вверх
отправить
поиск
админ
главная
|
Отправлено Алексей Минервин 16 Декабрь 2005, 08:09
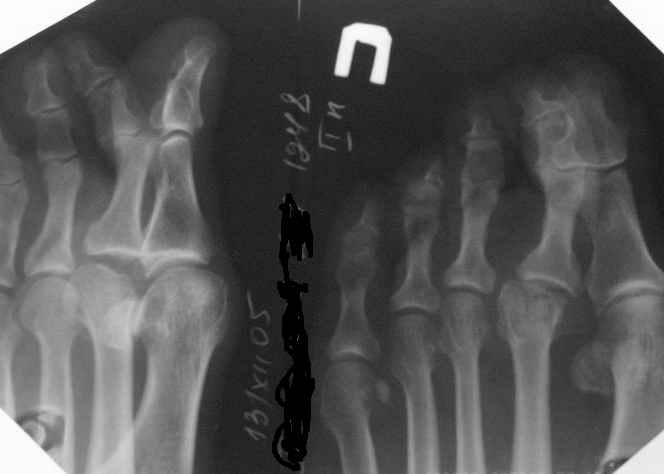
Уважаемые коллеги. Обратился мужчина 58 лет с жалобами на боли в области 2 пальца стопы. Болел ли раньше палец, добиться не удалось, но вспомнил, что лет 10 назад ударился стопой, "вывихнул 2 палец". Боли постепенно уменьшились. А несколько месяцев назад стали беспокоить боли, особенно при ходьбе. Около месяца назад получил еще травму- упал радиатор, но как выяснилось больше придавило, чем ударило. Сейчас ходит опираясь только на пятку, проблемы с обувью, пальпация болезненна в области головки 2 плюсневой кости.Пассивные движения ограничены незначительно, активные - тыльное сгибание градусов 10.Мнения разошлись насчет диагноза: деформация головки - это КелерII? Чем можно помочь пациенту? Если подлежит оперативному лечению, то какие возможные варианты реконструкции стопы? С уважением А. Минервин.
<
|
>
|
|
Ответить
|
Re: H.V. + Келер II?
Игорь Кучерявый 16 Декабрь 2005, 08:15
|
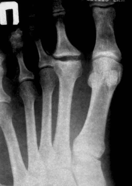
У меня была похожая пациентка - тоже с вальгусной деформацией, неуточненная травма 3 года назад. Обратилась по поводу болей в области головки 2 плюсневой кости, в течение 2-х месяцев. При осмотре - небольшая припухлость, движения в суставе в полном объеме, даже некоторая "разболтанность" отмечается. Боли усиливались в основном при ходьбе на каблуке, когда увеличивалась нагрузка на головку плюсневой кости. У неё были более выраженные изменения на Rg-грамме (во вложении), а здесь - только если в прямой проекции (справа) можно заподозрить некоторую уплощенность головки...

Боли прошли после курса Цель Т, внутрисуставно и вокруг. Rg-грамма осталась прежней. Уже 3 месяца не появляется.
--
С уважением, Игорь Кучерявый.
|
[
Ответить ]
|
Re: H.V. + Келер II?
Корышков Николай Александрович 17 Декабрь 2005, 02:04
|
Уважаемый Алексей!
Налицо анамнестически, визуально и рентгенологически остеохондропатия головки II пл. кости (Келер II). В отношениии I пФс - предполагаю деформирующий артрозо-артрит как этап формирования hallux regidus. Консервативное лечение, как предложил Игорь Кучерявый, возможно использование Дипроспан интра- и параартикулярно в период обострений. Оперативно I пфс: 1 при выраженных изменениях в суставе и стойком болевом синдроме - артродез, с использованием винтов, положение пальца строго 5 гр. тыльной флексии; 2 - эндопротезирование. На II пфс мы используем два вида оперативного лечения: 1 - артропластика с частичной резекцией патологически измененной головки и её последующим остеосинтезом; 2- эндопротезирование протезом из корундовой керамики (см. Вестник травматологии им.Н.Н.Приорова №3, 2005).
с уважением Н.Корышков (Ярославль)
|
[
Ответить ]
|
Re: H.V. + Келер II?
Кузьмина Юлия Олеговна 18 Декабрь 2005, 14:59
|
Уважаемые коллеги, асептический некроз головки 2 плюсневой кости - болезнь Фрайберга. По сути, чтобы избавиться от болей в данном суставе, хватает резекции головки. Консервативно - дипроспан. Хотя принимая во внимание вальгусную деформацию 1 пальца и молоткообразную деформацию 2 пальца, предпочтительно все же предложить пациенту реконструкцию переднего отдела стопы. Судя по снимку, латеральная сесамовидная кость полностью вывихнута в 1 межпальцевый промежуток - следовательно, нужна остеотомия 1 плюсневой кости. Шеврон или скарф. 2 палец - резекция головки 2 плюсневой кости + Гоман.
|
[
Ответить ]
|
Re: H.V. + Келер II?
Петр Ромчук 24 Декабрь 2005, 23:01
|
Уважаемые коллеги,
если бы речь шла о чистой остеохондропатии, то мне мысли Юлии Олеговны казались бы ближе всех к истине, но давайте обратим внимание на боковую проекцию: кто-нибудь видит какие-либо изменения, кроме углового смещения головки в подошвенную сторону?
Мне картина видится такой: жил себе пациент с молоткообразным ІІ пальцем, что характерно при такой вариации в длине I и II плюсневых костей, это и вызывало боли в ступне. Месяц назад "придавил" II пфс радиатором, получил перелом головки ІІ пястной кости с подошвенно-угловым смещением (приложение силы основной фаланги ІІ пальца), сейчас перелом почти сросся (линия перелома еще слегка прослеживается).
Может ли здесь иметь место болезнь Фрайберга? Да, но позже, как вторичная патология. (Классическая статья по этому поводу:
Freiberg Disease Complicating Unrelated Trauma.
Binek,R. et al. Orthopedics 11:5. pp.753-57. 1988.)
Я бы начал лечение с лидокаиновых(или бупивакаиновых) межплюсневых блокад, возможно с добавлением стероидов, и рекомендовал бы на волне обезболивания полноценную нагрузку ступни. Если угловое смещение и боли не уменьшатся в течение двух недель, можно в плановом порядке провести остеотомию шейки или резекцию головки.
Петр Ромчук,
Ровно, Украина
|
[
Ответить ]
|
Re: H.V. + Келер II?
Алексей Минервин 26 Декабрь 2005, 01:18
|
сБЮФЮЕЛШЕ ЙНККЕЦХ! зОЮЯХАН ГЮ бЮЬХ НРБЕРШ. оЮЖХЕМР АШК МЮ ОПХЕЛЕ, НЯРЮМНБХКХЯЭ ОНЙЮ МЮ ЙНМЯЕПБЮРХБМНЛ КЕВЕМХХ (цйз ОЮПЮЮПРХЙСКЪПМН, ЛЮЙЯХЛЮКЭМЮЪ ПЮГЦПСГЙЮ, НПРНОЕДХВЕЯЙХЕ ЯРЕКЭЙХ).
нДМЮЙН, ВХРЮЪ ЯННАЫЕМХЪ, С ЛЕМЪ ЯКНФХКНЯЭ ЛМЕМХЕ Н МЕНДМНГМЮВМНЯРХ УХПСПЦХВЕЯЙХУ ОНДУНДНБ Й ПЕЬЕМХЧ ОПНАКЕЛШ hallux valgus. лМНЦН ОНРПЮВЕМН БПЕЛЕМХ МЮ ОНХЯЙЕ Б хМРЕПМЕРЕ, ХГ ГМЮВХЛНЦН МЮИДЕМН:
с АНКЭМШУ 2040 КЕР ОПХ НРЙКНМЕМХХ БМСРПЭ 1 ОКЧЯМЕБНИ ЙНЯРХ ОПНХГБНДХРЯЪ НЯРЕНРНЛХЪ ОН Hohmann. еЯКХ 1 ОКЧЯМЕБЮЪ ЙНЯРЭ МЕ ОНЙЮГШБЮЕР БШПЮФЕММНЦН НРЙКНМЕММНЦН БМСРПЭ ОНКНФЕМХЪ, РН Б БХДЕ ХЯЙКЧВЕМХЪ ЛНФМН ОПНХГБЕЯРХ НРАХБЮМХЕ ДНКНРНЛ ЩЙГНЯРНГЮ ОН Schede ХКХ НОЕПЮЖХЧ ОН MacBride Х Erlacher.
с АНКЭМШУ 4060 КЕР ОПНХГБНДХРЯЪ НОЕПЮЖХЪ ОН MacBride, ЕЯКХ ДЕТНПЛЮЖХЪ НЯМНБМШУ ЯСЯРЮБНБ БШПЮФЕМЮ, МН ЕЫЕ МЕР ЯСЫЕЯРБЕММНЦН ЮПРПНГЮ Х АНКЕИ Б ТЮКЮМЦНБНЛ ЯСЯРЮБЕ, Х ОЮЖХЕМР ОНЯКЕ НОЕПЮЖХХ УНРЕК АШ МНЯХРЭ НАСБЭ Я БШЯНЙХЛ ЙЮАКСЙНЛ. бН БЯЕУ НЯРЮКЭМШУ ЯКСВЮЪУ ОНЙЮГЮМЮ ПЕГЕЙЖХЪ НЯМНБЮМХЪ НЯМНБМНИ ТЮКЮМЦХ ОЕПБНЦН ОЮКЭЖЮ (НОЕПЮЖХЪ ОН Brandes Х Keller).
с АНКЭМШУ ЯРЮПЬЕ 60 КЕР ОНВРХ ХЯЙКЧВХРЕКЭМН ОПНХГБНДХРЯЪ НОЕПЮЖХЪЖХЪ ОН Brandes Х Keller.
мН ЛМЕ ОПЕДЯРЮБКЪЕРЯЪ ОПНАКЕЛЮ МЕЯЙНКЭЙН ЯКНФМЕЕ, Ю ЛЕУЮМХВЕЯЙНЕ ДЕКЕМХЕ ОНЙЮГЮМХИ ДКЪ НОЕПЮЖХИ ОН БНГПЮЯРМНЛС ОПХГМЮЙС МЕЙНППЕЙРМШЛ. йПНЛЕ РНЦН, МХВЕЦН МЕ ЯЛНЦ БШЪЯМХРЭ ОПН Shevron Х SCARF НЯРЕНРНЛХХ.
сБЮФЮЕЛШЕ ЙНККЕЦХ, ЛНФЕР, ЙРН ОНДЯЙЮФЕР ЯЯШКЙХ МЮ КЕВЕМХЕ ОПХ hallux valgus, ОНДЕКХРЯЪ ЯБНХЛ НОШРНЛ?
зОЮЯХАН, ОНГДПЮБКЪЧ БЯЕУ Я МЮЯРСОЮЧЫХЛ мНБШЛ цНДНЛ! вРНА МЕ ЙСЯЮКЮ ГКЮЪ ЯНАЮЙЮ Б МЮДБХЦЮЧЫЕЛЯЪ ЦНДС;)
ю.лХМЕПБХМ.
|
[
Ответить ]
|
Re: H.V. + Келер II?
Алексей Минервин 26 Декабрь 2005, 23:56
|
Уважаемые коллеги!Извиняюсь за абракадабру, постараюсь перевести. Cпасибо за Ваши ответы. Пациент был на приеме, остановились пока на консервативном лечении (ГКC параартикулярно, максимальная разгрузка, ортопедические стельки).
Однако, читая сообщения, у меня сложилось мнение о неоднозначности хирургических подходов к решению проблемы hallux valgus. Много потрачено времени на поиске в Интернете, из значимого найдено:
У больных до 40 лет при отклонении внутрь 1 плюсневой кости производится остеотомия по Hohmann. Если 1 плюсневая кость не показывает выраженного отклоненного внутрь положения, то в виде исключения можно произвести отбивание долотом экзостоза по Schede или операцию по MacBride и Erlacher.
У больных 40-60 лет производится операция по MacBride, если деформация основных суставов выражена, но еще нет существенного артроза и болей в фаланговом суставе, и пациент после операции хотел бы носить обувь с высоким каблуком. Во всех остальных случаях показана резекция основания основной фаланги первого пальца (операция по Brandes и Keller).
У больных старше 60 лет почти исключительно производится операцияция по Brandes и Keller.
Но мне представляется проблема несколько сложнее, а механическое деление показаний для операций по возрастному признаку некорректным. Кроме того, ничего не смог выяснить про Shevron и SCARF остеотомии.
Уважаемые коллеги, может, кто подскажет ссылки на лечение при hallux valgus, поделится своим опытом?
Cпасибо, поздравляю всех с наступающим Новым Годом! Чтоб не кусала злая собака в надвигающемся году;)
А.Минервин
|
[
Ответить ]
|
Re: H.V. + Келер II?
Отправитель: Середа Андрей Петрович 25 Январь 2006, 18:12
|
Уважаемый Алексей ! толково Шеврон и SCARF описаны в видеоприложении к последнему Кэмпбеллу, если не лень качать 600 мб, пишите
|
[
Ответить ]
|
|
( Ответить )
|
|