AOTRAUMA.ORG Центр Илизарова  

Ортопедия и травматология Общие вопросы/General questions Help Информационные технологии в медицине
 ВХОД ДЛЯ ПАЦИЕНТОВ
 вверх
 поиск
 админ
 главная
 исходное


Re: огнестрельный перелом
послал Djoldas Kuldjanov 26 Январь 2006, 22:08
До развала Союза, более 15 лет работая ортопедом, встретил не более 4-5 случаев повреждения кости в результате огнестрельного ранения, и все они были бытовыми, т.е. случайными ранениями во время охоты, или муж в порыве ревности..
После развала Союза, когда мафиозные братья стали делить сферы влияния, огнестрельные ранения случались уже по одному-два в каждые 3-4 месяца, и более серьёзными скорострельными оружиями.

Наши приемные отделения (ER), как и во многих больших американских городах, за дежурство иногда обслуживают более 5 случаев огнестрельного ранения, а сколько из них не доходят до приемных отделении госпиталей никто не считает, так что в некоторых кварталах больших городов даже днем невозможно проехать без риска быть ограбленным или получения огнестрельного ранения, как в настоящей
войне.

Входные маленькие отверстия от ранении просто игнорируются, никаких дренажей, как любое колотое ранения, они закрываются и были случаи через месяц. Конечно, ведется профилактика открытых ранении: сыворотки и т.д., но еще самое главное уделяем профилактике образования перелома из-за стресса в результате дефекта кортикального слоя.

Литературные данные о влиянии кортикального дефекта на стрессовые переломы в длинных трубчатых костях в основном встречаются в онкологии, например кортикальный дефект более 50% имеет больше шанса стрессовых переломов, чем в нашем случае.
Это при нормальном обществе, когда больной понимает риск осложнении и следует врачебным рекомендациям, с пониманием относится к осложнениям, принимая вину на себя и без адвокатов...


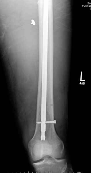
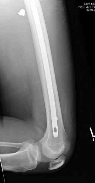
Учитывая, что больной получил травму не во время визита в церковь, и он является одним из представителем 40 миллионного “outstanding itizen”, без медицинской страховки, без работы в свои 39 лет, и без надлежающей ортопедической дисциплины у которого отсутсвует страх стрессового перелома, было рекомендовано оперативное лечение: профилактическое антеградное интрамедуллярное штифтование.



Выглядит агрессивно, и обычно госпиталь, беря финансовые расходы, остается в убытке, но мы всё же посчитали, что издержки от штифтования намного меньше, чем возможные финансовые и моральные издержки лечения таких больных, но с осложнением.

Методика штифтования при отсутствии большой зоны перелома как при онкологических профилактических штифтованиях, расверливание интрамедуллярного канала проводим с предварительным наложением дополнительного дренажного отверстия в дистальном отделе бедра (в данном случаи в канале оставили 6.5 мм канюлированный шуруп), иначе при создании давления в канале во время сверления имеется опасность эмболизации легочной артерии тромбом.


Djoldas Kuldjanov, MD
Department of Orthopedic Surgery
St. Louis University Medical Center
Послать ответ

Имя
Email
Уведомление Сообщить мне по e-mail об ответах на это сообщение
Название
Комментарий
(Проверьте URL! Не забудьте написать http://!)
Кодировка
Если не знаете, что выбрать, выберите "Просто текст"!
Приложение
Можно приложить к сообщению файл c изображением, который затем будет доступен увидевшим сообщение.
Подготовка иллюстраций:
  • Рентгенограммы: черно-белые полутоновые изображения в формате JPEG (8 bit, greyscale) с разрешением от 300х200 до 1024х768 пикселов;
  • Клинические фотографии: полноцветные изображения в формате JPEG (24 bit, truecolor) с разрешением от 300х200 до 1024х768 пикселов;
  • Схемы и рисунки: черно-белые (2 bit) штриховые (line-art) изображения в формате GIF или compressed TIFF
  • Подберите степень сжатия файла JPEG и размер изображения таким образом, чтобы необходимые детали были различимы, но размер файла не превышал 75 кб.
  • Учтите, что текущая версия программного обеспечения Форума позволяет приложить к одному сообщению лишь один файл-вложение. Поэтому, если необходимо отправить несколько изображений, можно либо послать каждое как отдельное сообщение, либо в графическом редакторе объединить изображения в одно (сделать коллаж).
  • Если при подготовке изображений встречаются трудности, не стесняйтесь обратиться к координатору Форума.

  • Введите видимые символы в обратном порядке. Enter the above characters in reverse order (*Обязательно)
    В тексте сообщения можно использовать теги HTML <B> <I> <P> <A> <LI> <OL> <UL> <EM> <BR> <TT> <HR> <STRONG> <BLOCKQUOTE> <DIV .*> <DIV> <P .*>
  • Обратите внимание: Поля с жирными названиями обязательны.
  • Старайтесь отвечать в рамках обсуждаемой темы, а не начинать новые обсуждения.
  • Указывайте адекватную тему сообщения, чтобы было ясно, о чем оно.
  • Не послайте сообщений не по теме (оффтопик), раздраженных, грубых или обидных комментариев. Здесь это неуместно.
  • Powered by Zope  Squishdot Powered MedLink
    Посетитель: 0385639
      "По форме правильно, а по существу - издевательство" В.И.Ленин
    ©2001-2019Orthoforum Coordinator.
    [ Главная | Отправить сообщение | Поиск | Админ ]