AOTRAUMA.ORG Центр Илизарова  

Ортопедия и травматология Общие вопросы/General questions Help Информационные технологии в медицине
 вверх
 отправить
 поиск
 админ
 главная


Последствия травмы
Ортопедия и травматология Отправлено Ринат Нургаянович Рахматуллин 14 Ноябрь 2005, 12:01 ГКБ N 13 г.Уфа.
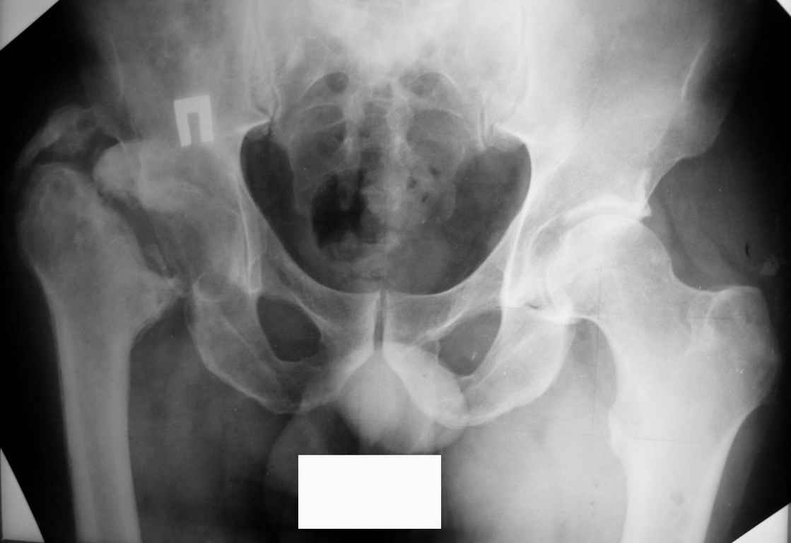
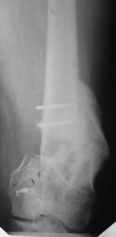
Уважаемые коллеги, прошу высказать ваши мнения по представленному случаю. Пациент - мужчина около 50лет после перенесенной год назад тяжёлой сочетанной травмы.
Был оперирован, среди прочего - остеосинтез DHS-фиксатором чреcшеечного перелома правого бедра, DCS-фиксатором остеосинтез оскольчатого чрезмыщелкового перелома левого бедра. Однако, в связи с развитием гнойного коксита были вынуждены убрать DHS-фиксатор и головку. Гнойный свищ правого тазобедренного сустава закрылся сразу после операции. Из-за вторичного смещения и поломки винтов пришлось удалить DCS-фиксатор и сращивать левое бедро внешней иммобилизацией. Прошло чуть более года. Пациент ходит с опорой на обе ноги,пользуется палочкой. Справа относительное укорочение 3см. Слева варус 33гр., тугой ложный сустав н/3бедра. Движения в коленных суставах почти в полном объёме.Перед нами встали вопросы, с чего начать? Протезирование правого ТБС? Восстановление опорности левой конечности? Воспользоваться-ли для этого интрамдулярным остеосинтезом гвоздём с блокированием с ретроградным введением? Стараться при этом восстановить полностью длину, или оставить на потом, на аппаратное решение? Или сразу попытаться использовать аппарат Илизарова? Но боимся потерять колено? Вопросов много.С благодарностью выслушаем все мнения.Заранее спасибоРахматуллин Ринат НургаяновичГКБ N 13 г.Уфа.

<  |  >

 

  • Сообщения о Ортопедия и травматология
  • Также Ринат Нургаянович Рахматуллин
  • Связаться с автором
  • Ответить

    Re: Последствия травмы
    Alexander Rykov 14 Ноябрь 2005, 19:11
    Ринат привет из Хабаровки. Я бы начал с правой ноги - там осбых вариантов нет - эндопротез тотальный и быстро возможно подпереть эту ногу полностью (2 месяца и пошел). Риски умеренные (имею в виду инфекцию). Затем сразу перейти на вторую ногу - там работы побольше и в плане вмешательств и в плане сроков востановления опоры и движения. Выбор фиксатора и технологии за Вами - чем лучше владеете - то и верно. Программа - 1. корекция оси, 2.сращение и 3.свободные движения в колене.

    С уважением А Рыков.
    [ Ответить ]

    Re: Последствия травмы
    Alexander Chelnokov 14 Ноябрь 2005, 21:54
    Приветствую, Ринат Нургаянович,

    Р> более года. Пациент ходит с опорой на обе ноги,пользуется палочкой. Справа
    Р> относительное укорочение 3см. Слева варус 33гр., тугой ложный сустав
    Р> н/3бедра. Движения в коленных суставах почти в полном объёме.
    Р> Перед нами встали вопросы, с чего начать? Протезирование правого ТБС?

    Коллега Рыков предлагает начать с него, но хорошо ли, если нога с эндопротезом потом будет перегружаться, будучи единственной опорной на время лечения второй ноги? Может, сначала окончательно восстановить опорность левой, а потом протезировать справа?

    Р> Восстановление опорности левой конечности? Воспользоваться-ли для этого
    Р> интрамдулярным остеосинтезом гвоздём с блокированием с ретроградным
    Р> введением?

    Если пытаться одномоментно и ретроградно - пробовали, закрыто так мобилизовать ложный сустав, чтобы восстановить ось и длину - нереально. А если все мобилизовать открыто, потеряем преимущества закрытого штифтования, да и обширная околуставная рана функции не способствует.

    Р> Стараться при этом восстановить полностью длину, или оставить на
    Р> потом, на аппаратное решение? Или сразу попытаться использовать аппарат
    Р> Илизарова? Но боимся потерять колено?

    Можно даже подумать, не сделать ли обе ноги в одну операционную сессию. Вернее, этап окончательной фиксации. Начать с наложения аппарата на левое бедро - если там и правда тугой псевдартроз, то закрыто, если все-таки есть сращение на ограниченном участке - чрескожно остеотомировать.
    Впрочем, все равно придется через небольшой разрез убирать обломки винтов, лучше воспользоваться специальными инструментами (если нет - корончатая фреза + втулка с резьбой и стопором, спросить в "Деосте"). Востановить аппаратом недели за 2 длину и ось. И вторым этапом перейти на интрамедуллярный остеосинтез. Причем можно и анте-, а не ретроградный. Если в аппарате все уже стоит ровно - это обычно довольно гладкая и предсказуемая процедура. Ну и тут же перейти на эндопротез. Если что-то не так, протез можно и позже, когда полностью восстановится опороспособность левой ноги.

    Р> Вопросов много.

    Задавайте, попробуем ответить...
    [ Ответить ]

    Re: Последствия травмы
    Дмитрий, ассистент кафедры травматологии и ортопедии. 15 Ноябрь 2005, 00:19
    Эндопротезирование правого тазобедренного сустава в условиях бывшего инфицирования рискованно, весьма вероятно нагноение эндопротеза. По моему мнению следует произвести корригирующую вальгизирующую остеотомию на высоте деформации ложного сустава левой бедренной кости с иссечением небольшого клина с основанием обращенным медиально (через зону ложного сустава без предварительного разделения костных фрагментов)и медиализацией диафиза бедра. Фиксация или пластиной с клинком на 95 градусов, или фиксатором типа DF - LCP. Доступ лучше расширенный с отсечением бугристости большеберцовой кости в месте прикрепления собственной связки надколенника и ее последующая рефиксация. После сращения решать вопрос о возможности удлинения правой голени в аппарате Илизарова для компенсации укорочения конечности.
    [ Ответить ]

    • Re: Последствия травмы
      Отправитель: Alexander Chelnokov 15 Ноябрь 2005, 09:51
      Д> клинком на 95 градусов, или фиксатором типа DF - LCP. Доступ лучше
      Д> расширенный с отсечением бугристости большеберцовой кости в месте
      Д> прикрепления собственной связки надколенника и ее последующая

      А зачем доступ со широким обнажением суставной поверхности при метафизарной локализации проблемы?

      [ Ответить ]
    • Re: Последствия травмы
      Отправитель: Alexander Rykov 15 Ноябрь 2005, 19:11
      Уважаемый Дмитрий.
      Риск инфекции справа = риску таковой слева. Если все было спокойно более 6 месяцев, то при соответствующей профилактике. риск инфекции 1 % (это в 10 раз выше среднего при первичном "чистом" протезировании). Весьма вероятно - не равнозначно возможно. Слово "если" и риски в нашей работе присутствуют всегда (а если произойдет нагноение слева при вашем плане, а если не срастется, а если все срастется через много много недель - и вдруг при удлинении справа (не понял, зачем удлинять при неопорной ноге - можно удлинять долгонько) наступит та же самая банальная злосчастная инфекция? Проблемы рисков и прогнозов всегда с нами.
      Решение о плане ведения никто не сможет принять кроме Вас и Вашего пациента (а он-то чего желает и ждет?, и сколько времени Вам дает на действие?, и
      какой запас его энергии и т.д. и т.п?.). Все мы, невзирая на регалии, не более как советчики. Решение принимать Вам, на основании Ваших знаний, умений, навыков, пристрастий, возможности уговорить, доказать свою правоту и др. др. Решение вы можете принять только с согласия Вашего пациента. Ежели он Вам доверяет полностью, дайте прочесть ему нашу переписку касаемо его здоровья. Он сам выберет, что он хочет. Интересная идея А Челнокова - сделать все (обе ноги в одну сессию). Опять-таки решение - за пациентом и Вами.

      С уважением, доцент кафедр травматологии и ортопедии Дальневосточного медуниверситета и института повышения квалификации врачей, главный травматолог-ортопед Дальневосточной железной дороги, заслуженный врач РФ Александр Рыков. (клейма ставить негде).
      А по сути доктор А Рыков.
      Хабаровка.

      [ Ответить ]
      • Re: Последствия травмы
        Отправитель: Alexander Chelnokov 15 Ноябрь 2005, 20:05
        Приветствую, Александр Геннадьевич, Ринат и коллеги

        Tuesday, November 15, 2005, 4:29:01 PM, you wrote:

        РАГ> спокойно более 6 месяцев, то при соответствующей профилактике. риск инфекции
        РАГ> 1 % (это в 10 раз выше среднего при первичном "чистом" протезировании).
        РАГ> Весьма вероятно - не равнозначно возможно.

        Все-таки одинакова ли схема периоперационной антимикробной профилактики/терапии у такого больного с "гнойным" анамнезом, и без него? Надо ли провести дополнительные исследования (какие?) для выявления очага дремлющей инфекции? Вот в наших краях кое-где популярно определение местного лейкоцитоза. Как кто относится к такому?

        РАГ> он Вам доверяет полностью, дайте прочесть ему нашу переписку касаемо его
        РАГ> здоровья. Он сам выберет, что он хочет.

        Захотеть-то он может еще и не то, поэтому IMHO лучше пусть ему на месте лечащий врач предложит не вообще все, а то, что из упомянутого реально можно сделать в конкретных условиях.

        РАГ> Вами. С уважением, доцент кафедр травматологии и ортопедии
        РАГ> Дальневосточного медуниверситета и института повышения квалификации врачей,
        РАГ> главный травматолог -ортопед Дальневосточной железной дороги, заслуженный

        Дочитывал стоя.

        [ Ответить ]
        • Re: Последствия травмы
          Отправитель: Alexander Rykov 17 Ноябрь 2005, 00:50
          Александр Николаевич. Это же шутка для душевного релекса. Тем и хорош NET, что полуанонимен. По поводу рисков инфекции - они всегда есть.
          Контроль за дремлющей инфекцией многогранен, но гарантий никаких (при всех вариантах клинико-лабораторного анализа). Существенными для принятия решения до операции считаются разные лабораторные тесты (кровь, местная кровь, острофазовые пробы, лихорадка), клиника, анамнез (нету инфекции клинически 3 и более мес). В ходе операции - биопсия и костная гистология с зоны вмешательства. Но риски будут всегда. Они не исчезнуть при вариантах начало левая нога, или обе или правая. У данного пациента можно делать и так и так и так. Я бы сделал сначала справа (все таки). Причина - быстрее реабилитация с подпиранием этой ноги, возможность опереться на левую временно и безболезненно и безопасно. В одну сесс ию - почему нет если здоровье позволит, но перерыв между большими вмешательствами нужен. Ну и
          материальное (металло) обеспечение операций.
          Спасибо за учебу - уже один гвоздь установили! (с Вашим дистрактором). Надеюсь не потребуете авторской компенсации.

          Простенько и со вкусом. С приветом А Рыков.

          Да забыл - можете сесть.

          [ Ответить ]

     

    ( Ответить )

    Powered by Zope  Squishdot Powered MedLink
    Посетитель: 0000134
      "По форме правильно, а по существу - издевательство" В.И.Ленин
    ©2001-2019Orthoforum Coordinator.
    [ Главная | Отправить сообщение | Поиск | Админ ]