AOTRAUMA.ORG Центр Илизарова  

Ортопедия и травматология Общие вопросы/General questions Help Информационные технологии в медицине
 вверх
 отправить
 поиск
 админ
 главная


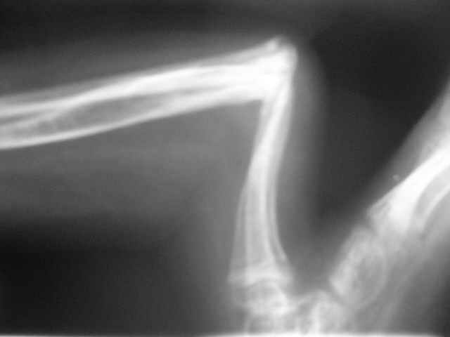
Congenital tibial pseudoarthrosis
Ортопедия и травматология Отправлено Evgueny Tchekashkine 24 Апрель 2005, 23:59
Уважаемые коллеги,Госпитализировали ребенка 4 лет с врожденной деформацией голени.
Нога опороспособна, безболезненна, выраженная хромота за счет укорочения.Признателен за рекомендации и высказанные мнения.Евгений И Чекашкин

<  |  >

 

  • Сообщения о Ортопедия и травматология
  • Также Evgueny Tchekashkine
  • Связаться с автором
  • Ответить

    Re: Congenital tibial pseudoarthrosis
    Arshak Mirzoyan 25 Апрель 2005, 00:25
    Клинико-рентгенологически больной напомнил мне случай, когда закрытое исправление деформации аппаратом Илизарова дало дистракционный регенерат при врожденном ложном суставе. Регенерат в дальнейшем перестроился и отдаленный результат (7-8 лет) был отличный. Это было опубликовано в Ортопед Травматол 1981 года. более подробно описано в диссертации Лечение вожденных псевдартрозов голени методом Илизарова в амбулаторных условиях. В Курганским центре эта диссертация есть. Удачи

    Аршак Мирзоян
    Ереванский Центр Реконструкции и Удлинения Конечностей
    [ Ответить ]

    • Re: Congenital tibial pseudoarthrosis
      Отправитель: Alexey Mozgounov 25 Апрель 2005, 00:38
      AEM> Клинико-рентгенологически больной напомнил мне случай,
      AEM> когда закрытое исправление деформации аппаратом Илизарова дало
      AEM> дистракционный регенерат при врожденном ложном суставе.

      "Авраам любил Бога и Бог любил Авраама..."
      Это не цитата...
      Это в том смысле, что "Авраамов" - единицы...
      А сколько в литературе насчитано подобных случаев с 1981 г.? Один?
      Или есть еще?

      Такие вещи представляют собой одну из проблем детской ортопедии.
      Причем - ВЕЗДЕ.
      И у нас, где активно пользуют метод Илизарова, и за бугром - где тоже пользуют, но не так активно...

      Полагаться только на дистракционный регенерат?

      Хм...
      Родителей надо предупреждать заранее...
      Особенно в таких вот случаях.
      Есть у нас одна тпохожая больная, которой, дай бог памяти, лет 20 отроду, а лечится лет с этак 2-3... И чего ей только не делали... И аппараты, и трансплантаты, и на сосудистой ножке и без ножки и...

      Что делать?
      ( далее в первую очередь для Евгения...)

      А начать, IMHO, надо действительно с аппарата...
      С целью коррекции деформации...
      И некоторой дистракции. После этого - открытое вмешательство. Резекция ложного сустава, освежевание концов и пр., внедрение дистальной "сосульки" большеберцовой в "канал" проксимального фрагмента... При этом - необходимая резекция малоберцовой (резекция концов, освежевание... интрамедуллярный остеосинтез спицей, если есть необходимость и/или желание...).
      И - циркулярное обкладывание трансплантатами... Вокруг зоны вмешательства на большеберцовой... Ну "тутогеном" что ли, например... Или деминерализованными трансплантатами, ежели где такие делают еще...

      Да, будет укорочение.
      Но главное на данный момент - срастить сустав.

      Как бы то нибыло - удачи.

      --
      Best regards,

      ~~~~~~~~~~~~~~~~~~~~~~~~~~~~~~~~~~~~~~~~~~~~~~
      Aleksey V. Mozgounov

      [ Ответить ]
      • Re: Congenital tibial pseudoarthrosis
        Отправитель: Evgueny Tchekashkine 25 Апрель 2005, 00:43
        Приветстсвую, Алексей и Аршак,

        > Такие вещи представляют собой одну из проблем детской ортопедии.
        > Причем - ВЕЗДЕ.

        Редко встречающаяся патология , но за последние два года у нас наблюдается
        уже третий ребенок, в одном случае деформация сочеталась с
        нейрофиброматозом.
        Все деформации были односторонними на уровне нижней трети голени и
        диспластического типа с полной окклюзией к.м. канала.
        первого ребенка начали наблюдать с 2 мес возраста иммобилизуя стопу в
        среднефизиологичесом положении этапными гипсовыми повязками, меняя каждые 3
        недели.
        в 6 мес возрасте поднадкостничная остеотомия + экономная краевая резекция
        прокс и дист фрагментов б.б. кости+ вскрытие к.м. канала, остеотомия м.б.
        кости с , из латерального кортекса был взят графт и викрилом фиксирован
        поднадкостнично. перекрывая фрагменты б.б. кости. Остеотомия фиксирована
        антеградно тонким RUSH стержнем + гипсовая лонгета. через три месяца -
        признаки консолидации в зоне остеотомии б.б. кости, раш пин был удален
        спустя месяц т.к. начал мигрировать. В настоящее время ребенку год и три
        месяца, ходит с полной нагрузкой на ногу, укорочение около 2 см
        компенсируется built up shoe ПРОБЛЕМА : сростом ребенка усугубление
        несоответствия длин ног. Что вы думаете о сроках начала удлинения голени у
        этого ребенка?

        Второй ребенок 4 лет с сопутствующим нейрофиброматозом после трех
        коррегирующих остеотомий( по выше приведенному сценарию) консолидации не
        наступило, родители подали на меня жалобу за неуспешное лечение и исчезли из
        поля зрения.....

        Случай с 3 ребенком я вам представил. Я тоже подумал о постепенной корекции
        угловой деформации в аппарате Илизарова. меня смущает один момент -
        укорочение ахиллова сухожилия , хотя решением может быть чрезкожная
        сегментарная тенотомия по Тахджяну и дистракция ? Ваше мнение.....



        > Полагаться только на дистракционный регенерат?

        не думаю, но время покажет произойдет ли оссификация регенерата или нет
        > Хм...
        > Родителей надо предупреждать заранее...
        > Особенно в таких вот случаях.
        > Есть у нас одна тпохожая больная, которой, дай бог памяти, лет 20 отроду,
        а
        > лечится лет с этак 2-3... И чего ей только не делали... И аппараты, и
        > трансплантаты, и на сосудистой ножке и без ножки и...
        >
        > Что делать?
        > ( далее в первую очередь для Евгения...)
        >
        > А начать, IMHO, надо действительно с аппарата...
        > С целью коррекции деформации...
        > И некоторой дистракции.
        > После этого - открытое вмешательство.
        > Резекция ложного сустава, освежевание концов и пр., внедрение
        > дистальной "сосульки" большеберцовой в "канал" проксимального
        > фрагмента... При этом - необходимая резекция малоберцовой (резекция
        > концов, освежевание... интрамедуллярный остеосинтез спицей, если есть
        > необходимость и/или желание...).
        > И - циркулярное обкладывание трансплантатами... Вокруг зоны
        > вмешательства на большеберцовой... Ну "тутогеном" что ли,
        > например... Или деминерализованными трансплантатами, ежели где такие
        > делают еще...
        >
        > Да, будет укорочение.
        > Но главное на данный момент - срастить сустав.

        Такой же план возник и у меня
        Спасибо за рекомендации и время,

        Всего доброго,
        Евгений

        [ Ответить ]
        • Re: Congenital tibial pseudoarthrosis
          Отправитель: Alexey Mozgounov 25 Апрель 2005, 00:46
          e> поднадкостнично. перекрывая фрагменты б.б. кости. Остеотомия фиксирована
          e> антеградно тонким RUSH стержнем + гипсовая лонгета. через три месяца -
          e> признаки консолидации в зоне остеотомии б.б. кости, раш пин был удален
          e> спустя месяц т.к. начал мигрировать.
          А вот поставили бы православную "толстую" спицу Киршнера - и ничто бы
          не мигрировало!
          :-)
          :-)
          :-)

          e> В настоящее время ребенку год и три
          e> месяца, ходит с полной нагрузкой на ногу,
          Не хочу накаркать, но...
          Ходят они вот так, ходят, а потом хрясь... в смысле - перелом... и все
          сначала...
          :-(

          e> укорочение около 2 см
          e> несоответствия длин ног. Что вы думаете о сроках начала удлинения голени у
          e> этого ребенка?

          В данном случае проблема не в уорочении.
          Укорочение на время можно компенсировать.
          Было бы конечно интересно глянуть на Ro и клинические снимки. Вот
          именно на этом сроке.
          А если так...
          То можно и нужно все отложить лет до минимум 3-х... А то и до 5...

          e> Второй ребенок 4 лет с сопутствующим нейрофиброматозом после трех
          e> коррегирующих остеотомий( по выше приведенному сценарию) консолидации не
          e> наступило, родители подали на меня жалобу за неуспешное лечение и исчезли из
          e> поля зрения.....

          Что и следовало доказать...
          В смысле проблемы детской ортопедии...
          Получается, что счет 1:1... причем в первом случае окончательный результат матча еще не известен...
          К сожалению...

          e> Случай с 3 ребенком я вам представил. Я тоже подумал о постепенной корекции
          e> угловой деформации в аппарате Илизарова. меня смущает один момент -
          e> укорочение ахиллова сухожилия ,

          При такой угловой деформации укорочение Ахилла вполне нормально.
          Перекройте стопу.
          Причем не только спицей через пятку, а зафиксируйте и плюсну.
          И работайте над деформацией.

          e> хотя решением может быть чрезкожная
          e> сегментарная тенотомия по Тахджяну и дистракция ? Ваше мнение.....
          Скажу честно...
          Что такое "по Тахджяну" - не знаю.
          ;-)


          --
          Best regards,

          ~~~~~~~~~~~~~~~~~~~~~~~~~~~~~~~~~~~~~~~~~~~~~~
          Aleksey V. Mozgounov

          [ Ответить ]
          • Re: Congenital tibial pseudoarthrosis
            Отправитель: Evgueny Tchekashkine 25 Апрель 2005, 00:50
            Алексей,здравствуйте,

            > А вот поставили бы православную "толстую" спицу Киршнера - и ничто бы
            > не мигрировало!
            > :-)
            > :-)
            > :-)
            Где ж ее было найти правую и славную?!:-)) разве *толстые* спицы не
            мигрируют?

            > e> месяца, ходит с полной нагрузкой на ногу,
            > Не хочу накаркать, но...
            > Ходят они вот так, ходят, а потом хрясь... в смысле - перелом... и все
            > сначала...
            > :-(

            Да, и такое может случиться...

            > e> укорочение около 2 см
            > e> несоответствия длин ног. Что вы думаете о сроках начала удлинения
            голени у
            > e> этого ребенка?
            > В данном случае проблема не в уорочении.
            > Укорочение на время можно компенсировать.

            На данном этапе оно и компенсировано ортопедическим ботинком

            > Было бы конечно интересно глянуть на Ro и клинические снимки. Вот
            > именно на этом сроке.

            Рг граммы есть , но не переснятые - завтра пересниму и пришлю


            > А если так...
            > То можно и нужно все отложить лет до минимум 3-х... А то и до 5...

            чем обоснована отсрочка? Ведь с ростом ребенка разница в длине может
            усугубляться?

            > e> наступило, родители подали на меня жалобу за неуспешное лечение и
            исчезли из
            > e> поля зрения.....
            > Что и следовало доказать...
            > В смысле проблемы детской ортопедии...

            :-)) В общем то, это скорее была попытка, обвинив меня во всех несчастьях, получить денежную компенсацию, а поскольку тактика многократно обсуждалась на консилиумах, то все было сделано на основе коллективного заключения, поэтому ни для госпиталя, ни для меня проблем не возникло - хороший жизненный урок, возникший совершенно неожиданно......


            > Получается, что счет 1:1... причем в первом случае окончательный
            > результат матча еще не известен...
            > К сожалению...

            Я так не считаю:-)) Произошедший инциндент не расцениваю как потерю *очка* - лишний раз доказывает, что надо лучше оценивать характеры и психологию родителей, добиваться полного и четкого понятия сути проблемы и возможных последствий и дать возможность сделать свой выбор, а если они сначала соглашаются, а потом меняют свое мнение - едва ли я могу себя обвинять в перемене их мнения ( тактика была обсуждена на встрече всех местных
            ортопедов, поэтому с мед. т.зр. и с учетом местных возможностей других вариантов не было. Как вариант обсуждалась ампутация ниже колена с протезированием как избавление от многочисленных хирургических вмешательств, есть статья о предпочтительности такого подхода с функциональной и психологической точки зрения, скорейшей реабилитации ребенка.


            > e> укорочение ахиллова сухожилия ,
            > При такой угловой деформации укорочение Ахилла вполне нормально.

            Скорее очевидно:-))

            > Перекройте стопу.
            > Причем не только спицей через пятку, а зафиксируйте и плюсну.
            > И работайте над деформацией.

            По другому и не получится иначе стопы уйдет в эквинус

            > e> хотя решением может быть чрезкожная
            > e> сегментарная тенотомия по Тахджяну и дистракция ? Ваше мнение.....
            > Скажу честно...
            > Что такое "по Тахджяну" - не знаю.

            Автор очень хорошего издания детской ортопедии в 4-х массивных томах.
            Сегментарной она называется потому, что сухожильные волокна ахилла пересекаются в шахматном порядке на разных уровнях через небольшие кожные разрезы ( лезвие 11 или 15 размер)типа :



            -
            - -



            -
            - -
            и при дистракции происходит скольжение отдельных групп волокон относительно друг друга , при этом целостность самого сухожилия не нарушается. (может в отечественной литературе, что-то подобное и есть , только называется по-другому - по аналогии с радио Маркони или Попова:-))

            Спасибо за рекомендации, снимки за мной,
            Всего доброго,
            Евгений

            [ Ответить ]
            • Re: Congenital tibial pseudoarthrosis
              Отправитель: Alexey Mozgounov 25 Апрель 2005, 00:57
              e> чем обоснована отсрочка? Ведь с ростом ребенка разница в длине может
              e> усугубляться?
              Может.
              И будет.
              Но на данный момент прошло лишь 9 мес с момента вашей операции. И есть
              смысл дать организму ребенка справиться с "ложняком". Вмешательство по
              удлиннению приведен к "переключению" адаптивных сил организма на
              другой оръект, а это ни к чему хорошему может не привести. Поэтому
              лучше IMHO выждать.
              Кроме того при удлиннении усилится действие мышц голени на область
              ложного сустава, что при незавершенной "адаптации" также может
              способствовать рефрактуре.
              Кроме того неполноценная нагрузка на фоне удлиннения также не будет
              способствовать нормальной костной перестройке в зоне прооперированного
              ложного сустава.
              Лучше IMHO подождать.
              Хуже не будет.
              А лучше быть может.
              Поспешай, как говорят, медленно.
              :-)

              e> вариантов не было. Как вариант обсуждалась ампутация ниже колена с
              e> протезированием как избавление от многочисленных хирургических вмешательств
              e> , есть статья о предпочтительности такого подхода с функциональной и
              e> психологической точки зрения, скорейшей реабилитации ребенка.
              Таких статей если не много, то достаточно.
              И вполне возможно в условиях нормального протезирования в них есть
              опеределенный смысл.
              Причем не только при врожденных ложных суставах.

              e> По другому и не получится иначе стопы уйдет в эквинус
              Почему сакцентировал на этом внимание - что часто делается и "по-другому".
              Видел случаи.

              >> Что такое "по Тахджяну" - не знаю.
              e> Автор очень хорошего издания детской ортопедии в 4-х массивных томах.
              Вот блин...
              А я то думаю - что за армянская фамилия такая...
              :-)
              А это стало быть Tachdian.
              У нас его читают как "Тэ(а)чдиан".
              Кто прав?

              e> Сегментарной она называется потому , что сухожильные волокна ахилла
              e> пересекаются в шахматном порядке на разных уровнях через небольшие кожные
              e> разрезы ( лезвие 11 или 15 размер)типа :
              e> и при дистракции происходит скольжение отдельных групп волокон относительно
              e> друг друга , при этом целостность самого сухожилия не нарушается. ( может
              e> в отечественной литературе , что-то подобное и есть , только называется
              e> по-другому - по аналогии с радио Маркони или Попова:-))

              Такое удлинение предложил Bayer в 1901 г. Через две инцизии на разных уровнях сухожилие сечется в разные стороны от его середины. Другое название - "скользящее" ("sliding") удлинение.
              Потом были предложены видоизменения - и через один полный разрез (считается, что сухожилие Ахилла имеет простанственную торсию и дабы не сделать насечки с одной стороны - лучше полнеостью "раскрыться"), и через несколько "шахматных" разрезов (3 или 4).
              Мы используем всегда только 2 сечения. При большем количестве имеется вероятность недорассчитать и на каком-то уровне получить "переудлинение", т.е. полное расхождение скользящих фрагментов.

              При использовании аппарата с перекрытием стопы особой необходимости в таком удлинении я не вижу.
              Хотя, с другой стороны, сделать и можно - надсечь, наложить аппарат и пусть оно себе далее дозированно удлиняется.


              --
              Best regards,

              ~~~~~~~~~~~~~~~~~~~~~~~~~~~~~~~~~~~~~~~~~~~~~~
              Aleksey V. Mozgounov

              [ Ответить ]
              • Re: Congenital tibial pseudoarthrosis
                Отправитель: Evgueny Tchekashkine 25 Апрель 2005, 01:06
                Спасибо за письмо и рекомендации.
                Извиняюсь за *накладку* со снимками, но мамаша должна появиться в скором времени в поликлинике(я регулярно наблюдаю ребенка в поликлинике, бывает, что больные *исчезают* из поля зрения, но в этой ситуации такого не пройзойдет, если только не стихийное бедствие:-))

                А я то думаю - что за армянская фамилия такая... :-) А это стало быть Tachdian.

                У нас его читают как "Тэ(а)чдиан".

                Виноват, пропустил *j* , - Tachdjian

                При использовании аппарата с перекрытием стопы особой необходимости в таком удлинении я не вижу.
                Хотя, с другой стороны, сделать и можно - надсечь, наложить аппарат и пусть оно себе далее
                дозированно удлиняется.


                Согласен, скользящую сегментарную тенотомию можно будет выполнить в процессе дистракции - своего рода этапная оптимизация натяжения
                мышечно-сухожильного аппарата.

                Всего доброго,

                Евгений

                [ Ответить ]
    Re: Congenital tibial pseudoarthrosis
    Alexey Mozgounov 25 Апрель 2005, 00:26
    e> Нога опороспособна,
    В смысле?
    Кривая под 90 гр., но наступать может?
    Пока ходит?
    Хм...
    На счет опороспособности...

    e> безболезненна, выраженная хромота за счет укорочения.
    А может быть ногу удлиннить?
    Чтоб не хромал на фоне укорочения?
    Тоже вариант...
    ;-\

    [ Ответить ]

    • Re: Congenital tibial pseudoarthrosis
      Отправитель: Evgueny Tchekashkine 25 Апрель 2005, 00:35
      Алексей , приветствую,

      ?вроде бы идет диалог: вопрос -ответ, а кто с кем... Извините за вторжение...

      ЕвгенийИ Чекашкин


      > e> Нога опороспособна,
      > В смысле?
      > Кривая под 90 гр., но наступать может?
      > Пока ходит?
      > Хм...
      > На счет опороспособности...

      Нога абсолютно опорна и безболезненна при осевой нагрузке и пальпации зоны деформации.

      [ Ответить ]
      • Re: Congenital tibial pseudoarthrosis
        Отправитель: Alexey Mozgounov 25 Апрель 2005, 00:44
        Dear Евгений,

        e> ?вроде бы идет диалог: вопрос -ответ, а кто с кем.....

        "Вопрос-ответ" это не еще и форма экзамена...
        А в беседе есть еще и "рассуждение вслух"...
        А почему бы и нет?
        :-)

        --
        Best regards,

        ~~~~~~~~~~~~~~~~~~~~~~~~~~~~~~~~~~~~~~~~~~~~~~
        Aleksey V. Mozgounov

        [ Ответить ]
    Re: Congenital tibial pseudoarthrosis
    Evgueny Tchekashkine 25 Апрель 2005, 00:27
    Уважаемый Д-р А. Мирзоян,

    Спасибо за совет.
    Существует ли электронная версия указанной публикации, хотелось бы с ней ознакомиться.

    Всего доброго,
    ЕвгенийИ Чекашкин
    [ Ответить ]

    • Re: Congenital tibial pseudoarthrosis
      Отправитель: Arshak E. Mirzoyan 25 Апрель 2005, 00:47
      Уважаемых Д-р Чекашин. честно говоря не знаю. Обратитесь курганским коллегам. Может они отсканируют и вышлют вам этот случай во всех деталях.
      Имя больного Александр Пилипцев. Работая в курганском центре, я занимался врожденными ложными суставами. Это не единственный случай когда ВЛС давал дистракционный регенерат. Существует много типов ВЛС, в том числе и гиперпластический тип. По моему это тот случай. Во всех случаях, думаю что надо начать с постепенного исправления деформации а там видно будет.

      С уважением Аршак Мирзоян

      [ Ответить ]
      • Re: Congenital tibial pseudoarthrosis
        Отправитель: Evgueny Tchekashkine 25 Апрель 2005, 00:48
        Уважаемый Аршак,

        Спасибо за письмо. Идею я понял, пока занят поиском аппарата По поводу Рг грамм описанного раннее пролеченного ребенка с ВЛС - ребенок был на осмотре в поликлинике две недели назад и я надеялся найти снимки в Рг архиве, но, к сожалению, безрезультатно - мамаша прихватила весь пакет Рг грамм с собой. Через месяц должны появиться в поликлинике снова и тогда я вышлю и фото ребенка, и снимки.

        Всего доброго,
        Евгений

        [ Ответить ]
        • Re: Congenital tibial pseudoarthrosis
          Отправитель: Arshak E. Mirzoyan 25 Апрель 2005, 22:17
          Уважаемый Евгений, если надумаете пойти предложенным путем, дайте знать. Там есть небольшая "хитрость" в комоновке аппарата. С удовольствием поделюсь.
          Удачи, АМ

          [ Ответить ]
          • Re: Congenital tibial pseudoarthrosis
            Отправитель: Evgueny Tchekashkine 25 Апрель 2005, 22:17
            Уважаемый Аршак,

            Спасибо за письмо, пока аппарат в пути, Компановку *прокручиваю* в сером веществе:-))
            Когда все будет готово, был бы признателен за совет и * хитрость * в компоновке. Надеюсь, что Леонид Николаевич Соломин выскажет свое мнение.

            Всего Доброго,
            Евгений

            [ Ответить ]
    Re: Congenital tibial pseudoarthrosis
    Alexander E. Klokov 25 Апрель 2005, 00:39
    Мне думается первым этапом резекция ложного сустава с рассверливанием канала и пластикой по Хохутову (или подобно этой) в аппарате. Вторым этапом удлинение либо этого сегмента с поднадкостничной остеотомией
    выше ложняка, либо, как вариант, укорочение на другой ноге. Разные варианты в зависимости от желаний и возможностей родителей (и докторов :).

    Спасибо за внимание.
    С уважением,
    Александр
    [ Ответить ]

    • Re: Congenital tibial pseudoarthrosis
      Отправитель: Evgueny Tchekashkine 25 Апрель 2005, 00:39
      Александр,

      Спасибо за совет. При остеотомии на высоте деформации - склерозированная кость, поэтому скользящий трансплантат вряд ли интегрируется. После резекции склерозированной кости в качестве пластическоо материала в одном случае я воспользовался свободным кортикальным фрагментом малоберцовой кости, поднадкостнично фиксированным к тибиальным фрагментам. этот подход оказался эффективным в сочетании с фиксацией стержнем.

      Всего доброго,
      Евгений

      [ Ответить ]
      • Re: Congenital tibial pseudoarthrosis
        Отправитель: Dr. Castro 25 Апрель 2005, 20:38
        Dorogoi Dr. Evgueny,
        Ja ni davno, v pervoi dekade marta demonstriroval takoi bolnoi, 2 1/2 goda, u nego ita patalogia bila companentom neurofibramatosis, u nego v dobovke bila bolshjia kostjia kista, i Alex sovetoval ee zapolnit' "Shipsami" Demeneralized bone, ja tak i sdelal, ja ego 3 nedeli nazad operiroval apparatom ilizarova iz 3-x koles' otkritim sposobom, poka ni vidno, kak on budet sebjia vesty, udachy tebe.
        Castro

        [ Ответить ]
        • Re: Congenital tibial pseudoarthrosis
          Отправитель: Evgueny Tchekashkine 25 Апрель 2005, 22:18
          Уважаемый Д-р Кастро,

          Спасибо за письмо.
          При случае вышлите фотографии и снимки ребенка. По всей видимости, у ребенка *cystic type of pseudoarthrosis*, в мной представленном случае - скорее диспластический.
          Интересно было бы узнать как идет мозолеобразование, режим в аппарате дистракция и компрессия?

          Удачи,
          Евгений

          [ Ответить ]

     

    ( Ответить )

    Powered by Zope  Squishdot Powered MedLink
    Посетитель: 0371433
      "По форме правильно, а по существу - издевательство" В.И.Ленин
    ©2001-2019Orthoforum Coordinator.
    [ Главная | Отправить сообщение | Поиск | Админ ]