ВХОД ДЛЯ ПАЦИЕНТОВ
вверх
поиск
админ
главная
исходное
|
Re: H.V. + Келер II?
послал Игорь Кучерявый 16 Декабрь 2005, 08:15
|
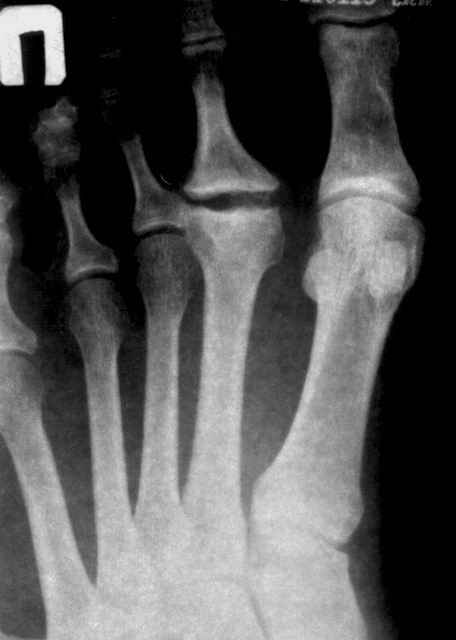
У меня была похожая пациентка - тоже с вальгусной деформацией, неуточненная травма 3 года назад. Обратилась по поводу болей в области головки 2 плюсневой кости, в течение 2-х месяцев. При осмотре - небольшая припухлость, движения в суставе в полном объеме, даже некоторая "разболтанность" отмечается. Боли усиливались в основном при ходьбе на каблуке, когда увеличивалась нагрузка на головку плюсневой кости. У неё были более выраженные изменения на Rg-грамме (во вложении), а здесь - только если в прямой проекции (справа) можно заподозрить некоторую уплощенность головки...

Боли прошли после курса Цель Т, внутрисуставно и вокруг. Rg-грамма осталась прежней. Уже 3 месяца не появляется.
--
С уважением, Игорь Кучерявый.
|
| Послать ответ |
Обратите внимание: Поля с жирными названиями обязательны.
Старайтесь отвечать в рамках обсуждаемой темы, а не начинать новые обсуждения.
Указывайте адекватную тему сообщения, чтобы было ясно, о чем оно.
Не послайте сообщений не по теме (оффтопик), раздраженных, грубых или обидных комментариев. Здесь это неуместно.
|