AOTRAUMA.ORG Центр Илизарова  

Ортопедия и травматология Общие вопросы/General questions Help Информационные технологии в медицине
 вверх
 отправить
 поиск
 админ
 главная
 Предыдущее


Re: консультация
С.В.Фомин 19 Июль 2005, 10:51






























































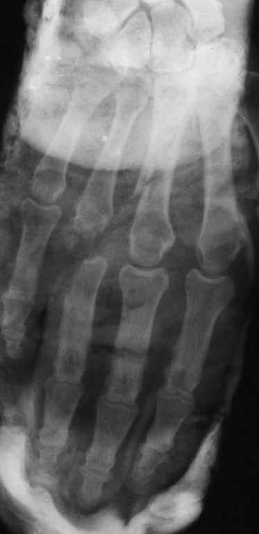
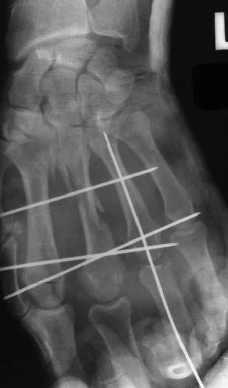
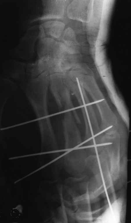
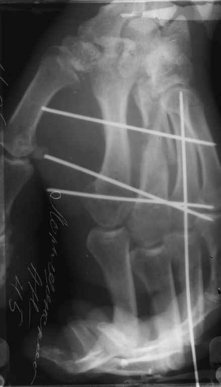
Диагноз: Стойкая Смешанная дермотеногенная контрактура 3,4 пальца правой кисти.
Запрос: дальнейшая тактика лечения.

Фомин С.В.
  • Сообщения о Ортопедия и травматология
  • Также С.В.Фомин
  • Связаться с автором
  • Ответить

    Re: консультация
    Виталий Евгеньевич Казеннов 19 Июль 2005, 18:08
    Здравствуйте, уважаемый С.В.Фомин (извините, не знаю Вашего имени
    отчества)!

    Судя по выписному эпикризу, рентгенограммам и фотографиям, пациенту
    показано этапное лечение.

    К сожалению, мне непонятна локализация кадра
    (прилагаю).











    Это 3 или 4 межпальцевой промежуток? Гранулирующая рана или свищ?
    Есть ли отделяемое в зоне тенара?
    Что было с нервами?
    Каков вообще механизм травмы?
    Чем шили сухожилия?
    Каков сейчас объем активных и пассивных движений?
    Каков род занятий пациента и как он сам настроен на лечение?
    Какое лечение проводите в данный момент?

    При необходимости Вы можете направить больного в нашу клинику.

    С уважением,

    Виталий Евгеньевич Казённов,
    Отделение микрохирургии и травмы кисти
    Краевой клинической больницы № 2,
    доцент кафедры травматологии-ортопедии

    [ Ответить ]


    ( Ответить )

    Powered by Zope  Squishdot Powered MedLink
    Посетитель: 0193172
      "По форме правильно, а по существу - издевательство" В.И.Ленин
    ©2001-2019Orthoforum Coordinator.
    [ Главная | Отправить сообщение | Поиск | Админ ]