AOTRAUMA.ORG Центр Илизарова  

Ортопедия и травматология Общие вопросы/General questions Help Информационные технологии в медицине
 вверх
 отправить
 поиск
 админ
 главная
 Предыдущее
 Весь тред


Re: Остеохондрома подвздошной кости
Пулатов Андрей Рифгатович 07 Июнь 2005, 17:00
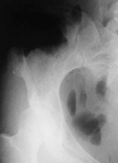
Уважаемые коллеги, больную прооперировали. После выделения остеохондрома резецирована в пределах неизменённой кости. Выявлено, что гребень подвздошой кости не пострадал от опухоли. В результате резекции сформирован сквозной дефект в крыле подвздошной кости треугольной формы 6х7х8 см. В качестве трансплантата использована наружная кортикальная пластинка заднего отдела крыла подвздошной кости.
Трансплантат фиксирован на месте дефекта при помощи шурупов и проволоки. Кровопотеря 550 мл.
Спасибо всем за участие.
На фото этапы операции, R-gr.





























Детское ортопедическое отделение
Уральского НИИ травматологии и ортопедии

  • Сообщения о Ортопедия и травматология
  • Также Пулатов Андрей Рифгатович
  • Связаться с автором
  • Ответить

    Re: Остеохондрома подвздошной кости
    Волокитина Елена Александровна 08 Июнь 2005, 18:29
    Уважаемый Андрей Рифгатович!
    Поздравляю с успешным завершением операции. Удача сопутствует умению!!! И далее - Вам и Вашему коллективу - удач, а пациентке - выздоровления.
    С уважением Е.А.Волокитина

    [ Ответить ]


    ( Ответить )

    Powered by Zope  Squishdot Powered MedLink
    Посетитель: 0190166
      "По форме правильно, а по существу - издевательство" В.И.Ленин
    ©2001-2019Orthoforum Coordinator.
    [ Главная | Отправить сообщение | Поиск | Админ ]