вверх
отправить
поиск
админ
главная
|
Дистальный перелом бедра после эндопротезирования. |
 |
 |
 |
Отправлено Кучерявый Игорь 03 Ноябрь 2005, 15:30 Сергиево-Посадская районная больница.
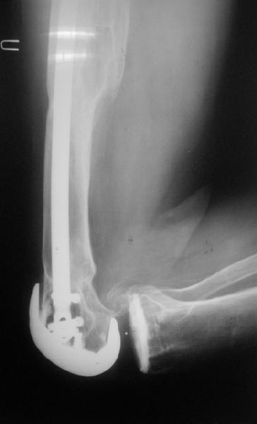
Добрый день! В нашу больничку поступил пациент после бытовой травмы - упал, подвернув ногу. На RG-граммах перелом дистального метаэпифиза бедренной кости. Пациент спутанно рассказывает, где и как он лечился раньше.10 лет назад - коррегирующая остеотомия по поводу деформирующего артроза коленного сустава, 3 года назад в 1 градской больнице г. Москвы выполнено эндопротезирование коленного сустава,площадка большеберцовой кости, со слов пациента, деформировалась около года назад (на фоне остеопороза). Сейчас получил травму в результате падения с высоты собственного роста.Что посоветуете?
<
|
>
|
|
Ответить
|
Re: Дистальный перелом бедра после эндопротезирова
Alexander Chelnokov 03 Ноябрь 2005, 21:12
|
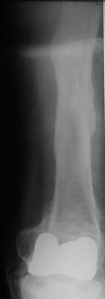
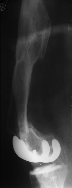
Видимо, самое "модное" на сегодня - малоинвазивный остеосинтез пластиной с угловой стабильностью. Распространенный вариант и закрытый интромедуллярный остеосинтез ретроградно. Хотя у нас было бы сделано антеградно - лешево и сердито, действительно малоинвазивно, в сустав не надо влезать. Нет риска прорезания порозной кости с миграцией в сустав, что возможно при ретроградном - гвоздь вводится через вырез в бедреннм компоненте, туда же может и вывалиться. А антеградный - упрется в протез. Как раз вчера заходил больной через полтора года после такой операции. Снимки в приложении.

|
[
Ответить ]
|
Re: Дистальный перелом бедра после эндопротезирования.
katsevman dr israel 05 Ноябрь 2005, 20:08
|
на снимке признаки loosening и тибиального и феморального компонентов я думаю нужна ревизия если нет возможностей то артродез и конечно исключить инфекцию . успехов .
|
[
Ответить ]
|
Re: Дистальный перелом бедра после эндопротезирова
Отправитель: Alexander Chelnokov 06 Ноябрь 2005, 00:45
|
Из представленной информации не складывается впечатление о явной нестабильности накануне этого перелома.
Может быть, все-таки сначала постараться достичь сращения только что полученного перелома, а потом уже с нуля оценить ситуацию? Или оптимально (и технически удобно) заменить протез прямо сейчас?
|
[
Ответить ]
|
|
Re: Дистальный перелом бедра после эндопротезирования.
Денис Елкин 06 Ноябрь 2005, 17:28
|
Учитывая высокую вероятность уже имеющейся нестабильности тибиального компонента и развившуюся при травме нестабильность бедренного, имеет смысл удаление обоих компонентов, реэндопротезирование конструкцией, имеющей возможность интрамедуллярного закрепления на длинном стержне (NexGen LCCK (Zimmer), AGC (Biomet), RT-Solution (Plus Endoprosthetik) и т.п.), параллельно выполнить остеосинтез винтами, серкляжами, пластиной - что окажется лучше, решить во время операции.
С уважением и наилучшими пожеланиями.
|
[
Ответить ]
|
Re: Дистальный перелом бедра после эндопротезирова
Отправитель: Alexander Chelnokov 06 Ноябрь 2005, 18:43
|
ДЕ> тибиального компонента и развившуюся при травме нестабильность
ДЕ> бедренного,
А откуда уверенность, что при травме бедренный компонент стал нестабильным?
|
[
Ответить ]
|
Re: Дистальный перелом бедра после эндопротезирова
Отправитель: Денис Елкин 08 Ноябрь 2005, 02:51
|
Мне представляется следующее: Если дистальный отдел бедра расколот и в сагиттальной и во фронтальной плоскостях, как видно на рентгенограммах, и при этом есть смещение отломков относительно друг друга и бедренного компонента эндоаротеза, разве от может оставаться стабильным? В случае отсутствия проблем с тибиальным компонентом, можно было бы надеяться только на остеосинтез и стабилизацию, но если предполагается ревизия в ближайшие месяцы/год, то не лучше ли за один раз решить несколько проблем?
|
[
Ответить ]
|
|
Re: Дистальный перелом бедра после эндопротезирования.
Кучерявый Игорь 07 Ноябрь 2005, 12:24
|
В нашей больнице эндопротезирование не проводится, опыта оперативного лечения такой патологии мы не имеем, поэтому лечился данный больной при помощи гипсовой повязки. Рекомендации поехать в областную больницу МОНИКИ или туда, где его оперировали принимает с неохотой, и вообще настоен оптимистично :)))
Что с ним делать дальше - вопрос...
|
[
Ответить ]
|
Re: Дистальный перелом бедра после эндопротезирова
Отправитель: Alexander Chelnokov 07 Ноябрь 2005, 22:32
|
КИ> МОНИКИ или туда, где его оперировали принимает с неохотой, и вообще
КИ> настоен оптимистично :)))
Главное, чтобы врачи были настроены серьезно, может, пациенту насроение получится передать.
КИ> Что с ним делать дальше - вопрос...
Перелом имеет хорошие шансы срастить и без операции, однако ось хорошая вряд ли при этом останется. Соответственно, можно будет ждать повторного перелома или нестабильности.
|
[
Ответить ]
|
|
Re: Дистальный перелом бедра после эндопротезирования.
Дрягин В. 07 Ноябрь 2005, 22:23
|
Абсолютно согласен с А.Челноковым, есть определённый опыт применения пластин с угловой стабильностью. Здесь очень хорошо подойдёт LCP DF, она хорошо адаптироваана по мыщелкам, а открытым способом вообще
прекрасно получится. В области дистального фрагмента можно провести до 6 винтов в конвергенции поэтому можно получить абсолютную стабильность, несмотря на короткий отломок.
С уважением
|
[
Ответить ]
|
( Ответить )
|
|