AOTRAUMA.ORG Центр Илизарова  

Ортопедия и травматология Общие вопросы/General questions Help Информационные технологии в медицине
 вверх
 отправить
 поиск
 админ
 главная


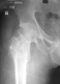
Нелеченный перелом шейки бедра / Neglected femoral neck #
Ортопедия и травматология Отправлено Alexander Chelnokov 14 Октябрь 2005, 23:51
Глубокоуважаемые коллеги,Вчера обратился мужчина 31 г. Травма 2 месяца назад, лечился в одном из городов области. Был не самый тяжелый перелом таза, который проведен консервативно. С ним и связывали невозможность поднять ногу.
Однако на сегодняшнем снимке обнаружился перелом шейки бедра. Больной уже ходитс частичной нагрузкой. Учитывая срок и картину на снимке, что предпринять? У нас предложены варианты 1)не оперировать, 2)закрыто 2 спонгиозных винта, 3)вальгизирующая остеотомия. Эндопротез как-то даже в список включать пока не хочется. Какие есть соображения? Что из перечисленного или что-то другое выбрать и почему? Заранее спасибо.
Dear colleagues,A male 31 years old treated elsewhere after not severe pelvic fracture, was managed non operatively. So the injury looked as a reason of his inability to elevate the leg. However at the recent x-rays the neck fractire was found. The patient already has been walking with partial weight-bearing.Looking at the x-rays and the time since the injury, what is the optimal treatment for now? We discussed 1)leave as is, 2)2 cancellows screws as is, 3)valgus osteotomy. Total hip replacement looks unnecessary yet.What is your opinion? Which option from the listed or something else should be preferred and why?THX in advance.

<  |  >

 

  • Сообщения о Ортопедия и травматология
  • Также Alexander Chelnokov
  • Связаться с автором
  • Ответить

    Re: Нелеченный перелом шейки бедра
    Виталий Евгеньевич Казеннов 14 Октябрь 2005, 23:54
    А какой шеечно диафизарный угол на "контрольной стороне"? 31 год все-таки...

    Вариант Смита-Петерсена с кортикальной пластикой из большеберцовой кости не рассматривали?
    У нас одно время часто это делали в подобных случаях, и неплохо получалось...

    Удачи,
    Казеннов
    [ Ответить ]

    • Re: Нелеченный перелом шейки бедра
      Отправитель: Alexander Chelnokov 15 Октябрь 2005, 00:11
      Лтт> А какой шеечно диафизарный угол на "контрольной стороне"?

      Да совершенно нормальный.

      Лтт> 31 год все-таки...

      А почему "все-таки"?

      Лтт> Вариант Смита-Петерсена с кортикальной пластикой из большеберцовой кости
      Лтт> не рассматривали?

      Хотя гвоздь SP у нас ушел из применения лет 10 как, вопрос о фиксаторе тут вторичен, видимо. Надо определиться - либо оставить все как есть, не раобщать уже формирующуюся спайку (с хирургической фиксацией или даже без нее). Либо вальгизировать, тоже перелом не разобщая - это позволит еще и укорочение уменьшить. Либо все-таки пытаться отломки разобщить по линии перелома и сделать репозицию.
      А что за кортикальная пластика, и какую проблему она решает?

      Лтт> У нас одно время часто это делали в подобных случаях, и неплохо
      Лтт> получалось...

      Нелеченные 2 месяца переломы шейки бедра все-таки не такая уж частая болезнь.

      [ Ответить ]
      • Re: Нелеченный перелом шейки бедра
        Отправитель: Виталий Евгеньевич Казеннов 15 Октябрь 2005, 00:42
        > Да совершенно нормальный.

        А он, этот "нормальный", у каждого свой. Насколько сейчас шейка в
        варусе-то?

        > А почему "все-таки"?

        А потому что отличается от 71, 61 и даже 51. Как сейчас полечите, так и
        будет маяться все оставшиеся десятилетия...

        > Хотя гвоздь SP у нас ушел из применения лет 10 как, вопрос о фиксаторе
        > тут вторичен, видимо.

        По гвоздю классно входит трансплантат -- рядом с ним. По винту не пройдет
        такой фокус...

        Надо определиться - либо оставить все как есть,
        > не раобщать уже формирующуюся спайку (с хирургической фиксацией или
        > даже без нее). Либо вальгизировать, тоже перелом не разобщая - это
        > позволит еще и укорочение уменьшить. Либо все-таки пытаться отломки
        > разобщить по линии перелома и сделать репозицию.

        Вот поэтому я и спросил про ШДУ! Закрыто отрепонировать, ввести гвоздь и
        параллельно ему трансплантат.
        А про укорочение ни слова не было...

        > А что за кортикальная пластика, и какую проблему она решает?

        Это та, которая не спонгиозная. Проблему несращения.

        > Нелеченные 2 месяца переломы шейки бедра все-таки не такая уж частая
        > болезнь.

        Да принципиальной разницы нет -- два месяца или два года. Нелеченный он и
        есть нелеченный. Покоем-то таз лечили? Вот и перелом начал срастаться...
        "Природа не ждет лекаря..."

        Удач!

        Казеннов


        [ Ответить ]
        • Re: Нелеченный перелом шейки бедра
          Отправитель: Alexander Chelnokov 15 Октябрь 2005, 00:53
          Лтт> А он, этот "нормальный", у каждого свой. Насколько сейчас шейка в
          Лтт> варусе-то?

          Варус тут за счет сдвига дистального отломка проксимально. Край шейки на периферическом отломке виден ведь хорошо.

          Лтт> По гвоздю классно входит трансплантат -- рядом с ним. По винту не пройдет
          Лтт> такой фокус...

          А трансплантат-то к чему? Какую проблему он решает?

          Лтт> Вот поэтому я и спросил про ШДУ! Закрыто отрепонировать,

          Это малореально при такой картине формирующегося сращения.

          Лтт> ввести гвоздь и параллельно ему трансплантат.

          По-моему, такого рода вмешательство даже с менее грубым фиксатором, чем трехлопастный гвоздь, резко повысит шансы нна некроз головки.

          Лтт> А про укорочение ни слова не было...

          Так его видно на фасном снимке.

          Лтт> Это та, которая не спонгиозная. Проблему несращения.

          Да похоже, тут скорее проблема неправильного сращения.

          Лтт> Да принципиальной разницы нет -- два месяца или два года. Нелеченный он и
          Лтт> есть нелеченный. Покоем-то таз лечили? Вот и перелом начал срастаться...

          В два года как раз разница будет более принципиальная - либо срослось, либо ложный сустав. А сейчас - непрвильно, но срастающийся.

          [ Ответить ]
          • Re: Нелеченный перелом шейки бедра
            Отправитель: Vitaly Kazyonnov 15 Октябрь 2005, 15:21
            > Варус тут за счет сдвига дистального отломка проксимально.

            За счет чего варус это понятно, и, кстати, не только за счет того, о чем Вы пишете, но не в этом дело. Вопрос был -- КАКОВ этот самый варус по сравнению со здоровой стороной. Создается впечатление, что пленку экономим, и оба сустава, как положено, не снимаем...

            > А трансплантат-то к чему? Какую проблему он решает?

            Трансплантат к сращению!

            > Это малореально при такой картине формирующегося сращения.

            А это как делать! Там что, все настолько срослось, что градусов на 15 не отведется? Если постараться?
            Одни говорят про формирующееся сращение -- а другие про формирующийся ложный сустав.

            > По-моему, такого рода вмешательство даже с менее грубым фиксатором,
            > чем трехлопастный гвздь, резко повысит шансы нна некроз головки.

            Да, риск есть, согласен. А что гвоздь так уж сильно груб -- это, извините, лирика. Можно и винтами раскурочить головку -- мама не горюй! А некрозы головок бывают при остеопоротических переломах, когда головка и без перелома была близка к некрозу. У парня травма адекватная, не геронтологическая, -- с чего бы у него головка начала некротизироваться?

            > Так его видно на фасном снимке.

            А где здоровый сустав? Может у парня особой и разницы-то нет?

            > Да похоже, тут скорее проблема неправильного сращения.

            Это срасталось, пока он таз лечили. Даст нагрузку -- все рассосется как положено и будет ложный сустав классического вида...

            > А сейчас - непрвильно, но срастающийся.

            Ну-ну... блажен кто верует! Оптимизм врача -- не повод для выбора наименее трудоемкого способа лечения.

            [ Ответить ]
            • Re: Нелеченный перелом шейки бедра
              Отправитель: Alexander Chelnokov 15 Октябрь 2005, 17:00
              Лтт> Вы пишите, но не в этом дело. Вопрос был -- КАКОВ этот самый варус по
              Лтт> сравнению со здоровой стороной.

              Градусов на 25 больше.

              Лтт> Создается впечатление, что пленку экономим, и оба сустава, как
              Лтт> положено, не снимаем...

              Есть обзорный снимок таза, но не под рукой.

              Лтт> Трансплантат к сращению!

              Это больше из разряда добрых пожеланий. Фиксатор можно и попрочнее нвйти, чем кортикальный трансплантат без сосудистой ножки.

              Лтт> А это как делать! Там что, все настолько срослось, что градусов на 15 не
              Лтт> отведется? Если постараться?

              Можно разломать, конечно, но это нарушит все сосудистые связи, контакта хорошего в новом положении закрыто не добиться, концы отломков уже давно неконгруэнтны.

              Лтт> Одни говорят про формирующееся сращение -- а другие про формирующийся
              Лтт> ложный сустав.

              Если нагрузку на ногу ограничить еще на 2-3-4 месяца, скорее всего, срастется как есть.

              >> чем трехлопастный гвздь, резко повысит шансы нна некроз головки.
              Лтт> Да, риск есть, согласен. А что гвоздь так уж сильно груб -- это, извините,
              Лтт> лирика. Можно и винтами раскурочить головку -- мама не горюй!

              Гвоздем это будет всегда, а нормальным фиксатором надо постараться.

              Лтт> А некрозы головок бывают при остеопоротических переломах, когда
              Лтт> головка и без перелома была близка к некрозу.

              Остеопороз к некрозу имеет мало отношения, поскольку порозной кость становится, будучи хорошо кровоснабжаемой, а некроз - он как раз аваскулярный.

              Лтт> У парня травма адекватная, не геронтологическая, -- с чего бы у
              Лтт> него головка начала некротизироваться?

              От повреждения проходящих через шейку бедра питающх сосудов.

              Лтт> А где здоровый сустав? Может у парня особой и разницы-то нет?

              Да как же нет, если головка сползла на 2 см дистальнее и кзади.

              Лтт> Это срасталось, пока он таз лечили. Даст нагрузку -- все рассосется как
              Лтт> положено и будет ложный сустав классического вида...

              Нагрузку ограничить - проблем нет.

              >> А сейчас - непрвильно, но срастающийся.
              Лтт> Ну-ну... блажен кто верует! Оптимизм врача -- не повод для выбора наименее
              Лтт> трудоемкого способа лечения.

              Так вот и обсуждаем - то ли досрастить шейку в положении как есть, с дополнительной фиксацией или без нее, то ли пойти на реконструкцию проксимального отдела бедра.


              [ Ответить ]
              • Re: Нелеченный перелом шейки бедра
                Отправитель: Vitaly Kazennov 16 Октябрь 2005, 11:43
                > Градусов на 25 больше.

                Так в этом-то и дело! Если так срастется -- инвалидность второй группы по коксартрозу как раз к выборам 2008 года и подоспеет...

                > Есть обзорный снимок таза, но не под рукой.

                Понял.

                > Это больше из разряда добрых пожеланий.

                Других не держим:)

                Фиксатор можно и попрочнее
                > нвйти, чем кортикальный трансплантат без сосудистой ножки.

                Основной фиксатор в моем предложении -- стержень, а трансплантат -- дополнительно чтобы не крутилось и чтобы ... некрогормоны образовывались
                -- привлекают остеобласты, видите ли... И ангиогенез резвее происходит в
                условиях наличия трансплантата...

                > Можно разломать, конечно,

                Зачем разламывать так уж? На мягкой мозоли никогда не репонировали разве? Все сосуды на месте, регенерат изгибаем -- и все дела!

                > но это нарушит все сосудистые связи,

                Пустые страхи! Там достаточно мощная сосудистая сеть сейчас, не бойтесь!

                > контакта хорошего в новом положении закрыто не добиться, концы > отломков уже давно неконгруэнтны.

                Вот и я про то же! Лизис шейки он и есть лизис, какого сращения Вы сейчас хотите?

                > Если нагрузку на ногу ограничить еще на 2-3-4 месяца, скорее всего,
                > срастется как есть.

                Как Вы себе понимаете "ограничение нагрузки"? Режущие моменты в зоне контакта куда денутся даже при физиологических движениях молодого здорового сытого организма?
                И еще мне нравится "скорее всего" -- в приложении к сращению в положении пастушьей палки. За четыре месяца неправильно срастим, потом похромаешь
                годиков 2-4-6, потом железяку засандалим -- будь здоров! Это же не старичок 70 лет, у него бедро-то было здоровое! Поправьте угол, фиксируйте закрыто чем вам нравится, хоть и без трансплантата -- и судьба распорядится реваскуляризацией головки... Или ее некрозом... Но сразу сейчас осеотомию -- ???

                > Гвоздем это будет всегда

                Доказательства? Три щели типа эмблемы Мерседеса -- и весь урон...

                > Да как же нет, если головка сползла на 2 см дистальнее и кзади.

                Головка? Дистальнее? М-м-м... странно... С чего бы это?

                > Нагрузку ограничить - проблем нет.

                Насколько ограничить? Чем? Как? Вы себя в такой роли представляете?
                Кокситная повязка? Скелетное? Костыли? Да там же все при каждом шевелении шевелится тоже -- как оно срастется?

                > Так вот и обсуждаем - то ли досрастить шейку в положении как есть, с
                > дополнительной фиксацией или без нее, то ли пойти на реконструкцию
                > проксимального отдела бедра.

                А третий вариант -- поправить и фиксировать закрыто? Ну что уж так сразу -- "реконструкция"! Звучит красиво, примерно как "реформирование системы здравоохранения", а если со стороны посмотреть -- перерубание живого с внедрением инородного. Зато снимок красивый будет -- почти как заграничный в этой же дскуссии, только без суставной щели, вот в чем беда, а так все класс...

                Удачи!

                Казеннов

                [ Ответить ]
                • Re: Нелеченный перелом шейки бедра
                  Отправитель: Alexander Chelnokov 16 Октябрь 2005, 22:26
                  Лтт> Так в этом-то и дело! Если так срастется -- инвалидность второй группы по
                  Лтт> коксартрозу как раз к выборам 2008 года и подоспеет...

                  То есть аргумент в пользу вальгизирующей остеотомии.

                  Лтт> -- привлекают остеобласты, видите ли... И ангиогенез резвее происходит в
                  Лтт> условиях наличия трансплантата...

                  Сказки это все... Разве что на сосудистой ножке трансплантат.

                  Лтт> Зачем разламывать так уж? На мягкой мозоли никогда не репонировали разве?
                  Лтт> Все сосуды на месте, регенерат изгибаем -- и все дела!

                  Это дистракционный регенерат гнется, а тут тесный контакт в одном
                  положении надо будет перевести в такой же тесный, но на 2 см в
                  стороне. То есть все срежется.

                  Лтт> Пустые страхи! Там достаточно мощная сосудистая сеть сейчас, не бойтесь!

                  Вот и лучше ее не разобщать, похоже. А если устранять варус, то
                  дистальнее.

                  Лтт> Вот и я про то же! Лизис шейки он и есть лизис, какого сращения Вы сейчас
                  Лтт> хотите?

                  Практически все сращения шейки идут на фоне лизиса. Как раз свойство
                  телескопирования у DHS и спонгиозных винтов тут и пригождается.

                  Лтт> Как Вы себе понимаете "ограничение нагрузки"? Режущие моменты в зоне
                  Лтт> контакта куда денутся даже при физиологических движениях молодого

                  Костыли, нагрузка только "весом ноги". Раз за 2 месяца не развалилось,
                  и даже признаки сращения есть, без чрезмерных нагрузок оно имеет все
                  шансы завершиться.

                  Лтт> И еще мне нравится "скорее всего" -- в приложении к сращению в положении
                  Лтт> пастушьей палки. За четыре месяца неправильно срастим, потом похромаешь

                  Вот и вопрос - приемлемо ли, если срастется в этом положении.

                  Лтт> старичок 70 лет, у него бедро-то было здоровое! Поправьте угол, фиксируйте
                  Лтт> закрыто чем вам нравится, хоть и без трансплантата -- и судьба
                  Лтт> распорядится реваскуляризацией головки...

                  Реваскуляризация и в том положении будет.

                  Лтт> Или ее некрозом... Но сразу сейчас осеотомию -- ???

                  Не могу понять этого неприятия остеотомии - что с ней не так,
                  по-Вашему? Ее и при некоторых свежих переломах не грех сделать.

                  >> Гвоздем это будет всегда
                  Лтт> Доказательства? Три щели типа эмблемы Мерседеса -- и весь урон...

                  В "Ортопедии и травматологии" много лет назад была статья с
                  фотгографиями срезов головки после гвоздей. Щели - это от гвоздей с
                  более изящными лопастями, чем SP.

                  >> Да как же нет, если головка сползла на 2 см дистальнее и кзади.
                  Лтт> Головка? Дистальнее? М-м-м... странно... С чего бы это?

                  А куда ж ей по бедру ползти? Культя шейки на дистальном отломке
                  уходит проксимально и кнаружи, а на головке - входит в
                  контакт с более дистальным и дорсальным участком.

                  >> Нагрузку ограничить - проблем нет.
                  Лтт> Насколько ограничить? Чем? Как? Вы себя в такой роли представляете?
                  Лтт> Кокситная повязка? Скелетное? Костыли? Да там же все при каждом шевелении

                  Костыли. Сейчас там подвижности уже нет.

                  Лтт> А третий вариант -- поправить и фиксировать закрыто?

                  Вариант плох тем, что разобщится то, что уже срослось, и так плотно не
                  сопоставится.

                  Лтт> снимок красивый будет -- почти как заграничный в этой же
                  Лтт> дскуссии, только без суставной щели, вот в чем беда, а так все

                  Операция внесуставная, суставная щель-то при чем?

                  [ Ответить ]
    Re: Нелеченный перелом шейки бедра
    Кучерявый Игорь 15 Октябрь 2005, 13:11
    Даже спонгиозные винты могут нарушить кровообращение в головке, да и с какой целью их вводить? Не разваливая перелом фиксировать? Так он вроде пытается сам срастись. Репозиция увеличивает шансы вызвать некроз. Мне кажется, лучше консервативно. А сейчас, когда происходит организация компенсаторного кровообращения в головке бедра любое оперативное вмешательство может навредить. Через 4-6 месяцев после травмы, если не рассосется, можно выполнить туннелизацию шейки бедра (мы делаем канал в шейке сверлом 5-8 мм, заполняем его спонгиозной костью) - мож и поможет, во всяком случае боли уменьшаются в начальных стадиях асептического некроза почти у всех.
    С ув. Игорь.
    [ Ответить ]

    Re: Нелеченный перелом шейки бедра
    Djoldas Kuldjanov 15 Октябрь 2005, 13:51
    При явно выраженном варусе и флексионных состояниях после сросшихся переломов шейки бедра у молодых рекомендуется реконструктивная операция по исправлению варуса для предотвращения раннего деформирующего артроза, приводящего в результате переднего импинжмента, как показано на снимке.

    Межвертельная вальгусная остеотомия представляет наименьший риск среди всех реконструктивных операции в проксимальной части бедра, создавая наилучшие биомеханические условия (увеличивается сила абдукторов, увеличивается сила суставной реакции, уменьшение рычага моментов абдукторов и уменьшение скольжения) и при меньшем риске повреждения кровоснабжения головки, где обычно в 90% случаях достигается отличный результат при применении метода для лечения ложных суставов шейки бедра.

    После вальгусных межвертельных операции уже через 2 месяца можно получить результат (predicted outcome), а когда после спонгиозных шурупов результат надо ждать не менее 3-4 месецев, а иногда при свежих переломах сращение в шейке бедра наступает не раньше 5-6 месяцев, тем более при таком варусе спонгиозная фиксация не гарантирует дальнейшее скольжение перелома и ухудшения варуса.

    Любые васкуляризованные: quadratus femoris muscle pedicle graft (MPG), anterior trochanteric muscle pedicle graft, (VFG) vascular fibular graft операции сложные по исполнению и дорогие по стоимости.

    От рекомендуемого коллегами костного трансплантата можно отказаться сразу, из-за отсутствия биологической пользы, а механику можно достичь обычными спонгиозными шурупами.

    По моему, 120 градусная угловая пластина blade plate решит все проблемы, только необходим предварительный расчет угла остеотомии, и во время фиксации пластины не забыть латерализацию бедра, иначе ось конечности от варуса перейдёт в нежелательный вальгус.

    Для предупреждения вальгуса клинок пластины берется на 10-12 мм длиннее чем предварительный туннель на головке, тогда во время
    фиксации за бедро пластина автоматически приблизит бедро и происходит латерализация бедра. Если между клинком и латеральным кортексом бедра положить частицу кости от остеотомии тогда образуется дополнительная компрессия на фокусе несращения.

    Здесь мои диаграммы для расчета угла остеотомии и латеризации бедра.






















    Djoldas Kuldjanov, MD
    Department of Orthopedic Surgery
    St. Louis University Medical Center
    [ Ответить ]

    • Re: Нелеченный перелом шейки бедра
      Отправитель: Vitaly Kazennov 16 Октябрь 2005, 11:31
      Уважаемый Джолдас, коллеги!

      Восхищаясь уровнем доказательности, не могу не заметить, что речь первоначально шла о двухмесячном НЕСРОСШЕМСЯ переломе шейки. Так что, так сразу остеотомию?

      Казеннов

      PS What is "Сила суставной реакции"?

      В.К.

      [ Ответить ]
      • Re: Нелеченный перелом шейки бедра
        Отправитель: Alexander Chelnokov 16 Октябрь 2005, 16:01
        Глубокоуважаемый Виталий Евгеньевич,

        Sunday, October 16, 2005, 6:22:31 AM, you wrote:

        > первоначально шла о двухмесячном НЕСРОСШЕМСЯ переломе шейки. Так что, так
        > сразу остеотомию?

        Вальгизирующая остеотомия может быть использована не только при псевдартрозе или несросшемся-неправильно срастающемся переломе, как тут, а и вовсе при свежей травме. При вертикальных переломах полезно срезающее усилие перевести в компрессирующее за счет переориентации.
        Pauwels когда еще это предложил - лет 60 назад, видимо?

        Лтт> PS What is "Сила суставной реакции"?

        Что-то типа "силы реакции опоры" в сопромате
        ============================================
        Joint Reaction Force
        not the same as joint forces

        "the equal and opposite forces that exist between adjacent bones at a joint caused by the weight and inertial forces of the two segments."

        "...a fairly abstract concept useful in mathematical analysis but not much use in practice" (Rodgers & Cavanagh, 1984).

        Rodgers, M.M., & Cavanagh, P.R. (1984). Glossary of biomechanical terms, concepts, and units. Physical Therapy, 64, 1886-1902.
        ==============================================

        [ Ответить ]
    Re: Нелеченный перелом шейки бедра
    Alexander Rykov 15 Октябрь 2005, 15:23
    Однако шейка частично уже лизировалась, однако головка сьехала, однако как ее самочувствие - "голодает" или терпимо? Получил бы поболе информации, и ... наверное вмешался бы открыто с жесткой фиксацией (ну конечно же не гвоздем SP) и может остеотомией или притянул бы другой источник кровоснабжения. Не грех вспомнить остеотомии по Колесникову с медиализацией опорой под линию перелома и фиксацией ангулярной пластиной. Если головка "погибнет" от аваскулярного некроза тогда все ясно - эндопротез. А Рыков.
    [ Ответить ]

    • Re: Нелеченный перелом шейки бедра
      Отправитель: Vitaly Kazennov 16 Октябрь 2005, 11:16
      > Однако шейка частично уже лизировалась,

      Во-во, и я про то же. А Александр Николаевич -- "срастается, срастается". Да так может срастаться до выборов нового президента...

      > Получил бы поболе информации, и
      > ... наверное вмешался бы

      По IP-протоколу? Не потянет, однако...

      > открыто

      Открыто???

      > с жесткой фиксацией

      Ну это само собой! :) С жесткой! Как же мы можем с полужесткой!
      Раздербанить там все в фаршмак -- вот и готовый пациент для эндопротеза;)

      Казеннов



      [ Ответить ]
    Re: Нелеченный перелом шейки бедра
    Виктор П. Волошин 15 Октябрь 2005, 21:47
    Если есть опыт межвертельной остеотомии, то лучше не придумаешь, иначе остается высокая вероятность несращения. При такой Ртг картинке после операции мы ни разу не наблюдали АНГБК, даже если открывали перелом спереди для хорошей ориентации.
    ВВП, МОНИКИ
    [ Ответить ]

    Re: Нелеченный перелом шейки бедра
    Bacal Tommy 15 Октябрь 2005, 23:41
    How long since the initial injury?
    Fracture position suggests screw fixation as is.
    By the way, fracture pattern suggests Paget's dis.

    Dr. Bacal Tommy
    Tel Mond
    ISRAEL
    [ Ответить ]

    Re: Нелеченный перелом шейки бедра / Neglected fem
    Erden K?l?c 16 Октябрь 2005, 00:03
    I would leave it as it is. Because surgical intervention will not be able to prevent osteonecrosis if it is going to be. MRI may be helpful to determine union if there is any and also gives an idea about the viability of the head.

    Erden K?l?c, MD
    Gulhane Military Medical Academy
    Ankara, Turkey
    [ Ответить ]

    Re: Нелеченный перелом шейки бедра / Neglected fem
    V. M. Iyer 16 Октябрь 2005, 00:14
    Dynamic hip screw with abduction osteotomy with an additional cancellous screw

















    Vishu
    Dr V M Iyer
    [ Ответить ]

    • Re: Нелеченный перелом шейки бедра / Neglected fem
      Отправитель: Vitaly Kazennov 16 Октябрь 2005, 11:18
      > Dynamic hip screw with abduction osteotomy with an additional cancellous
      > screw

      Put attention at the joint condition, please.
      And what about pain and function?

      Vitaly Kazennov
      Kahabarovsk, Russia

      [ Ответить ]
    Re: Нелеченный перелом шейки бедра / Neglected femoral neck #
    Александр Ельцин 16 Октябрь 2005, 01:20
    Александр, если так остро стоит вопрос "сращение или нет", может сделать КТ?
    Опять наша дискуссия ушла далеко в технические детали, а объективной оценки состояния данной патологии нет!
    [ Ответить ]

    • Re: Нелеченный перелом шейки бедра / Neglected fem
      Отправитель: Alexander Chelnokov 16 Октябрь 2005, 21:46
      АЕ> Александр, если так остро стоит вопрос "сращение или нет", может
      АЕ> сделать КТ?

      В принципе, можно, и даже, наверно, нужно - просто из академизма. Хотя, по уже видимому, проблемы со сращением "как есть" не должно быть просто при временном ограничении нагрузки, и уж тем более при введении двух спонгиозных винтов.

      АЕ> Опять наша дискуссия ушла далеко в технические детали, а
      АЕ> объективной оценки состояния данной патологии нет!

      Не совсем так. Все-таки основной вопрос не "есть/будет ли тут сращение?" (IMHO ответ на оба вопроса "да"), а оставить ли все в таком положении, или устранять варус?

      [ Ответить ]
    Re: Нелеченный перелом шейки бедра / Neglected fem
    Sam 16 Октябрь 2005, 15:56
    Dear friend:
    If I were u , a DHS will be used to fix it. And I will tell the patient not to weight bearing from now on. It will accelerate the aseptic necrosis of the femoral head.
    [ Ответить ]

    Re: Нелеченный перелом шейки бедра / Neglected fem
    CHERIAN KOVOOR 16 Октябрь 2005, 17:47
    Alex
    the best option is valgus osteotomy with DHS and also additional canceelous screw fixation. the idea is to convert vertical shear foeces to horriszontal
    compressive force

    DR C CHERIAN KOVOOR
    KOCHI
    INDIA
    [ Ответить ]

    Re: Нелеченный перелом шейки бедра / Neglected femoral neck #
    Дрягин В. 16 Октябрь 2005, 23:39
    На мой взгляд шансов на сращение практически нет.Но тем не менее сейчас необходимо мне кажется лечить только оперативно.Причём являясь противником межвертельных остеотомий считаю что здесь надо оперировать либо канюлированными винтами либо DHS фиксатором на выбор доктора малоинвазивно без репозиции. Репозиция может сейчас только навредить.Скорей всего шейка не срастётся поэтому в дальнейшем, если сделать остеотомию могут быть большие проблемы при эндопротезировании, которым закончится в скорости поэтому лучше не создавать себе проблем.Тем более что качество жизни после межвертельных остеотомий очень скромное мягко говоря.С уважением
    [ Ответить ]

    • Re: Нелеченный перелом шейки бедра / Neglected fem
      Отправитель: Alexander Chelnokov 17 Октябрь 2005, 00:10
      ДВ> На мой взгляд шансов на сращение практически нет.

      Да вроде почти срослось уже...

      ДВ> либо DHS фиксатором на выбор доктора малоинвазивно без репозиции.
      ДВ> Репозиция может сейчас только навредить.

      Вот насчет репозиции - трудно не согласиться.

      ДВ> остеотомию могут быть большие проблемы при эндопротезировании,

      Остеотомия, описанная Marti (1989), и о которой нам напоминает Джолдас, как раз хороша тем, что не создает проблем при эндопротезировании.

      ДВ> проблем.Тем более что качество жизни после межвертельных
      ДВ> остеотомий очень скромное мягко говоря.

      Это, наверно, относится к медиализирующим остеотомиям при коксартрозе. У обсуждаемой операции как раз результаты хорошие у 80%.

      [ Ответить ]
    Re: Нелеченный перелом шейки бедра / Neglected fem
    Djoldas Kuldjanov 17 Октябрь 2005, 00:27
    Уважаемые Виталий, Александр и коллеги,

    Спасибо за отзыв, конечно, мои рекомендации более радикальные, нежели чем переждать какое то время и надеется на сращение, хотя в данном случае перелом шейки уже или почти сросся.

    «независимо от метода лечения и фиксации внутрисуставные переломы шейки бедра осложняются ложными суставами, при фиксации шурупами до 14%, а при фиксации динамическими компрессирующими конструкциями (DHS, CHS) процент осложнении достигает 57%, в первую очередь зависят от репозиции и жесткости фиксации, исследования (Barnes et al) на 844 переломах шейки бедра показали, что степень сращения не зависела от уровня перелома: проксимально или дистально в шейке» (из доклада на конференции памяти профессора Сиваша "Современные Технолгии в
    Траматологии и Ортопедии" Москва 17-18 мая 2005)

    Из 14% осложненных после перелома шейки нуждаются в коррегирующих или восстановительных операциях. В данном случае речь не идет о сращении перелома, а задача состоит в том, что необходимо предотвратить осложнения после сращения, даже небольшая сгибательная деформация на шейке (на боковом снимке) и варус впоследствии могут создать большую проблему по импинжменту и образованию раннего артроза.

    Кстати, начальные стадии остеонекроза головки не являются противопоказанием к межвертельной остетомии, наоборот операция улучшает биомеханику и создает благоприяные условия для сращения.
    В своих работах (1) Marti RK, Schuller HM, Raaymakers EL; Intertrochanteric osteotomy for non-union of the femoral neck.; J Bone Joint Surg [Br] 1989 Nov;71(5):782-7 “Of the other 19 patients with evidence of avascular necrosis at the time of osteotomy, 17 had a full follow-up examination: the Harris Hip Score averaged 85; the Merle d'Aubigne score gave 13 (76%) good or excellent results and 15 (88%) were satisfied or very satisfied”,
    (2) Maistrelli G, Fusco U, Avai A, Bombelli R;
    Osteonecrosis of the hip treated by intertrochanteric osteotomy. A four- to 15-year follow-up.; J Bone Joint Surg [Br] 1988 Nov;70(5):761-6
    “We have reviewed the results of 106 intertrochanteric osteotomies performed for osteonecrosis of the femoral head. The average age at operation was 47.5 years. At two years from operation 71% of the hips had a clinically satisfactory result and at final follow-up,
    an average of 8.2 years after operation, 58% continued
    to have excellent or good rating)”

    Межвертельная остеотомия менее травматична из-за внесуставного вмещательства, возможны раннее д вижение в суставе сразу после операции, и нагрузка после 3-4 недели, что дает хорошие функциональные
    результаты, чем долгое ожидания при спонгиозной фиксации без исправления деформации.


    Конечно, нужен определенный опыт по расчету при планировании операции. Я уверен что для коллег технические вопросы операции AO Blade plate
    technique не являются сложными, и без боязни на раскол головки или дополнительные повреждения можно исполнить операцию (кстати Др. Волошин из Москвы продемонстрировал прекрасные результаты
    межвертельной остеотомии в прошлых дисскусциях)


    Мои рекомендации не являются абсолютными, думаю, что будут приняты соответсвующее местные коррекции, которые зависят от оснащения, опыта лечения, а мои рекомендации были обоснованы результатами многолетних занятий по проблемам проксимальной части бедра и тазобедренного сустава, в частности проблемами сращения перелома шейки бедра и импинжмент синдромом.


    С уважением,

    Джолдас Кульджанов

    Djoldas Kuldjanov, MD
    Department of Orthopedic Surgery
    St. Louis University Medical Center
    [ Ответить ]

    Re: Нелеченный перелом шейки бедра / Neglected fem
    Stephen Kottmeier 17 Октябрь 2005, 21:05
    friend
    dhs will not correct improper biomechanical environment and may further compromise vascular
    integrity consider establish vascular status via mri
    and if viable follow with proximal valgus osteotomy
    case provided s/p failed fixation


















    Stephen Kottmeier
    [ Ответить ]

    • Re: Нелеченный перелом шейки бедра / Neglected fem
      Отправитель: Peter Trafton 17 Октябрь 2005, 21:21
      I think that this 31 yo deserves a try with valgus osteotomy, as so nicely illustrated by stephen kottmeier. However, I'd do it no matter what an MRI shows - thus why bother with the MRI? (What sort of data support MRI's ability to predict segmental collapse?)

      /pgt

      [ Ответить ]
    Re: Нелеченный перелом шейки бедра / Neglected fem
    Abdukahhar Babakulov 23 Октябрь 2005, 13:48
    По поводу нелеченного перелома шейки бедра
    Учитывая молодой возраст и возможные осложнения оперировать - биостимуляция 2 или 3 аутотрасплантатами взятыми из малоберцовой кости

    С уважением Бабакулов Абдукаххар Усманович.
    [ Ответить ]

    • Re: Нелеченный перелом шейки бедра / Neglected fem
      Отправитель: Alexander Chelnokov 23 Октябрь 2005, 20:45
      Пациент внезапно выдал язвенное кровотечение. Вероятно, оперативное лечение придется отложить.

      [ Ответить ]
    • Re: Нелеченный перелом шейки бедра / Neglected fem
      Отправитель: Vitaly Kazennov 23 Октябрь 2005, 20:46
      Согласен, что костная пластика здесь показана. Но почему Вы считаете, что нужно брать из малоберцовой кости? У нас используют большеберцовую.

      С наилучшими пожеланиями,
      Виталий Евгеньевич Казеннов, Хабаровск

      [ Ответить ]

     

    ( Ответить )

    Powered by Zope  Squishdot Powered MedLink
    Посетитель: 0187791
      "По форме правильно, а по существу - издевательство" В.И.Ленин
    ©2001-2019Orthoforum Coordinator.
    [ Главная | Отправить сообщение | Поиск | Админ ]