем демонтажа части этой опоры.
            Использование МТ призвано оптимизировать условия для заживления костной раны
            (<воспитание регенерата> по терминологии Г.А. Илизарова; это один из
            вариантов "динамизации" аппарата), уменьшить опасность возникновения
            трансфиксационных контрактур и инфекционных осложнений, повысить
            комфортность лечения для больного за счет снижения громоздкости конструкции.

            Оговоримся сразу: использовнаие аппаратов, в которых заложена возможность МТ, рассматривается, как метод выбора. Пэтому, если (кроме указанного выше) для врача и пациента
            "(аппараты) не такие уж они тяжелые; больному не до эстетики, а чтобы держало хорошо и срасталось надежно...; удобство при ношении одежды? - Но с точки зрения брюк. что два полукольца. что два кольца; устранение риска спице-стержневого остеомиелита в проксим.метафизе? - вот это вполне возможно... но такие осложнения встречаются крайне редко; профилактика контрактур в суставах? для голеностопа... что полукольцо, что кольцо - они одинаково мешают (или не мешают) тыльной флексии...",
            то применять МТ категорически не следует.

            > 1 и 2 - примеры, когда 2 кольца не позволили послеоперационно исправить
            смещение фрагментов большеберцовой (по ширине и вальгусное).

            Использование аппарата на основе 2-х опор "во-что-бы-то-нистало" никогда не приведет к успеху, в этом я с Вами согласен. Это выхватывание отдельных фрагментов из технологии, порочащие ее.

            > Теперь не балуюсь. Может быть зря?
            МТ мы используем, конечно, не только на голени. В прилагаемом примере у парня при поступлении была наружная ротация 40 гр. и "полумертвый" коленный сустав. Можно был бы, конечно, до конца использовать полную компоновку. Но для того он и есть метод выбора.









            Всего наилучшего,
            Л.Соломин


            [ Ответить ]
      • Re: дистальный тиб.фиб. перелом
        Отправитель: Alexander Chelnokov 26 Март 2005, 12:51
        Приветствую, Anton,

        Wednesday, March 23, 2005, 1:30:17 PM, you wrote:

        AV> Интересно было бы услышать подробнее насчет двух колец.
        AV> Может быть есть примеры? Спасибо!

        Коллега Соломин (спасибо ему!) представил пример. IMHO примеры тут даже избыточны - достаточно вспомнить о возможности крепить на кронштейнах чрескостные элементы, проведенные и выше, и ниже кольца или полукольца. Чтобы получить, такссть, 3D опору. Столь любимый нашими заокеанскими коллегами Taylor Spatial Frame как раз эту возможность использует. Так что одно (полу)кольцо, на котором закреплены по стержню и/или спице на расстоянии 30-50 мм по обе стороны, вполне заменяет два. Ну а дальше включаешь воображение... ;-)

        [ Ответить ]

     

    ( Ответить )

    Powered by Zope  Squishdot Powered MedLink
    Посетитель: 0385712
      "По форме правильно, а по существу - издевательство" В.И.Ленин
    ©2001-2019Orthoforum Coordinator.
    [ Главная | Отправить сообщение | Поиск | Админ ]