ВХОД ДЛЯ ПАЦИЕНТОВ
вверх
поиск
админ
главная
исходное
|
Re: Дистальный перелом бедра после эндопротезирова
послал Alexander Chelnokov 03 Ноябрь 2005, 21:12
|
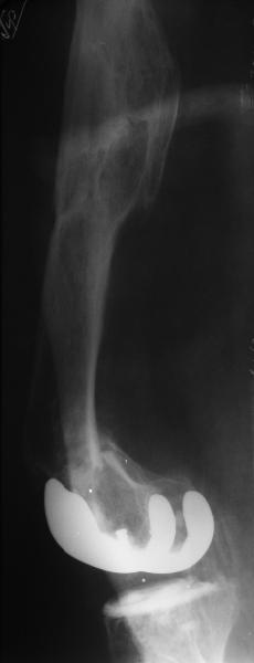
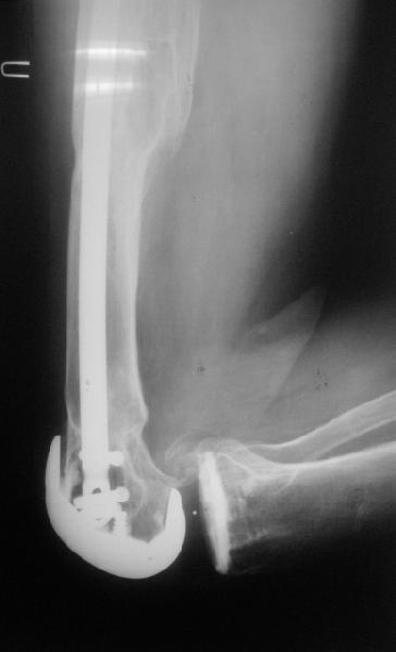
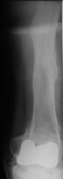
Видимо, самое "модное" на сегодня - малоинвазивный остеосинтез пластиной с угловой стабильностью. Распространенный вариант и закрытый интромедуллярный остеосинтез ретроградно. Хотя у нас было бы сделано антеградно - лешево и сердито, действительно малоинвазивно, в сустав не надо влезать. Нет риска прорезания порозной кости с миграцией в сустав, что возможно при ретроградном - гвоздь вводится через вырез в бедреннм компоненте, туда же может и вывалиться. А антеградный - упрется в протез. Как раз вчера заходил больной через полтора года после такой операции. Снимки в приложении.

|
| Послать ответ |
Обратите внимание: Поля с жирными названиями обязательны.
Старайтесь отвечать в рамках обсуждаемой темы, а не начинать новые обсуждения.
Указывайте адекватную тему сообщения, чтобы было ясно, о чем оно.
Не послайте сообщений не по теме (оффтопик), раздраженных, грубых или обидных комментариев. Здесь это неуместно.
|