AOTRAUMA.ORG Центр Илизарова  

Ортопедия и травматология Общие вопросы/General questions Help Информационные технологии в медицине
 вверх
 отправить
 поиск
 админ
 главная
 Предыдущее


Re: Оскольчатый перелом пяточной кости.
Пак Леонид 14 Март 2006, 19:11

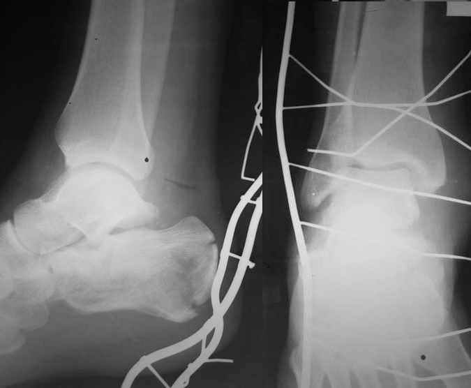
представляю снимки пациента с переломом пяточной кости. послеоперационный снимок этапный - по снятии швов спицы удаляю и наладываю циркулярную гипсовую повязку. к сожалению снимки с удаленной скобой представить не могу но поверьте на слово - консолидация полная, коррекция стойкая.

  • Сообщения о Ортопедия и травматология
  • Также Пак Леонид
  • Связаться с автором
  • Ответить

    Re: Оскольчатый перелом пяточной кости.
    Alexander Chelnokov 14 Март 2006, 20:25
    Какие задачи ставились при планировании этой операции? И какая уж такая уникальная польза тут была от этой скобы, что появляется желание
    ее советовать?
    [ Ответить ]

    • Re: Оскольчатый перелом пяточной кости.
      Отправитель: Пак Леонид 19 Март 2006, 18:06
      при планировании операции и ее исполнении выполнена костная аутопластика трансплантатом с гребня подвздошной кости причем трансплантат брался фрезой размером несколько болишим чем образованный в результате травмы дефект. скоба в данном случае обеспечивает компрессию между отломками-трансплантатом

      [ Ответить ]
    Re: Оскольчатый перелом пяточной кости.
    А.П.Ким 15 Март 2006, 14:53
    Ув. коллега, нельзя ли уточнить сроки иммобилизации после операции и вид гипсовой повязки ( с захватом коленного сустава или без)
    [ Ответить ]


    ( Ответить )

    Powered by Zope  Squishdot Powered MedLink
    Посетитель: 0207907
      "По форме правильно, а по существу - издевательство" В.И.Ленин
    ©2001-2019Orthoforum Coordinator.
    [ Главная | Отправить сообщение | Поиск | Админ ]